All-on-4 全口植牙一日重建的手術是利用四到六支強壯的植體來相互支持,加上槓桿原理的作用,可以用最少四支植體來穩定負荷咬合力。
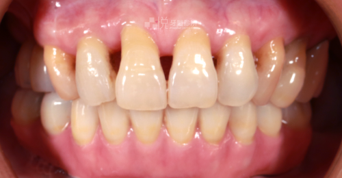
植體可選擇在骨質骨量好的位置,再利用專屬的套件來固定假牙,便可以快速、安全又便利的方式來重建全口的美觀及功能。當天的手術及假牙裝戴就可得到一個全新的理想外觀及飲食功能。

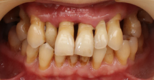
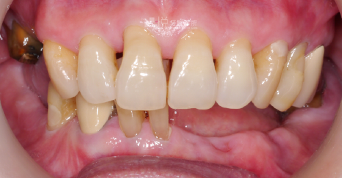
有別於傳統全口重建的過程需要花費較多的時間,可能要多顆植牙、甚至是補骨、補肉的時間。
品悅牙醫全口重建專案【All-on-4全口植牙一日全建】為每位患者量身打造專屬治療計畫,與專業麻醉醫療團隊合作,搭配鎮靜麻醉療程,最快當天恢復有牙人生!
品悅牙醫【All-on-4全口植牙一日重建】搭配口腔掃描機及3D藍光X-Guide導航植牙機,利用數位輔助的方式來做精準的規劃,以新的定位技術、無時差的即時回饋讓植牙手術完全掌握植入過程的動態,把可利用的骨脊條件作最佳的利用,達成植體穩定度的最大化,把植體的角度準精植入,讓後續假牙製作可以更順利,也讓假牙的強度可以因良好的植入位置而確保堅固!

一次完成上顎或下顎的缺牙重建,甚至全口無牙的重建都是可能且可行的,只要一天的手術及假牙裝戴就可得到全新的外觀及基本的飲食功能。
咬合的關系可以重新設定,量身訂作,可以說是一日矯正齒列。
維持咬合食物的刺激,顎骨可以維持骨質及骨量,避免拔牙後過多骨脊萎縮。
通常不用補骨,把植體設計在骨頭條件好的位置,術後不適很少。
通常三天內就可以恢復日常生活。
| All-on-4全口重建 | 傳統全口植牙 | 活動假牙 | |
|---|---|---|---|
| 適合對象 | 全口缺牙或嚴重咬何不正 | 殘存牙齒有機會做臨時假牙 | 不適合手術的人 |
| 費用 | 中等 | 最高 | 較低 |
| 就診次數 | 當天可以完成固定假牙 | 最多 | 較少 |
| 手術時間 | 單次時間(約二到六小時) | 多次且時間長 | 不手術 |
| 是否補骨 | 大多不用 | 多半需要 | 不用 |
| 咬合力 | 正常 | 正常 | 約正常咬合的10-30% |
| 清潔方式 | 主要是使用牙刷清潔四到六顆植體 | 每顆植體周圍都要清潔,顆數多,需時數長 | 只需清潔假牙 |
| 優點 | 當天即可有固定式臨時假牙,可恢復美觀及功能 | 最接近自然齒列的重建 | 花費較少 |
| 缺點 | 需要搭配植牙導航系統,才能精準又安全 | 多次補骨,治療全程耗時一到兩年 | 使用需花時間適應 |
| 使用期限 | 統計18年的假牙存活率有高達98.8% | 標準流程加上正常使用及清潔,有超過95%機會可以用十年以上 | 個人條件影響大,一般一到三年使用要調整 |
有統計18年的假牙存活率有高達98.8%,意思是接近99%的人可以使用超過18年!
只要正常的飲食習慣(避免咬雞骨、雞軟骨、螃蟹殼等過大咬力的不良使用),加上維持如同一般牙齒清潔規律的刷牙方式,另外定期回診,有很高機會是可以終身受惠舒服的進食。
All-on-4 療程費用乍看之下很高,但比起全口一顆一顆植牙其實費用更低更實惠!
進行All-on-4在短時間內要完成的很多事前規劃,包含外觀分析、咬合分析、進而去篩選是否適合手術;確定需要手術後,骨質及骨量分析、斷層掃描及口腔掃描的資訊中,設計植體位置、角度、支數來穩定支撐All-on-4全口重建的假牙。植牙前也需要先 3D 列印出備用假牙,當天就有牙技師支援及麻醉專科醫師的協助,確保整個手術流程安全無虞。
而傳統的全口植牙,在完整且詳細的治療過程中,上述事項都不能少,最大的差異是治療時間會拉更長,植牙顆數會更多,補骨的需求也更大,在兼顧生活品質下會需要臨時假牙作過渡時期的使用。
大家可以想像家裡在裝潢然後人又要住在裡面,一間一間房間慢慢動工,時間長又影響日常生活,費用也是一筆一筆分開算,所以費用會較高。
All-on-4 居高不下的費用一直是很多人望之卻步的原因,但是全口重建的細節很多,不是只有會做單顆植牙手術和會做單顆假牙的醫師就可以完成一個理想的效果,所以治療醫師的技術和經驗很重要!
品悅牙醫搭配先進的醫療科技來輔助,更是如虎添翼,如:X-Guide植牙導航機、口腔掃描機、3D咬合設計軟體,都是可以大大提升治療的品質。
品悅牙醫植體的選擇是Nobel 諾保科植體,Nobel 諾保科植體為全球最先開始使用在 All-on-4 的植體,也是全球最大廠牌之一,正式假牙材質也是有不同的等級,耐久程度就有極大的差異。
全口重建就像是蓋一間房子,如果按照標準工法加上專業的團隊,費用一定需要有合理的水平。需要的零件、儀器、專業人員當然會有費用的差異,但外觀不一定看得出房子的好壞,買便宜的房子只好居住小心加上祈禱不要地震。
東減西扣便宜的All-on-4反而可能會帶來後續的問題,我們標準治療的團隊不一定有能力處理,有時只能又退回到用活動假牙來勉強使用的狀況。