牙齒美白
常見的牙齒美白的方式與種類
牙齒美白常見方式:美白牙膏、美白牙粉、美白牙貼、美白筆
美白牙膏、美白牙粉
美白牙膏、美白牙粉內含顆粒分子,透過對牙齒表面研磨與拋光,移除表面外染性分子。
美白牙貼、美白筆
美白牙貼、美白筆是透過包覆在牙齒表面來達到牙齒美白的效果。
市售牙齒美白商品有疑慮
長期使用美白牙膏、美白牙粉容易過度磨耗牙齒表面,造成牙齒表面磨損、敏感性牙齒。
而使用美白牙貼、美白筆無法完整包覆牙齒及牙齦,容易美白不均勻,甚至造成牙齦發炎。
【醫師撰文解析|牙齒美白專區點擊下方!】
《牙齒美白懶人包:美白牙膏、美白牙貼有效嗎?冷光美白、居家美白後可以維持多久?》《怕美白牙齒沒效又傷牙?醫分析美白牙膏/居家美白/冷光美白輕鬆懂!》
牙醫診所牙齒美白療程|冷光美白、居家美白、噴砂美白
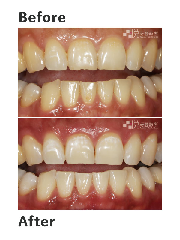
什麼是冷光美白?
冷光美白又稱為快速美白,是透過冷光加速過氧化氫釋放自由基,在牙醫診所進行約1小時療程,即可立即達到強效美白的成果。
什麼是居家美白?
什麼是噴砂美白?
牙醫師透過高壓氣流將碳酸氫鈉(小蘇打)噴至牙齒表面,有效快速清除外染性色素分子。尤其適合有檳榔垢、茶垢、菸垢等表面染色。牙齒美白Q&A:牙齒為何變黃?坊間美白產品會傷牙嗎?解析冷光美白、居家美白、噴砂美白特點,延長美白效果的關鍵?
冷光美白流程、優缺點及注意事項|竹北冷光美白推薦
冷光美白流程
- 醫師評估與口腔檢查
- 牙齒比色、拍攝口內狀況、量化美白效果
- 塗牙齦保護劑
- 開始進行冷光美白(約1小時)
1.醫師評估與口腔檢查
2.牙齒比色、拍攝口內照片、量化美白效果
3.塗牙齦保護劑
4.開始進行冷光美白(約1小時)
冷光美白優點及缺點
優點:一次立即見效
缺點:費用相對其他牙齒美白療程較高
冷光美白注意事項
受個人體質影響,某些人可能暫時性牙齒敏感現象,多半數日會好轉。不建議找坊間美齒店進行,冷光美白屬醫療行為,須由醫師親自操作。
【真人心得分享|冷光美白紀錄短片點擊下方!】
《[牙齒美白全紀錄大公開!]冷光美白過程/牙齒會敏感嗎/美白成效與改善》


居家美白流程、優缺點及注意事項|竹北居家美白推薦
居家美白流程
- 醫師評估,取模製作全客製化個人美白牙托
- 由醫師親自教學說明美白藥劑、美白牙托的操作
- 搭配醫師指示,自行在家配戴並定期回診追蹤美白成效
1.醫師評估,取模製作全客製化個人美白牙托
2.由醫師親自教學說明美白藥劑、美白牙托的操作
3.搭配醫師指示,自行在家配戴並定期回診追蹤美白成效
居家美白優點及缺點
優點:屬於較溫和的美白方式、相對冷光美白費用低
缺點:約需2到3週會有較顯著的美白成效居家美白注意事項
需依照醫師指示操作進行,一般會建議於夜間睡眠時配戴美白牙托,若使用期間有牙齒敏感,可暫緩使用,依個人情況適度調整居家美白使用。
噴砂美白流程、優缺點及注意事項|竹北噴砂美白推薦
噴砂美白流程
- 醫師評估是否符合噴砂美白的條件
- 進行噴砂美白,透過高壓氣流將碳酸氫鈉(小蘇打)噴至牙齒表面
- 完成後進行牙齒拋光,建議保持良好口腔習慣,能維持更久的效果
噴砂美白優點及缺點
優點:費用相對冷光美白、居家美白更便宜,且當次立即見效
缺點:僅恢復牙齒表面顏色,較無明顯提升牙齒美白效果,僅限於清除菸垢、檳榔垢、茶垢
噴砂美白注意項
噴砂美白後避免持續性抽菸、吃檳榔等,噴砂美白效果並非永久性效果,容易因個人飲食或生活習慣而影響,建議有需求的人定期進行噴砂美白。
統整牙齒美白【冷光美白、居家美白、噴砂美白】比較表格
冷光美白、居家美白、噴砂美白各所需時間、提升色階與療程特色如下:
|
|
療程時間 |
提升色階 |
特色 |
冷光美白 |
1-1.5小時 |
約5-7階 |
美白快速立即見效 |
居家美白 |
1-2月 |
約5-7階 |
美白簡單溫和有效 |
噴砂美白 |
30分鐘 |
清除表面染色 |
適合表面有檳榔垢、茶垢等表面染色 |
牙齒美白的常見問題|新竹竹北牙齒美白推薦
為什麼牙齒會變黃?
