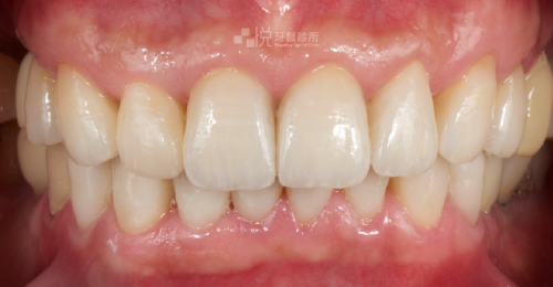
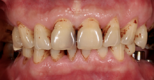
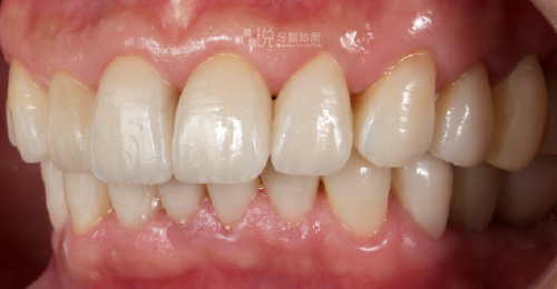
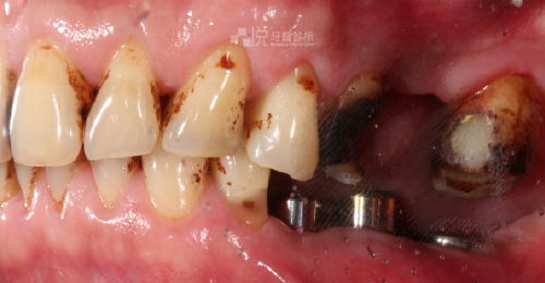
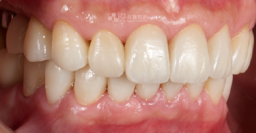
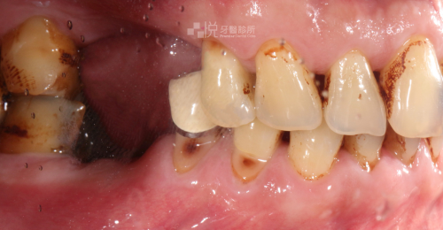
全口重建並非單純的「缺哪顆補哪顆」,當口腔內出現多處缺牙、磨損嚴重、甚至影響到發音、飲食困難或是不敢自信的開口大笑時,就屬於全口重建的治療範疇。
在品悅牙醫不只是幫患者解決當下的疼痛,更是透過詳細的全口評估找出問題的根本原因,包含徹底的檢查整體外觀、牙齒結構、牙周健康、咬合呈現等,進而規劃專屬於您的全口重建治療方針,使您恢復口腔健康、重現自信笑容。

品悅牙醫於新竹竹北地區深耕超過十五年,於本地建立良好口碑,並且秉持著最佳的醫療品質、讓人信賴且穩定醫療團隊、完善的專管師制度,有豐富的複雜全口重建的成功案例,已累積長年的臨床經驗,是大多數人選擇品悅牙醫、並放心交給我們的原因。
全口重建涉及植牙、牙周、假牙、矯正、家庭牙科,由各專業領域醫師共同會診,每個治療環節都有專業醫師把關。
不必擔心「不知道做到哪」、「怕問醫師問題」,有專管師是您的貼心看牙秘書,協助說明、預約、費用統整,讓治療期間提升醫療品質。
品悅牙醫新竹竹北地區在地深耕超過十五年,不用擔心療程結束後找不到原先的醫療團隊,幫助許多的全口重建患者,重現自然健康笑容,值得您的交付。
全口重建若比喻為一項複雜的工程,就需要醫師們能各司其職,品悅牙醫擁有十多位專業醫師團隊,每位醫師各有特長與專精項目,包含植牙手術、牙周科、假牙科、矯正科等等,透過全口重建期間交給各科別醫師達到最全面性的治療成果。
在全口重建的整合性治療期間,搭配每人專屬的治療計畫,使患者在品悅牙醫即可有多位專科醫師治療,無須奔波多家診所、更能提升治療期間的便利性與治療品質。
品悅牙醫有完善的諮詢制度、獨立專屬的諮詢室,透過專案管理師(以下將簡稱為專管師)諮詢,您會更有充裕的時間了解治療進度與相關費用,讓您不必在診間匆忙做決定。

專管師協調各科別的專業醫師與您之間保持密切聯繫,您不僅能將療程安心交給專業醫師,還能將您的不安或擔憂託付給專管師!
透過完善諮詢後,專管師將協助您安排門診與了解療程相關費用,紀錄每階段療程進度與反饋,能即時性調整您與醫師端的溝通,並提供暖心關懷與用心服務,更加提升您的醫療品質。
您的想法能透過專管師向醫師轉達,達到雙向溝通,打破傳統過去只能單向接受完成療程。
醫師能透過專管師更全面掌握資訊、記錄每一階段的恢復狀況,專管師也是醫師了解您的看診進度的最快窗口,是醫師很重要神助手,確保全口重建的療程能按部就班進行。