案例-9
原本患者是配戴三顆連在一起的假牙,就是俗稱的假牙牙橋
但拆除後發現
(X)清潔較難做到徹底
(X)不夠密合的假牙
都是造成嚴重二度蛀牙的主因,連側門牙也因此被拔除了
經醫師評估後,在缺牙處進行單顆植牙,並且單換上新的單顆全瓷冠假牙!
在維修與保養也都不會影響到鄰牙
(O)更能提升長久使用性
(O)全瓷材質會是美觀的首選
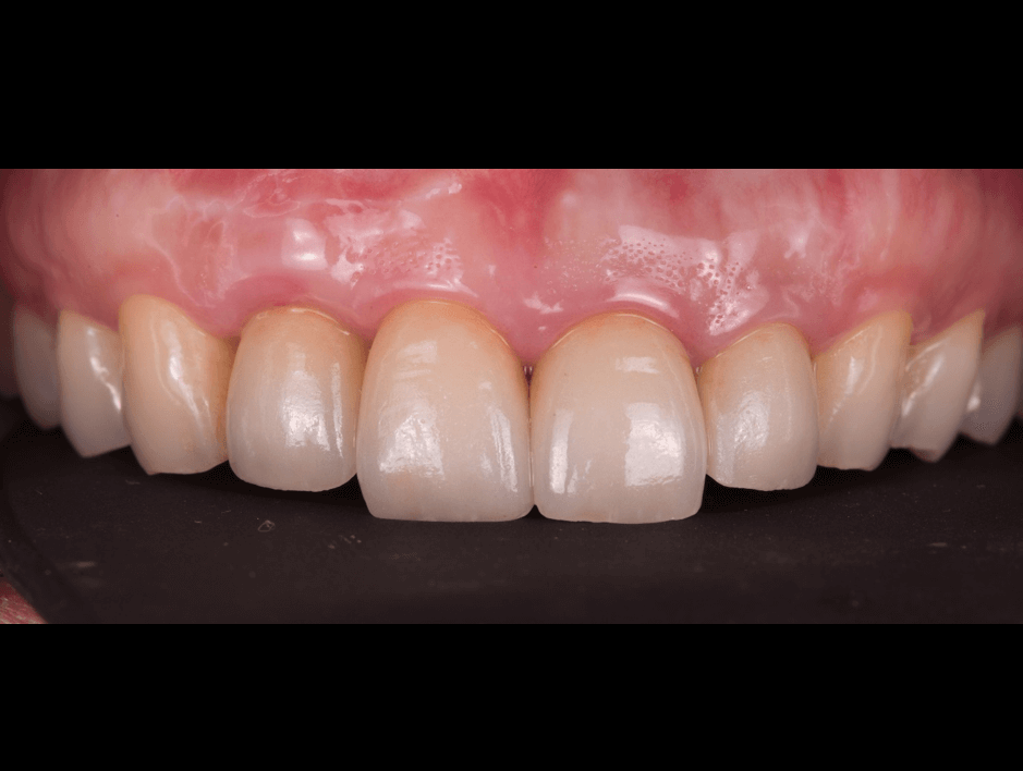
案例分享:趙子睿醫師


原本患者是配戴三顆連在一起的假牙,就是俗稱的假牙牙橋
但拆除後發現
(X)清潔較難做到徹底
(X)不夠密合的假牙
都是造成嚴重二度蛀牙的主因,連側門牙也因此被拔除了
經醫師評估後,在缺牙處進行單顆植牙,並且單換上新的單顆全瓷冠假牙!
在維修與保養也都不會影響到鄰牙
(O)更能提升長久使用性
(O)全瓷材質會是美觀的首選