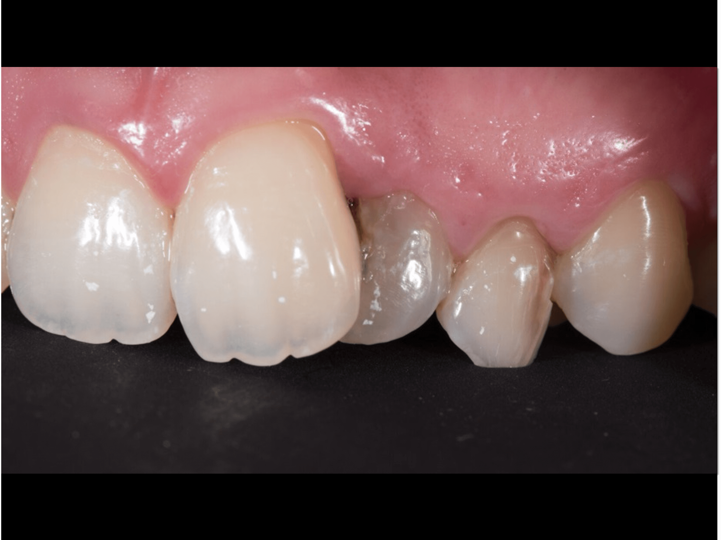
案例-12 首頁 案例分享 前牙美學 案例-12 成人 乳牙蛀牙? 您有乳牙未換成恆牙的困擾嗎? 其實先天缺牙的情形並不少見 乳牙往往牙根比較淺,難以保牙 若因蛀牙而留不住時..... 以橢圓橋體來修復原本的恆牙缺牙問題 是比傳統牙橋更好清潔與保養! 外觀自然、接近真牙呢! 治療醫師:趙子睿 醫師