案例-7
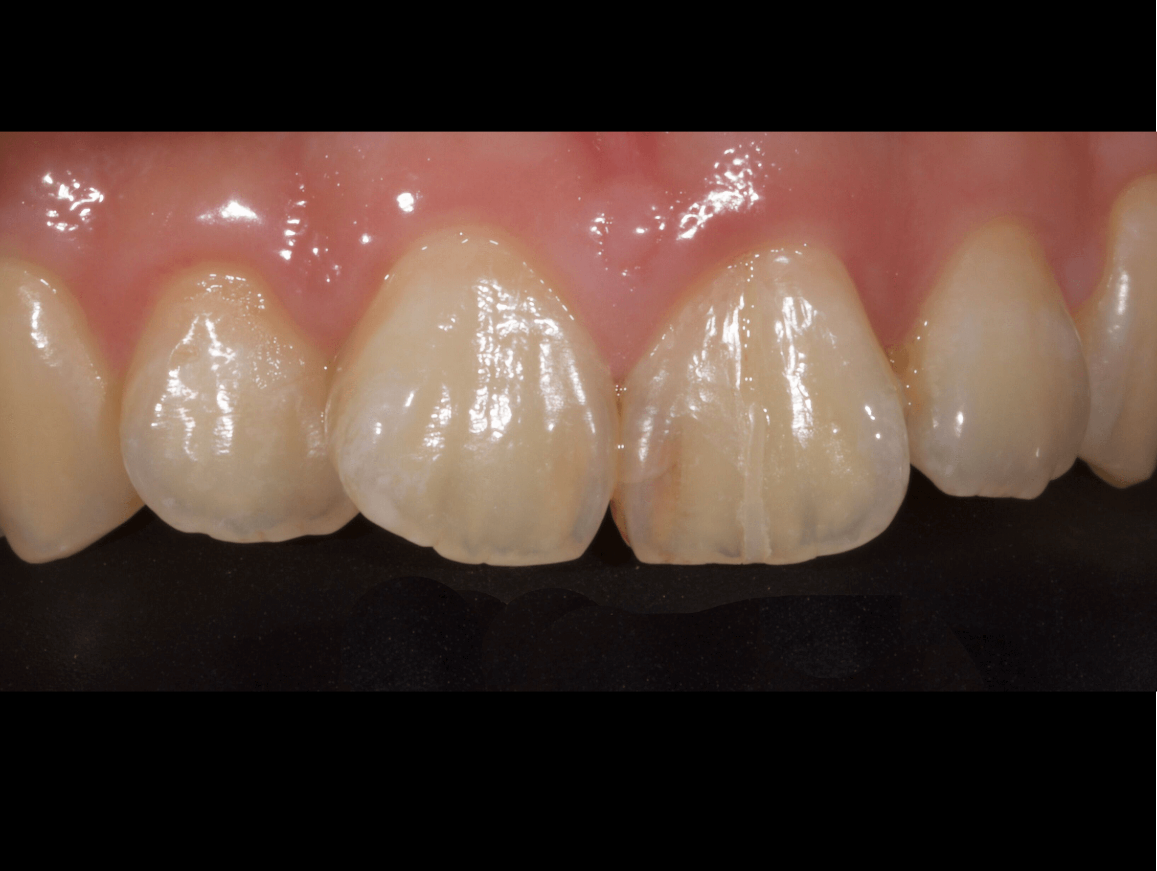
咦~牙齒表面上怎麼有一條痕跡?
原 來 是 牙 齒 裂 開 了!
僅僅是用樹脂填補,不僅美觀不佳也影響牙齒健康
牙裂導致留不住本來的牙齒,需要拔牙...
