水雷射
◆認識水雷射:
水雷射,比起一般雷射,多了個「水」,真的有比較厲害嗎?答案是肯定的。有別於傳統治療中容易產生的不適感、術後的疼痛感、較長的癒合時間,水雷射的應用在牙科治療上無疑是一大進步。
水雷射以雷射光能量與溫和的水霧結合來清潔和殺死細菌,在精準切割的同時對手術部位進行消毒,縮短術後癒合期、降低術後不適,提供了一個更快速、更溫和且更全面的治療方式。

※水雷射專欄|牙醫師撰文&實際體驗心得分享
《水雷射牙周病治療:水雷射與牙周病療程術後的正確保養技巧》
《牙周病怎麼辦?水雷射牙周病心得分享,無痛感恢復快當天就能正常吃東西啦!》
◆水雷射特性:
- 水雷射採用專利技術
將聚焦雷射光與水霧結合,實現極度精確、溫和的牙科治療
- 水雷射可應用於多項療程
如牙周病治療、植體周圍炎、牙冠增長術、敏感性牙齒的去敏感治療、口腔潰傷及皰疹治療、純繫帶及舌繫帶切除、牙齦美白、根管治療等。
- 降低看牙恐懼
水雷射的聲音相對平穩、低沉、小聲,減少傳統鑽頭刺耳的噪音與震動,能減緩多數患者對於牙科治療的心理的焦慮或壓力。
對付牙周病的專屬光劍?水雷射牙周病治療溫和又精確! Ft.張真豪醫師【品悅牙醫】
◆認識牙周病:
牙周病主要是口腔衛生不良,牙齒縫隙間堆積牙菌斑或牙結石,引起細菌大量滋生,破壞牙周組織,可能引起口臭、牙齦腫痛易出血、牙齒鬆動等問題。
牙齦炎
牙齦紅腫,刷牙或使用牙線容易流血,骨頭尚未受影響
牙周病
骨頭有流失情況,牙齦出現萎縮,牙周囊袋形成
重度牙周病
骨頭嚴重流失,牙齒開始搖動,牙周囊袋更深,牙齦嚴重萎縮
◆牙周病搭配水雷射:
- 水雷射採用專利技術,將聚焦雷射光與水霧結合,實現極度精確、溫和的牙科治療
- 水雷射強效清除牙周囊袋中的細菌,深層滅菌,減少死角
- 水雷射屬微創治療,傷口小、恢復快
- 減輕患者治療過程中的心理壓力,水雷射的聲音相對平穩、低沉、小聲,能減緩多數患者對於牙科治療的焦慮

▲水雷射的能量可溫和、有效的清除牙周囊袋裡的細菌
水雷射與傳統牙科治療儀器表格:
水雷射 |
傳統牙科治療儀器 | |
|---|---|---|
| 疼痛感受 | 疼痛較輕微,必要時需搭配麻藥 |
需搭配麻藥 |
| 止血功能 | 蛋白質凝結效果,幫助止血 |
搭配麻藥或其他止血劑可幫助止血 |
| 滅菌功能 | 有滅菌功能 |
須搭配其他藥劑 |
| 傷口範圍 | 視臨床狀況決定。 在雷射探頭可到達區域,可以微創治療 | 視臨床狀況與器械大小決定 一般來說,傷口會稍微大一點。 |
| 術後恢復 | 具生物刺激效果,可加速傷口癒合 |
傷口自然癒合 |
| 患者感受 | 聲音較小、無震動 |
聲音較大、震動感比較明顯 |
牙周病不會完全痊癒?!該如何治療牙周病〔牙周雷射篇〕 Ft.張真豪醫師【品悅牙醫】
認識植體周圍炎
完成人工植牙療程後,雖然植體不是自然牙、也不會蛀牙,但若未維持良好口腔衛生或不良習慣(如吸菸、嚼檳榔等),就可能有「植體周圍炎」的發生。
▲健康植牙的示意圖
▲植體周圍炎示意圖(也被稱為植牙的牙周病)
植體周圍炎也被稱作「植牙的牙周病」,會使植牙附近的骨結構被細菌破壞、發炎,而影響到植牙的健康。
植體周圍炎搭配水雷射治療
- 水雷射可精準切割,有助於保護口腔軟硬組織
- 水雷射的生物刺激特性,促進微血管、淋巴組織癒合,可同時對手術部位進行消毒,可以縮短術後癒合期、降低術後不適
- 水雷射的優異滅菌效果,可控制植體周圍炎的惡化
▲水雷射強效滅菌,去除人工植牙周圍發炎物質
牙冠增長術搭配水雷射治療
牙冠增長術可以透過水雷射將本來牙齦包覆牙齒結構露出來,以增加臨床牙冠的長度。
水雷射搭配牙冠增長術常應用在有微笑時露出太多牙齦、前牙牙齦高度不對稱、假牙邊緣放到牙齦太深的位置導致牙齦發炎等情況。

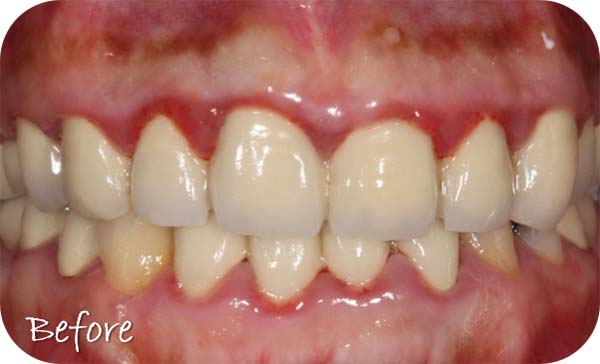
▲舊有假牙侵犯到「生物寬度」(意指假牙邊緣放到牙肉底下太深的位置),導致牙齦有紅腫、流血、悶痛的發炎反應,本來的牙齒長度偏短、左右牙齦高度不對稱的狀況。

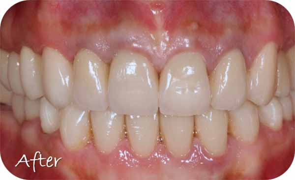
▲經過「水雷射牙冠增長術」後,讓牙齦恢復健康、和諧的外觀,並完成全口假。
