品悅牙醫導航式植牙是搭配美國創新科技X-Guide醫療用電腦,人工植牙前可用於術前診斷和訂定治療計畫,以及手術中利用光學追蹤,就像GPS導航,導引器械和人工植牙方向。搭配植牙導航機可以快速達成掃描、植體設計、導航,讓人工植牙可以更精準、安全、舒適的效果。

X-Guide植牙手術導航機在植牙手術中利用光學追蹤,像GPS導航,導引器械和人工牙根方向。
品悅牙醫植牙植體廠牌嚴選:瑞典廠牌【Astra】與【Nobel】、美國廠牌【SuperLine】、台灣廠牌【Anker】。
植牙假牙以全瓷冠材質,美觀且生物相容性極佳,不含金屬成分,可避免牙齦變黑、過敏情形。
植牙假牙以螺絲固持式,具維修孔設計,有利後續保養、維修,延長植牙假牙使用壽命。
植體為終身有限責任保固,植牙假牙與植牙零件2年保固。
以上皆限半年定期回診,使用不當或不可歸責於本院之損害如:磨牙、牙周病等不在保固範圍。
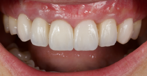
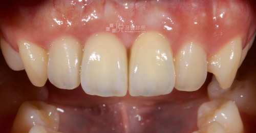
更換植牙與全瓷冠假牙,讓整體笑容更亮白又好看。
不被缺牙所苦,導航式植牙能讓植牙透更精準、安全完成。
品悅牙醫導引式植牙是以數位導引板依每人口內狀況客製化設計,需要口掃機搭配數位排牙、設計軟體及電腦斷層,3D列印製作而成。
可輔助避開患者的神經、血管、上顎竇等解剖構造及植體精準定位。
有別於徒手植牙只靠醫師的臨床經驗,導引式植牙的安全性和成功率都大幅提升。
全客製化數位導引板極精準又安全
植牙搭配導引板的微創手術,傷口小、恢復快、降低術後不適
避開患者神經、血管、上顎竇
有別於徒手植牙只依靠醫師臨床經驗,有導引板輔助能提升植牙成功率
| 導航式植牙 | 導引式植牙 | 徒手植牙 | |
| 精準度 | 非常精準 | 精準 | 依醫師經驗,可能有誤差 |
| 舒適度 | 高 | 中 | 低 |
| 安全度 | 高 | 中 | 低 |
| 傷口大小 | 小 | 小 | 大 |
| 手術張口大小 | 小 | 需要較大 | 適中 |
| 美觀性 | 較佳 | 較佳 | 較差 |
| 植體成功率 | 高
(可充分冷卻) |
高
(須注意沖水降溫) |
低
(易歪斜、不易重建) |
植牙假牙、假牙基台與植體用一根螺絲連接,一體成型,口內不需黏膠。
品悅牙醫植牙採螺絲固持式假牙,使用螺絲並可拆卸的方式將假牙固定在植體上,會在植牙假牙的上預留一個維修孔的開口, 並以樹脂填補起來,若未來有需要維修或清潔,可直接拆卸,並且每次回診時,將植牙假牙拆下進行徹底清潔,大幅降低植體周圍炎的發生,更有利於植牙長久使用。
先將假牙基台+植體用螺絲鎖住,再將假牙用黏膠黏上,如圖示。
使用黏著劑接合植體與假牙,而黏著劑若溢出刺激假牙周圍的牙肉、牙齦,容易導致發炎或紅腫的發生,因黏著劑不可拆卸,無法取下來清潔植體,若有需要清潔或維修,也只能破壞假牙,是需要重新製作植牙假牙。
| 植牙「螺絲固持式」假牙 | 植牙「黏著固定式」假牙 | |
| 有維修孔 | ● | ✖ |
| 方便清潔 | ● | ✖ |
| 無殘留黏著劑 | ● | ✖ |
| 無副作用、後遺症 | ● | ✖ |
| 降低植體周圍炎 | ● | ✖ |
| 有利長久使用 | ● | ✖ |
全瓷冠內層為高強度的全鋯冠,外層燒上陶瓷,美觀度極佳,尤其適用於前牙,接近於自然牙。
全鋯冠是一整塊高強度氧化鋯3D切割而成,具有極高強度,相當耐磨和耐咬,尤其適合於後牙,是目前最理想又美觀的假牙材質之一。

植牙流程包含先有完整的植牙前評估,接著進行植牙手術(放入人工牙根),等待骨頭與人工牙根結合,接出癒合螺絲後換成假牙就完成假牙,植牙平均普遍需要三到十個月,期間約診次數則依每人口內情況而定。
很多人害怕植牙,尤其是面對未知時的緊張感,容易有過多不符合自身狀況的猜想。
品悅牙醫與專業麻醉團隊合作,建議可經由麻醉醫師進行「牙科鎮靜麻醉」評估,當有長治療、複雜、多手術區域的療程可選擇鎮靜麻醉來減輕心理和生理的負擔,而小區域或微創的手術則可嘗試局部麻醉在意識清楚下治療,品悅牙醫希望能讓每位患者可以在放鬆的狀況下、以最安全的流程,享受高品質及精準的治療。
人工植牙是目前最接近真牙的缺牙重建方式,缺牙重建也還有傳統牙橋、馬利蘭牙橋、活動式假牙等,以上每項治療方式從外觀、穩定度、異物感、舒適度、耐用程度、清潔方便性、治療時間、費用、適合族群都有各自的優缺點與特性,也歡迎安排品悅牙醫與醫師一對一諮詢討論唷!