為了讓有植牙需求的患者減輕經濟負擔,品悅牙醫提供「台灣隊植牙」專案,採用【 Anker 植體廠牌】的植體與相關零件皆是台灣在地製造,少掉植體的進口關稅,是安全、優質的平價植牙新選擇,讓植牙不再是遙不可及的治療選擇!

台灣隊植牙專案由經驗豐富的品悅牙醫醫療團隊親自規劃植牙療程(包含製作植牙假牙),打造健康又自然美觀的植牙。
選用 Anker 植體廠牌 ,結合高精度生物力學設計與先進植體表面處理技術的台灣製優質植體品牌,能獲得安心、穩定的植牙成果。
採用台灣植體 Anker 品牌,植牙費用約5萬元起(實際治療費用依醫師評估為主)。
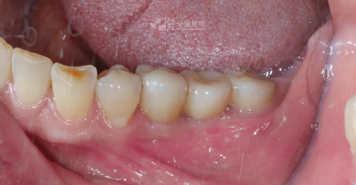
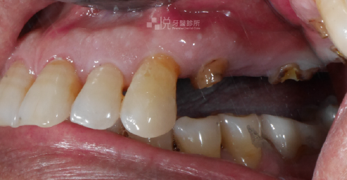
全瓷冠的植牙假牙不含金屬成分,美觀且生物相容性極高。
採具螺絲孔設計,螺絲固持式假牙有利於後續保養與維修,延長植牙使用壽命。
植體終身有限責任保固,植牙假牙與植牙零件兩年保固。
(限每半年定期回診,不當使用或不可歸責於本院之損害不在保固範圍內,例如磨牙、牙周病等。)
研究顯示糖尿病、高血糖會影響牙周、傷口癒合及植牙後的骨重塑,特別提醒大家在植牙前一定要有良好的控制糖尿病,就能安心的植牙,再多注意術後照後(使用 Chlorhexidine 的漱口水)以及需要定期回診追蹤。
若本身有高低血壓,請於植牙手術前先諮詢長期看診的心臟科或家醫科醫師,切勿在植牙手術前自行停藥或加重藥量。
一般良好控制血壓下仍可安心接受植牙手術,在植牙手術當天也先量血壓,並且同時視情況調整麻醉劑量或使用不含血管收縮劑的麻醉,更提升植牙手術的安全性。
有抽菸可以植牙,但研究指出抽菸者對於植牙成功率會有影響(影響血液循環、骨整合效果降低、傷口癒合不佳),建議植牙手術前一到兩週就戒菸,植牙後兩個月內應避免抽菸。
吃檳榔可以植牙,但因為吃檳榔後口腔黏膜容易纖維化,造成張口度受限,增加植牙手術進行的難度,也建議在傷口癒合前不要吃檳榔給予過度刺激。
品悅牙醫的植牙費用採取分階段付款,分別是「治療計畫階段」、「手術階段」、「假牙製作階段」,依療程進行到每一階段收費。
保險對植牙的給付有請洽詢各家保險公司的條約及審核為主,也特別提醒保險理賠有嚴格的法規規範,若偽造收據或診斷書,是會觸犯刑法,醫師不會因患者或保險員的要求就不實開立診斷書,也請大家不要太為難醫師喔!