想要牙齒矯正的你,此時滿頭問號的想著「牙齒矯正前的資料收集是做什麼?」、「矯正諮詢要問什麼?」,網路上的資訊五花八門,這次錢醫師統整並聚焦在本院的牙齒矯正四大流程,只要花三分鐘閱讀文章,也許能讓想要戴牙套的你有更多的了解喔!
開始牙齒矯正的流程主要可區分為四大步驟,分別為資料收集、矯正諮詢、矯正前牙科治療、裝置矯正器,這次就讓我們來逐一介紹流程吧!
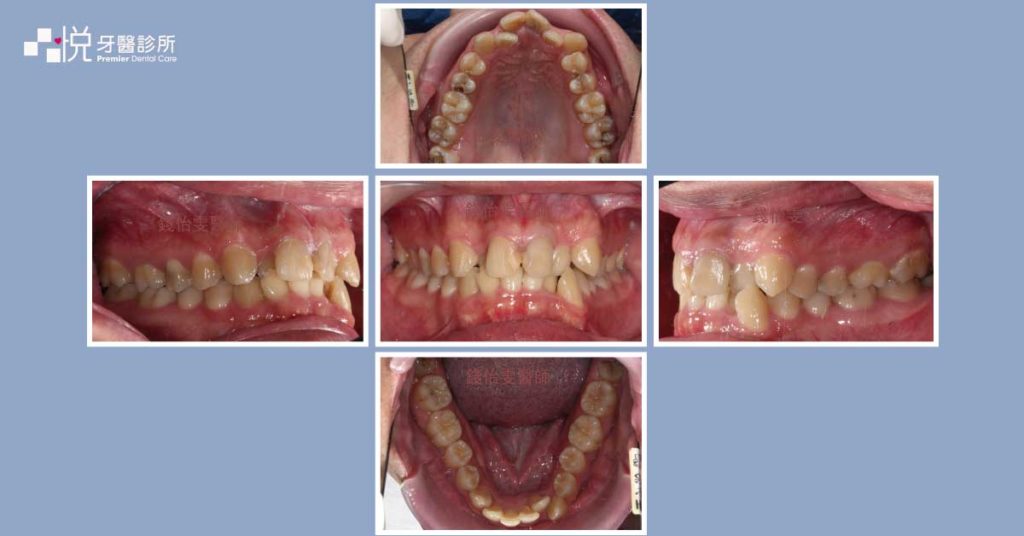
牙齒矯正前的資料收集包括拍攝口內外照片、全口 X 光片、正側顱 X 光片(或其他需要的 X 光片)、製作全口模型等等,矯正醫師有充足的資訊可以去做分析每位患者口內外的情況,診斷出問題所在,並且擬定專屬且適合的矯正治療計畫,可以在下一階段的矯正諮詢有更充沛的說明喔!




患者可與矯正醫師說明自己最在意什麼問題,以及預期矯正後能達到什麼樣的改變,是否有傾向的矯正器系統種類等,有其他牙齒矯正的疑慮都可與矯正醫師提出討論。
矯正醫師在了解患者進行牙齒矯正的原因,透過先前已分析過的資料,向患者說明的詳盡矯正治療計畫,包含牙齒矯正可能預估療程時間、是否需要拔牙、打骨釘、搭配假牙或植牙等專科療程、所需費用等等。

離正式開始戴上牙套只差最後一步,一般會由家庭牙科醫師檢查,依照本身的口內情況進行洗牙、補牙、根管治療、更換臨時假牙、治療牙周病等,待牙齒恢復健康、有良好的基礎下,就可以來進行矯正治療。
若需進行矯正拔牙或打骨釘,會依照矯正的計畫來安排是否此階段先進行牙齒的拔除,需要打骨釘則有可能於此時植入,或是矯正進行中再擇期植入,會視醫師專業評估而定。
會依據選擇的牙齒矯正系統而分別有不同的裝戴流程,詳細如下:
矯正醫師會評估療程以及咬合狀況,來決定是一次內把矯正器裝置完畢,或是分次把矯正器裝置完成。當有些特殊的狀況,可能會先黏著單顎(上排或下排牙齒)的矯正器,過一段時間後再黏上另一顎,讓患者能漸漸適應。
在裝置矯正器後,通常是每個月回診一次做調整,三至五周都是合理的回診時間。
隱適美是以透明的牙套包住牙套,一般牙齒上通常需要黏著上一些附連裝置(attachments,俗稱豆豆),來幫助增進特定形式的牙齒移動。有時也需要搭配骨釘和顎間橡皮筋的輔助,來達到更好的治療效果。
通常請患者 14 天更換一副牙套先行適應,之後視患者的適應與配合情況,可慢慢調整至 7 到 10 天更換一副牙套,實際狀況由矯正醫師實際評估為準。
同場加映:牙齒矯正能不知不覺地偷偷變漂亮? 隱形矯正做得到!
牙齒矯正是長期的治療,通常需要花費數年的時間,往往關乎一個人門面的改變,事前需要審慎的評估。
這次與大家分享牙齒矯正的四大流程,希望大家找值得信賴的矯正醫師,建立良好的醫病關係,才能更加了解牙齒矯正所帶來的預期效果,並且獲得良好的治療成果唷~
※聲明:文章為醫師的經驗談,每人口腔情形盡不相同,如有不適儘早就醫檢查才是正解