品悅牙醫診所
    • 精準數位植牙
    • 植體終身保固
    • 水雷射
    • 醫療項目
      • All-on-4全口植牙一日重建
      • 全口重建
      • 台灣隊植牙
      • 牙齒矯正
      • 全瓷冠假牙
      • 陶瓷貼片
      • 高階美學樹脂補牙
      • 微創齒雕
      • 活髓保存術
      • 牙周治療
      • 兒童牙科
      • 牙齒美白
      • 顯微根管治療
    • 醫師陣容
    • 醫師門診表
    • 最新消息
    • 關於品悅
    • 下載專區

    醫療項目
    • All-on-4全口植牙一日重建
    • 全口重建
    • 台灣隊植牙
    • 牙齒矯正
    • 全瓷冠假牙
    • 陶瓷貼片
    • 高階美學樹脂補牙
    • 微創齒雕
    • 活髓保存術
    • 牙周治療
    • 兒童牙科
    • 牙齒美白
    • 顯微根管治療

    案例-9

    • 首頁
    • 案例分享
    • 齒顎矯正
    • 案例-9

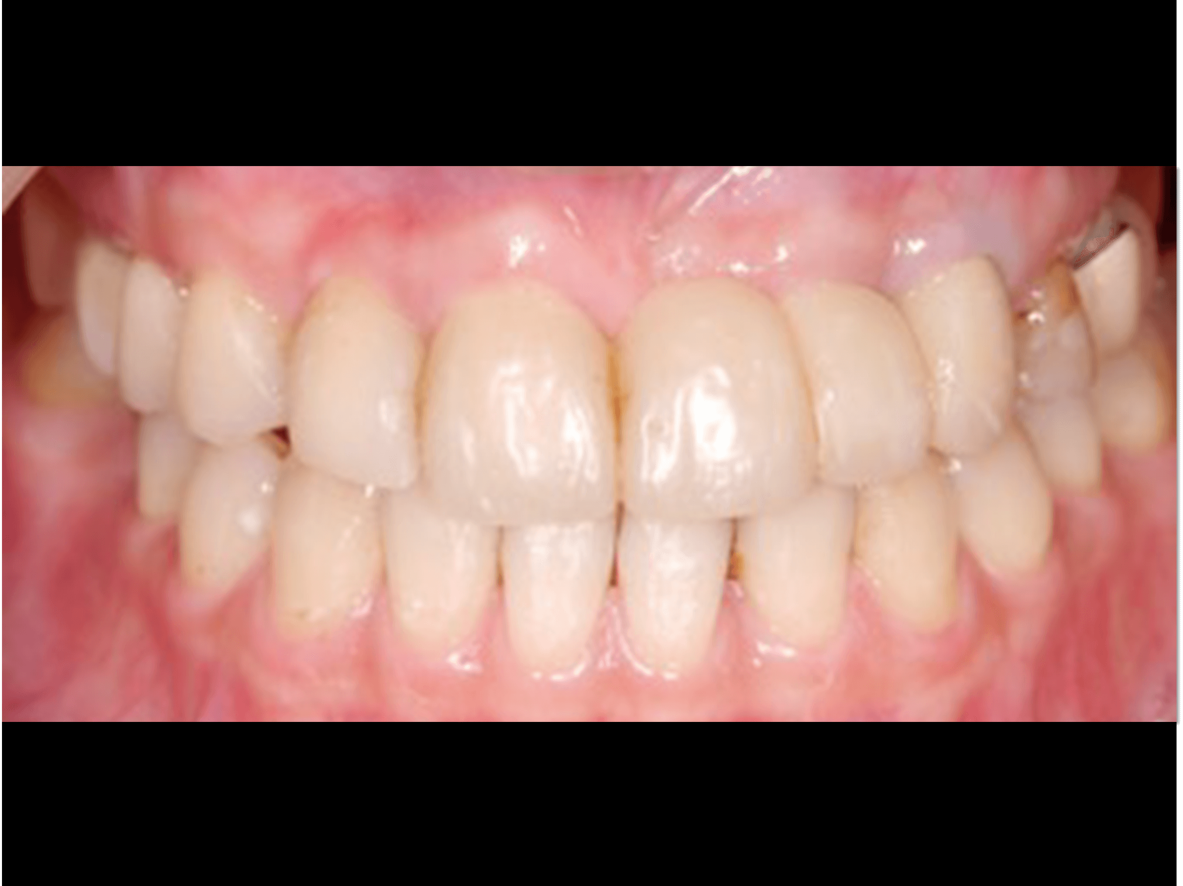
    改變真大!告別戽斗女孩!
    牙齒矯正影響的不僅是牙齒的排列與咬合
    女孩的臉型、笑容都不一樣了呢

    齒顎矯正醫師:李慧凌 醫師


    門診時間     ○ 休診
      一 二 三 四 五 六
    09:30-13:00 ● ● ● ● ● ●
    14:00-17:00 ● ● ● ● ● ●
    18:00-21:00 ● ● ● ● ● ○
    品悅牙醫診所
    • 03-657-9192
    • 新竹縣竹北市文興路1段16號
    • 聲明:禁止任何網際網路服務業者轉錄其網路資訊之內容供人點閱。
    • 粉絲團
      FB Fans
    • 診所位置
      Clinic Location
    • Design by GTUT
    • 網站地圖
    • 隱私權政策