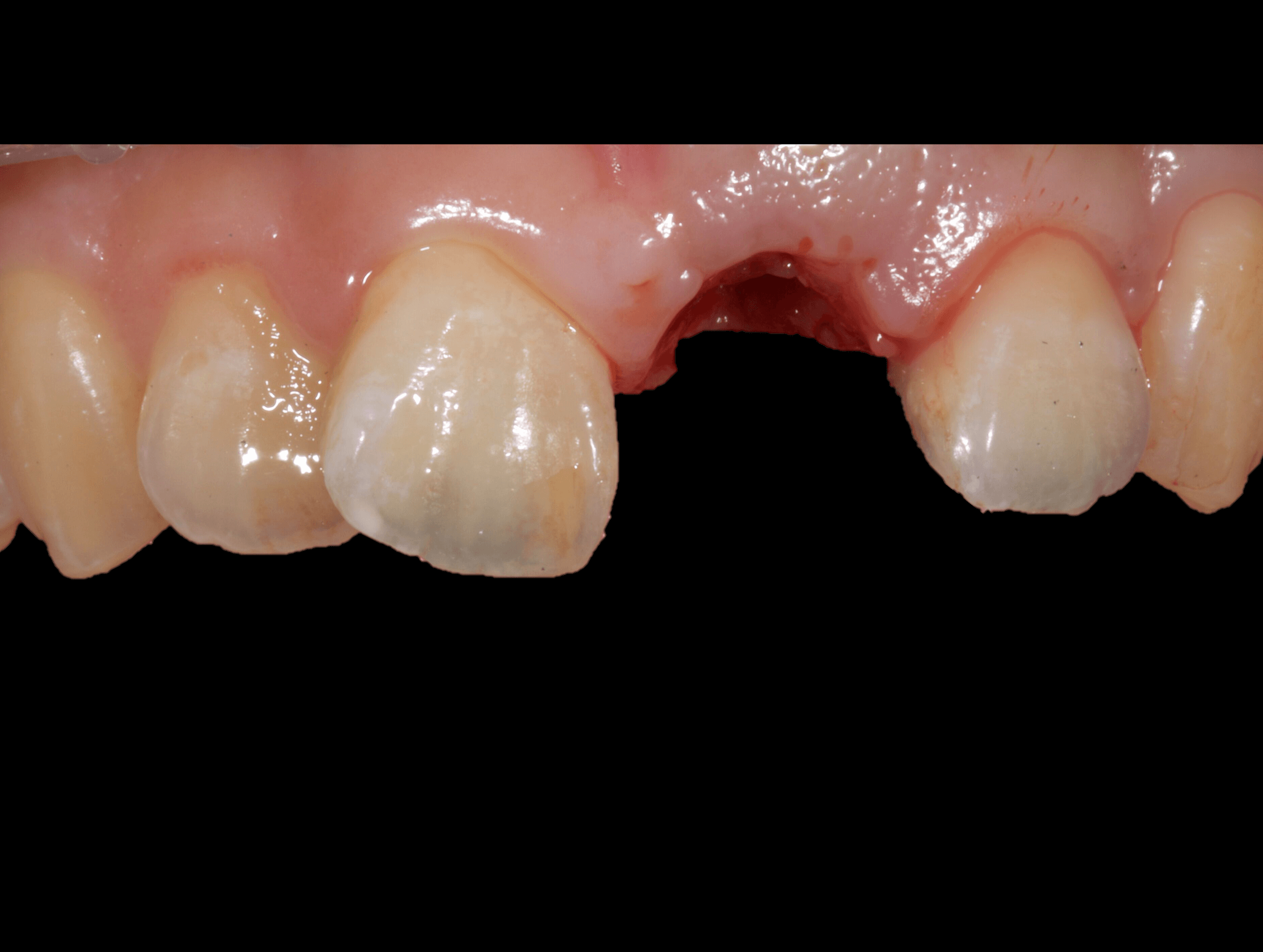
經醫師的評估後,採即拔即種的植牙方式
在拔牙的當天將植體植入,並裝上臨時假牙
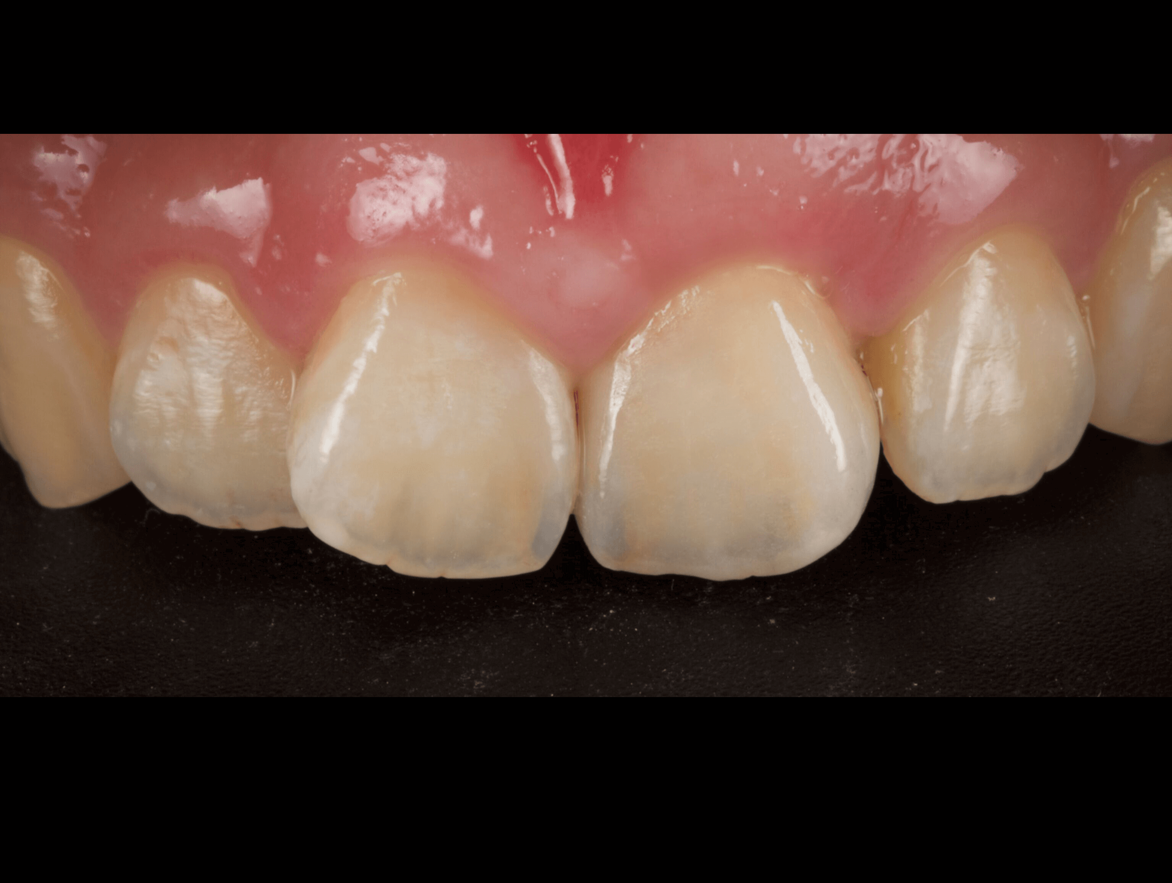
等待植牙穩定以後就可以製作以假亂真的全瓷冠囉
植牙專科:張志嘉醫師
假牙專科:蘇裕隆醫師
原 來 是 牙 齒 裂 開 了!
僅僅是用樹脂填補,不僅美觀不佳也影響牙齒健康
牙裂導致留不住本來的牙齒,需要拔牙...
經醫師的評估後,採即拔即種的植牙方式
在拔牙的當天將植體植入,並裝上臨時假牙
等待植牙穩定以後就可以製作以假亂真的全瓷冠囉
植牙專科:張志嘉醫師
假牙專科:蘇裕隆醫師


