案例-10
看起來沒有很亂啊!可是看起來開開的?!
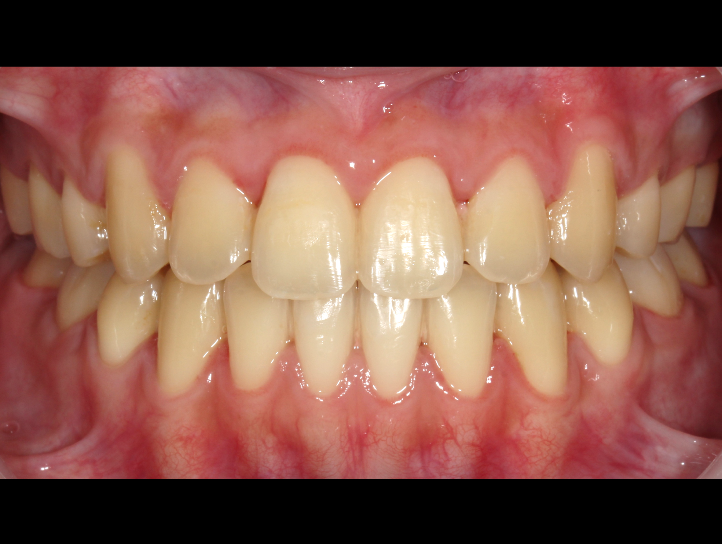
開咬是什麼?
上下門牙沒有垂直覆蓋、門牙咬不到以至於無法切斷食物
會出現說話漏風噴口水,嘴唇無法閉緊等情形
矯正改變那些?
依照臉部骨架和軟組織有不同的治療方式
本案例使用骨釘壓入上顎第一大臼齒
關閉開咬的同時也改變臉型!
矯正專科:錢怡雯醫師
開咬是什麼?
上下門牙沒有垂直覆蓋、門牙咬不到以至於無法切斷食物
會出現說話漏風噴口水,嘴唇無法閉緊等情形
矯正改變那些?
依照臉部骨架和軟組織有不同的治療方式
本案例使用骨釘壓入上顎第一大臼齒
關閉開咬的同時也改變臉型!
矯正專科:錢怡雯醫師

