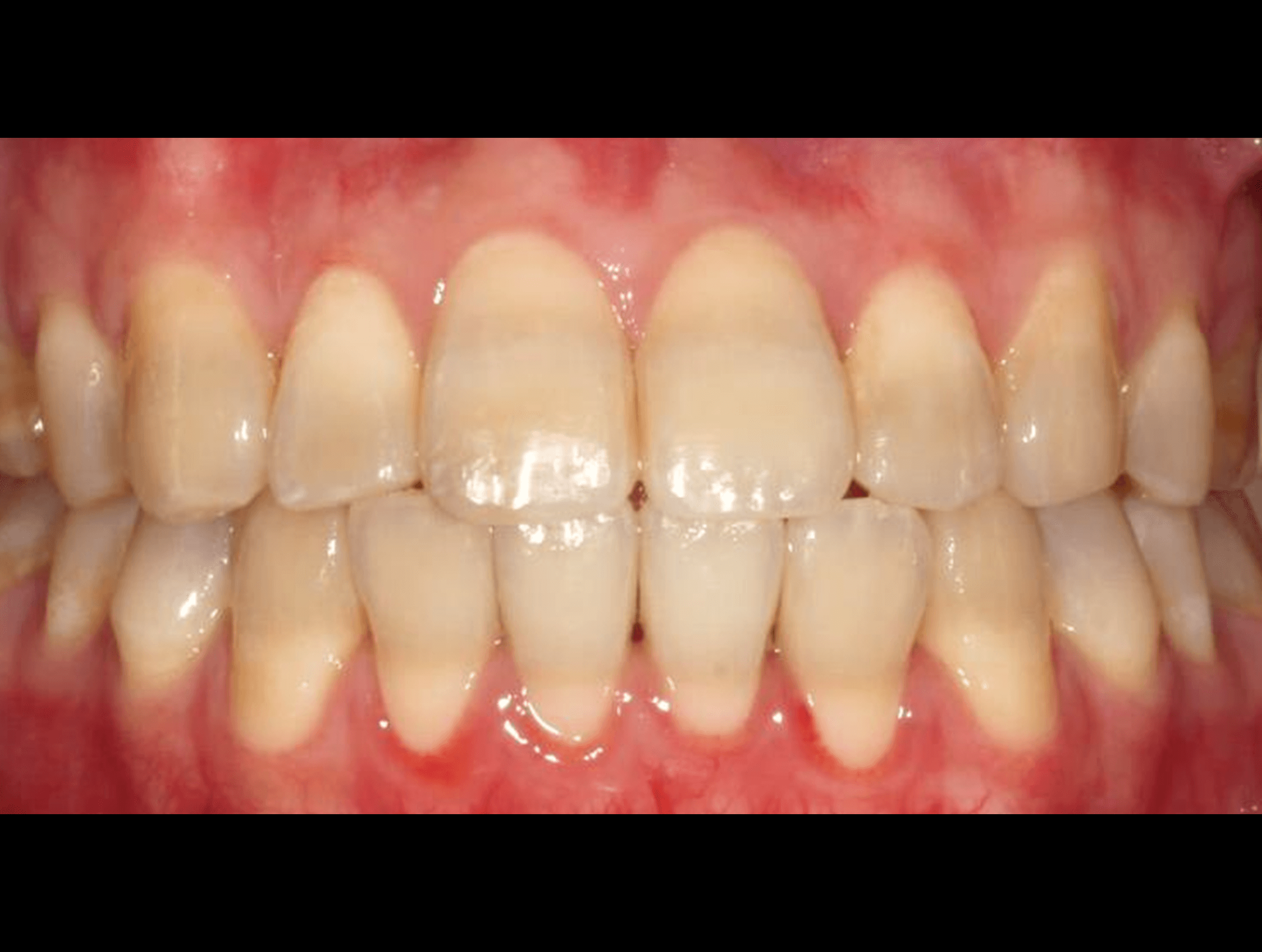
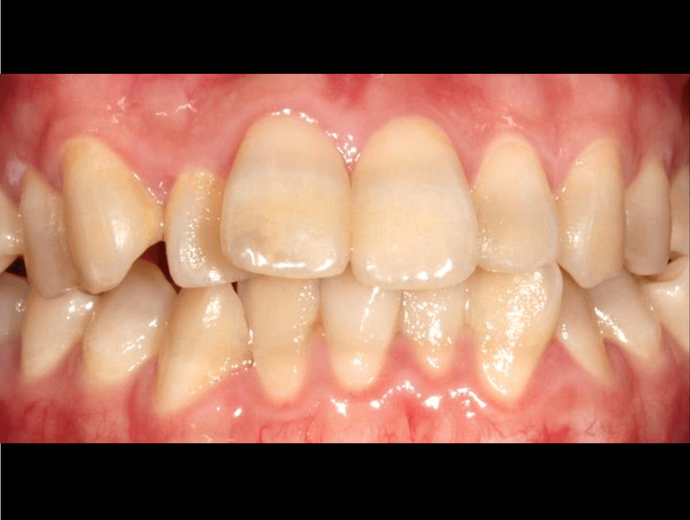
案例-2 首頁 案例分享 齒顎矯正 案例-2 其實隱藏在照片背面的是... 原來照片主人有暴牙的問題! 常常被說像兔寶寶牙 透過矯正 讓牙齒重新排列整齊外 整個人也更有自信了! 齒顎矯正醫師:錢怡雯醫師