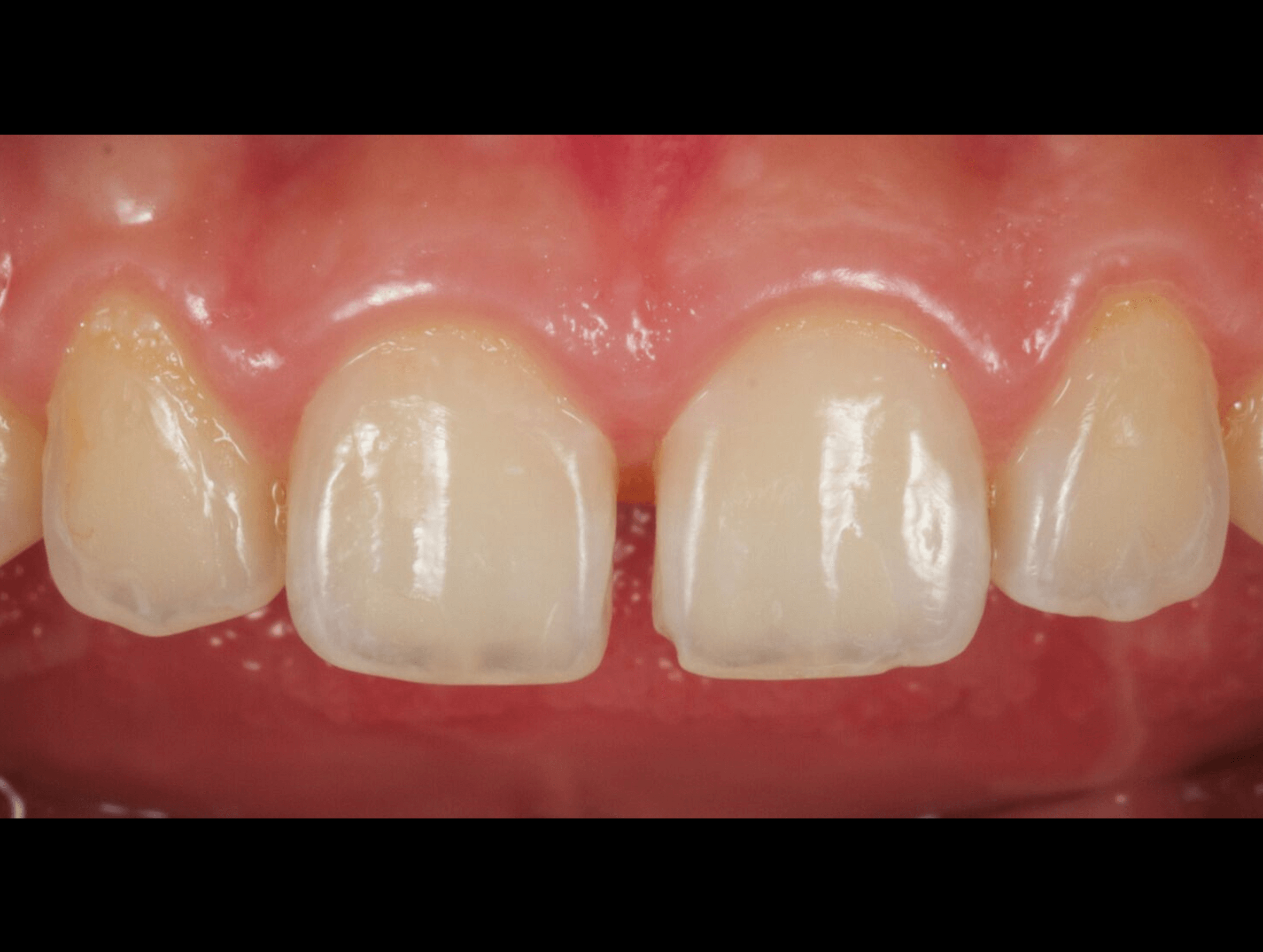
案例-10 首頁 案例分享 前牙美學 案例-10 好不容易矯正完後 沒有乖乖配戴維持器 讓門牙的牙縫露出來了... 透過"高階美學樹脂填補" 以最保守的方式下對牙齒進行修復 達到最好的強度與黏著性 並恢復最重要的美觀! 案例分享:蘇裕隆 醫師