有別於傳統治療中容易產生的不適感、術後的疼痛感、較長的癒合時間,水雷射的應用在牙科治療上無疑是一大進步。

水雷射以雷射光能量與溫和的水霧結合來清潔和殺死細菌,在精準切割的同時對手術部位進行消毒,縮短術後癒合期、降低術後不適,提供了一個更快速、更溫和且更全面的治療方式。
將聚焦雷射光與水霧結合,實現極度精確、溫和的牙科治療。
水雷射帶來的幫助廣泛的應用在牙科療程,例如:牙周病治療、植體周圍炎、牙冠增長術、拆除假牙或陶瓷貼片、敏感性牙齒的去敏感治療、口腔潰傷及皰疹治療、唇繫帶及舌繫帶切除、牙齦美白、根管治療等。
水雷射的聲音相對平穩、低沉、小聲,減少傳統鑽頭刺耳的噪音與震動,能減緩多數患者對於牙科治療的心理的焦慮或壓力。
牙齦紅腫,刷牙或使用牙線容易流血,骨頭尚未受影響。
骨頭有流失情況,牙齦出現萎縮,牙周囊袋形成。
骨頭嚴重流失,牙齒開始搖動,牙周囊袋更深,牙齦嚴重萎縮。

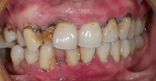
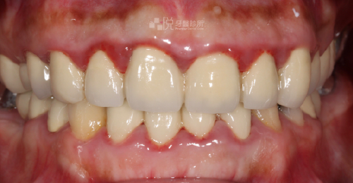
原先有嚴重的牙周病,搭配 4 次的水雷射,約 1 個月的治療時間,就有顯著改善牙周病問題。
| 水雷射 | 傳統牙科治療儀器 | |
|---|---|---|
| 疼痛感受 | 疼痛較輕微,必要時需搭配麻藥 | 需搭配麻藥 |
| 止血功能 | 蛋白質凝結效果,幫助止血 | 搭配麻藥或其他止血劑可幫助止血 |
| 滅菌功能 | 有滅菌功能 | 須搭配其他藥劑 |
| 傷口範圍 | 視臨床狀況決定。 在雷射探頭可到達區域,可以微創治療 | 視臨床狀況與器械大小決定 一般來說,傷口會稍微大一點。 |
| 術後恢復 | 具生物刺激效果,可加速傷口癒合 | 傷口自然癒合 |
| 患者感受 | 聲音較小、無震動 | 聲音較大、震動感比較明顯 |
完成人工植牙療程後,雖然植體不是自然牙、也不會蛀牙,但若未維持良好口腔衛生或不良習慣(如吸菸、嚼檳榔等),就可能有「植體周圍炎」的發生。
植體周圍炎也被稱作「植牙的牙周病」,會使植牙附近的骨結構被細菌破壞、發炎,而影響到植牙的健康。

牙冠增長術可以透過水雷射將本來牙齦包覆牙齒結構露出來,以增加臨床牙冠的長度。
水雷射搭配牙冠增長術常應用在有微笑時露出太多牙齦、前牙牙齦高度不對稱、假牙邊緣放到牙齦太深的位置導致牙齦發炎等情況。

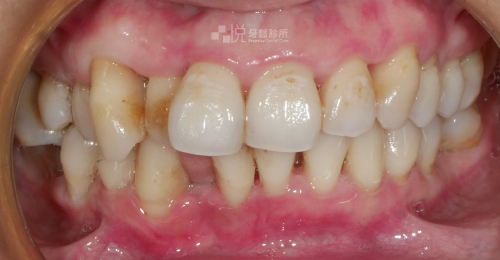
舊有假牙侵犯到「生物寬度」(意指假牙邊緣放到牙肉底下太深的位置),導致牙齦有紅腫流血悶痛的發炎反應,本來的牙齒長度偏短、左右牙齦高度不對稱的狀況。
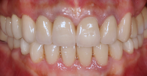
透過【水雷射牙冠增長術】後,讓牙齦恢復健康、和諧的外觀,並完成全口假牙的重建。