牙齒會變黃的主要是「外因性」、「內因性」兩個成因。
-
外因性:指色素分子沉積在牙齒表面,像是咖啡、茶、菸等等,這些色素分子,一開始可以透過刷牙清除,但隨著時間累積,這些色素分子會越來越黑、且越來越難移除,甚至需要透過牙齒美白才能清除。
-
內因性:主要是色素分子造成較深層的內部染色、或是牙齒缺陷,屬於牙齒內部染色,沒辦法透過潔牙改善,像是四環黴素染色、過多氟的攝取、齲齒等,必須透過牙齒美白療程來改善。
【醫師受訪影片|牙齒美白專區點擊下方!】
《牙齒美白Q&A:牙齒為何變黃?坊間美白產品會傷牙嗎?解析冷光美白、居家美白、噴砂美白特點,延長美白效果的關鍵?》為什麼牙齒美白要在牙醫診所?
- 醫師評估評估與追蹤
由醫師評估患者狀況(如有牙齦發炎、敏感性牙齒、美觀區有假牙或補牙等是否能進行牙齒美白),並診斷牙齒染色原因,訂出合適的美白療程,透過專業比色機,可量化美白效果。
- 提升美白牙齒的效果、副作用降到最低
在診所進行客製化療程,提升美白效果,更能將美白副作用降到最低。
冷光美白透過橡皮隔障,可以降低牙齒美白對牙齦的刺激;居家美白製作可製化美白牙托,有助於牙齒均勻染色,減少牙齒美白藥劑對牙齦的刺激。
- 市售美白牙齒商品疑慮
長期使用美白牙膏、美白牙粉,容易磨耗牙齒,造成牙齒表面磨損,導致容易產生永久性牙齒敏感;美白牙貼、美白筆無法完整包覆牙齦與保護牙齦,容易有美白不均勻,並刺激牙齦發炎。
[牙齒美白全紀錄大公開!]冷光美白過程/牙齒會敏感嗎/美白成效與改善
什麼人不適合牙齒美白嗎?
- 牙齦發炎
若原先牙齦不健康,會先建議維持好口腔健康,避免因美白藥劑影響,刺激牙齦而造成牙齦灼傷與牙齦漂白。
- 敏感性牙齒
牙齒美白可能會併發短暫牙齒敏感,若本身有嚴重牙齒敏感患者,建議要由醫師評估牙齒美白的時機與方法,以減少後續美白藥劑對牙齒的刺激。
- 懷孕或哺乳期間
目前沒有研究能夠證實懷孕與哺乳期間進行牙齒美是否安全,過氧化物可能透過循環系統影響胎兒或乳汁,可能有不可預期的風險,因此美國牙醫學會建議在懷孕或哺乳期盡量避免進行牙齒美白。
- 許多補牙
由於美白藥劑對補牙材料(樹脂)的美白效果不佳,若本身有許多補牙,容易在牙齒美白後將補牙顯得特別明顯。另有研究指出,美白藥劑可能會影響補牙材料,會增加補牙周邊再次蛀牙的機會發生。
- 美觀區有許多贋復牙冠(假牙)
美白藥劑對贋復牙冠(假牙)的美白效果不佳,因此在美觀區有贋復牙冠(假牙),容易在美白牙齒後顯得特別明顯。
牙齒美白後可以維持多久?
一般來說,冷光美白與居家美白的療程,能維持2到3年的牙齒美白效果,若能維持良好的口腔衛生,減少咖啡、茶、菸、深色食物的使用,能夠更加延長時效。


