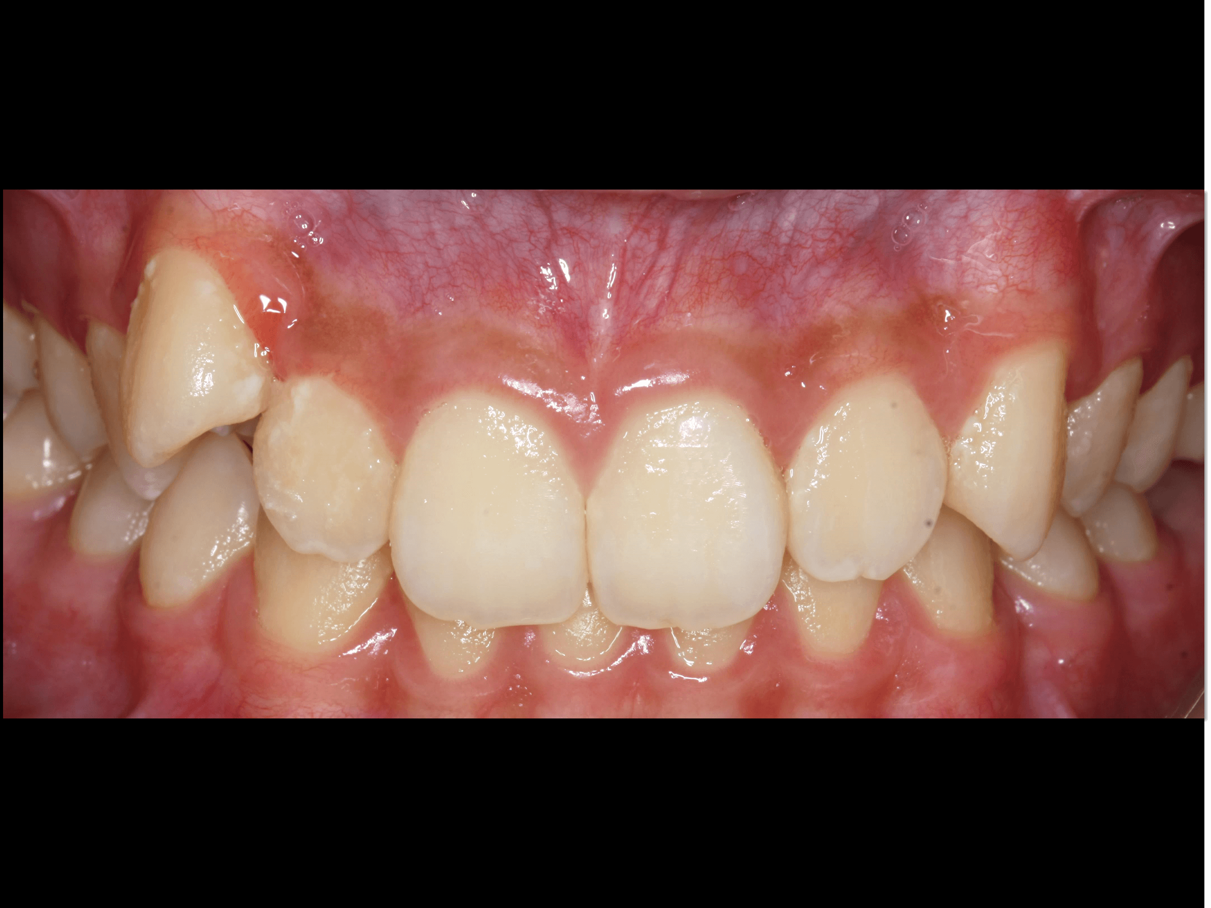
案例-6 首頁 案例分享 齒顎矯正 案例-6 虎牙凸凸的不好看... 笑的時候上排牙齒會蓋住下排牙齒... 牙亂不煩惱! 牙齒矯正一次解決囉 (圖片中使用的是"戴蒙矯正器") 齒顎矯正醫師:李慧凌 醫師