Toggle navigation
精準數位植牙
植體終身保固
水雷射
醫療項目
All-on-4全口植牙一日重建
全口重建
台灣隊植牙
牙齒矯正
全瓷冠假牙
陶瓷貼片
高階美學樹脂補牙
微創齒雕
活髓保存術
牙周治療
兒童牙科
牙齒美白
顯微根管治療
醫師陣容
醫師門診表
最新消息
關於品悅
下載專區
案例-2
首頁
案例分享
人工植牙
案例-2
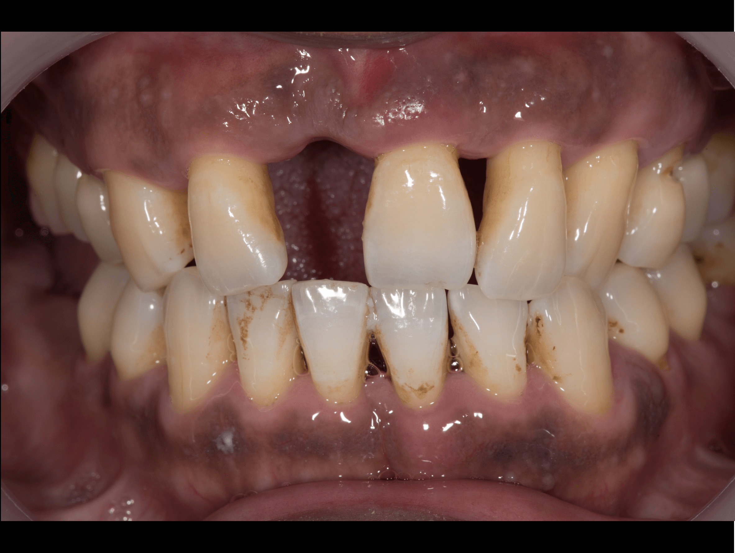
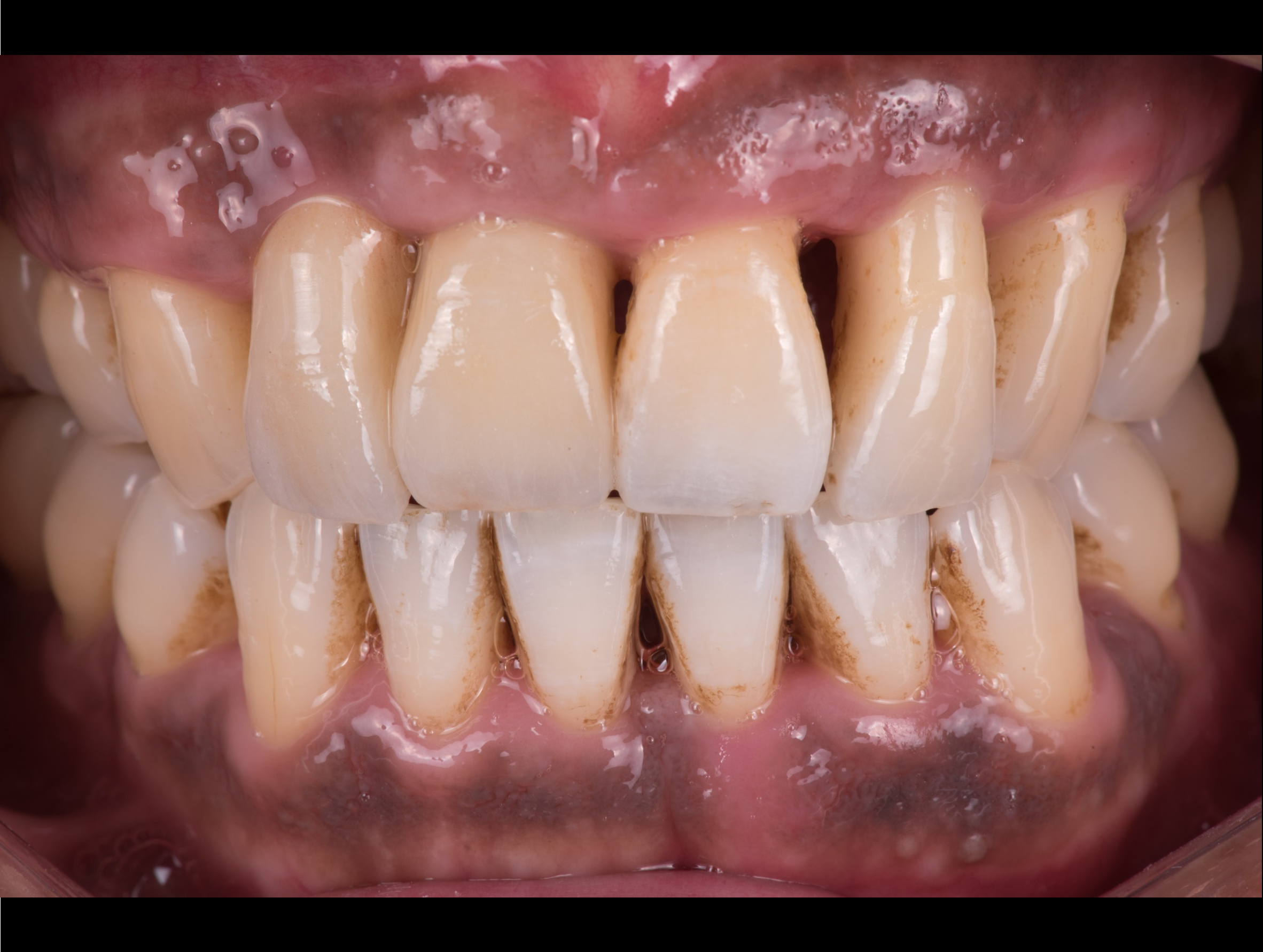
將原本的牙周病控制良好後
採取"即拔即種"的方式
在拔牙後立即植牙並裝上假牙
讓門面不空洞!
植牙醫師:張志嘉醫師
假牙醫師:趙子睿醫師