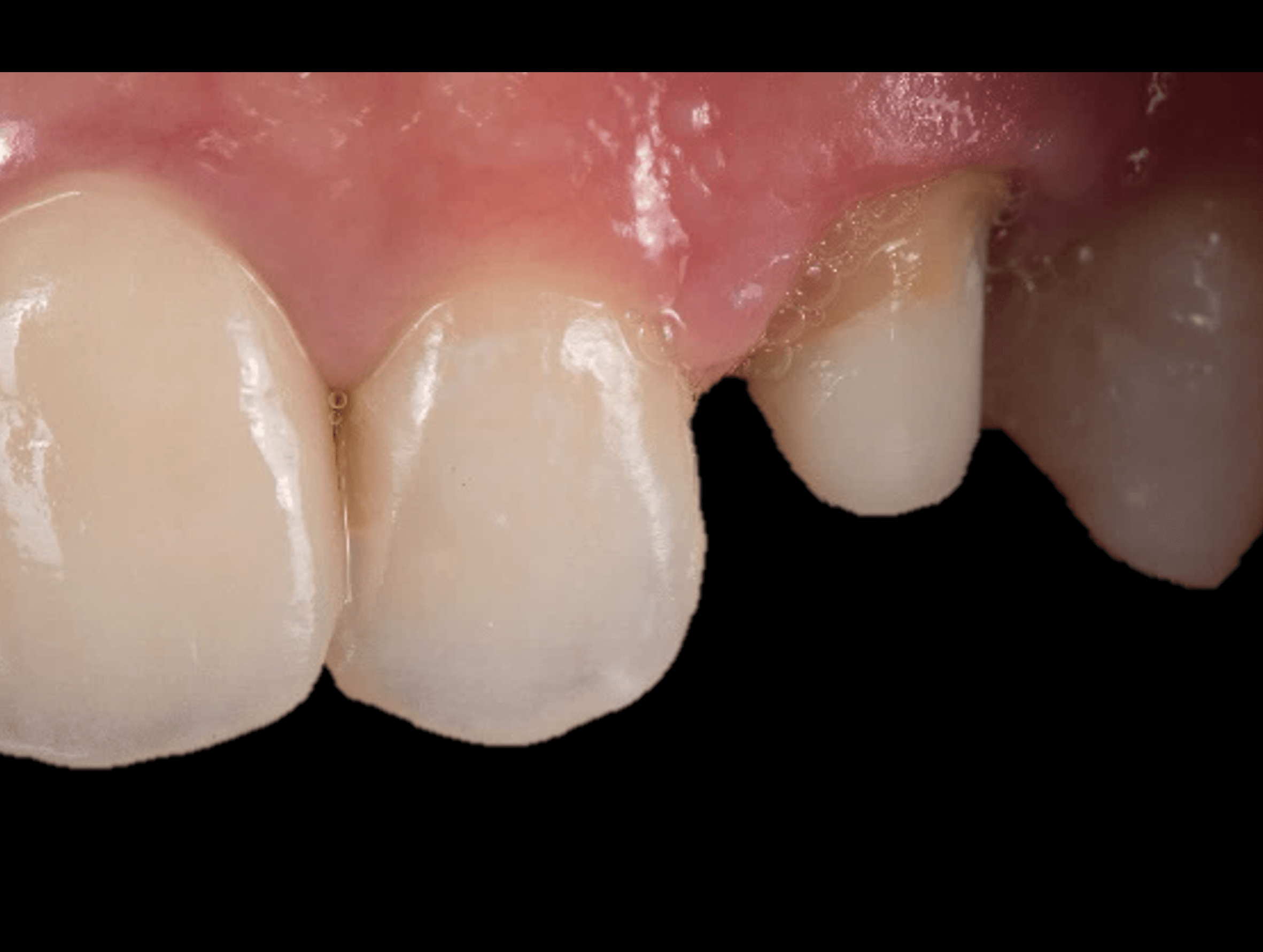
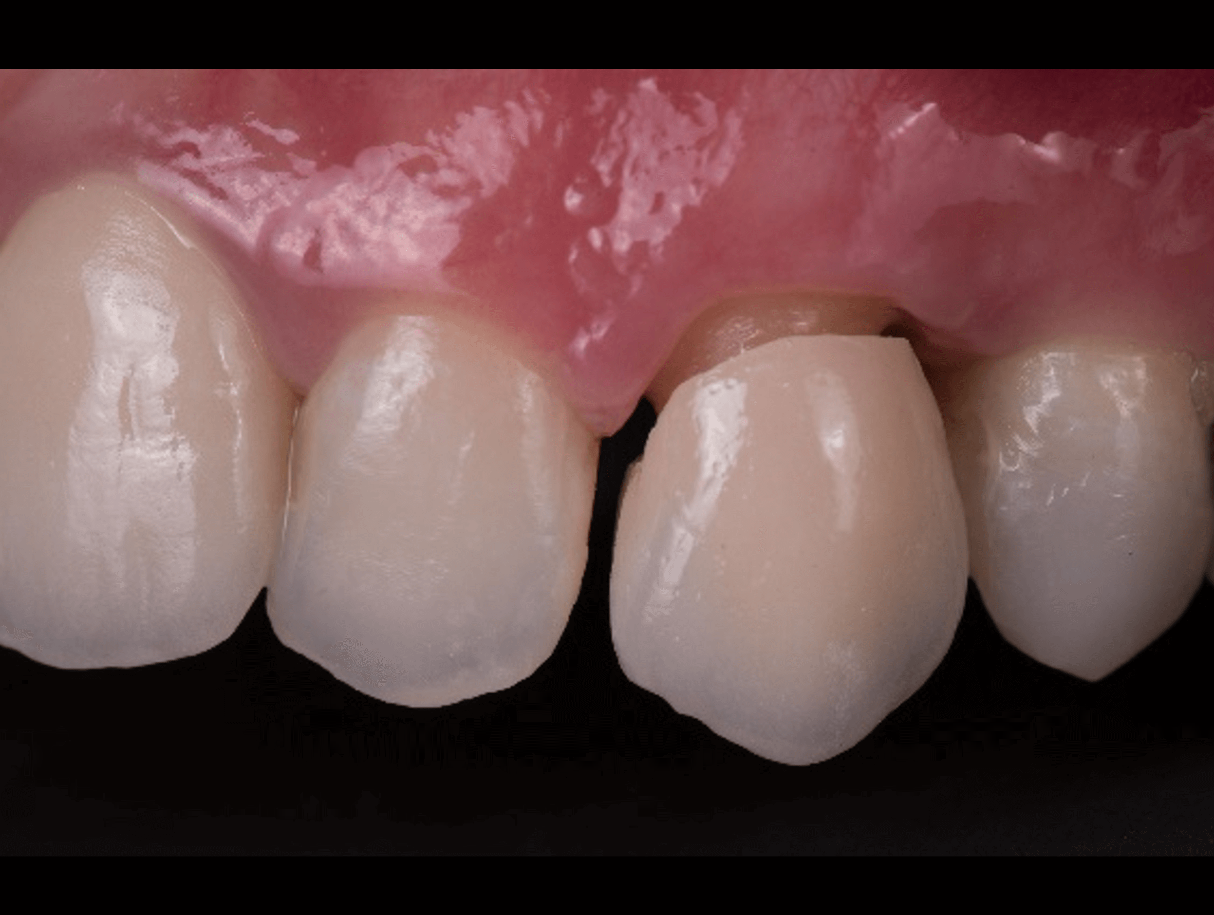
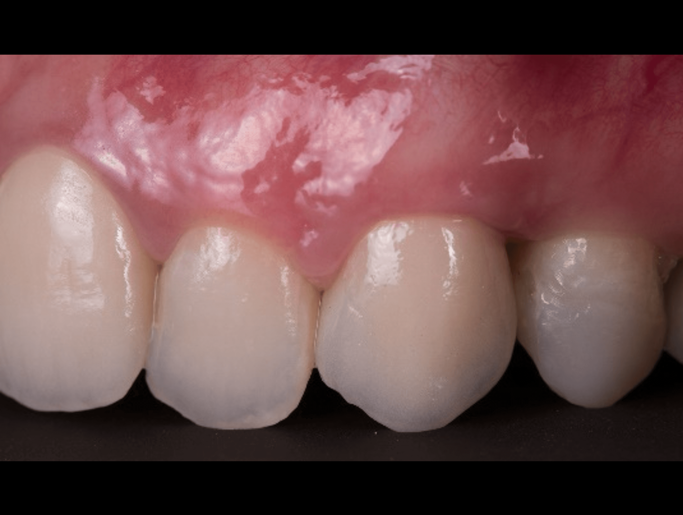
案例-14 首頁 案例分享 前牙美學 案例-14 根管治療(俗稱抽神經)後的牙齒 因為蛀牙面積較大、齒質裂損較嚴重 醫師建議要已"全瓷冠假牙"來保護珍牙 讓牙齒能做成長久的使用喔! 案例分享:趙子睿醫師