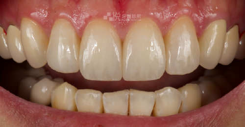
陶瓷貼片是一種全陶瓷材質的「超薄牙齒貼片」,薄薄的一片陶瓷覆蓋在牙齒的外側,能達到目前美觀又自然的效果,有的人也稱為瓷牙貼片、美白貼片、全瓷貼片。
陶瓷貼片大約僅 0.03 到 0.05 公分的厚度,在保留完整齒質的觀念盛行之下,同時可以快速達到牙齒美白、齒形修復、微調牙齒排列,客製化微笑曲線與牙齒顏色。

常見是在正中門齒之間的縫隙影響美觀,能以陶瓷貼片關閉牙齒縫隙,省去牙齒矯正時間。
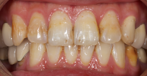
牙齒黃或暗沉、因服用四環黴素導致牙齒染色等,透過陶瓷貼片快速改變牙齒顏色,提升穩定的亮白效果。
像是釘狀齒、左右牙齒形狀不對稱、牙齒有長短不齊、缺角等,可以透過陶瓷貼片包覆而改善本來的牙齒形狀,並達到更和諧的牙齒比例。
優良的陶瓷貼片美觀、不死白,有自然牙的透光性,能同時達到牙齒美白、調整形狀的作法。
全陶瓷材質的陶瓷貼片不易變色或染色,搭配正確的保養,能長久維持陶瓷貼片的效果。
陶瓷貼片裝戴前,僅需進行牙齒微量修磨,盡量保留最多完整齒質。
提供1年保固方案,保固期間限每半年定期回診檢查。
陶瓷貼片療程的當天通常會上局部麻醉,因此過程中幾乎不會疼痛。
常見的不適則是在看診期間的張口不動、嘴唇偶爾會有破皮,以及長時間躺著不動也可能有的人會臉頰及肩頸痠痛;剛裝戴完成陶瓷貼片,牙肉可能會有輕微的腫脹,通常會在數天內恢復及適應。
陶瓷貼片需要修磨的量是要看牙齒本身的排列、形狀、蛀牙大小、以及你想要的設計。普遍陶瓷貼片僅需 0.3 到 0.5 毫米的修磨量,就有足夠的強度,並且讓牙齒美白 2 到 3 個色階,對大部分的人來說都是足夠的。
但是當牙齒排列越不好,通常需要磨牙齒的量越多,因此排列不整首要選擇仍是牙齒矯正。另外蛀牙越大,為了包覆蛀牙以免再次蛀牙,有時修磨量也會較多,建議與醫師諮詢合適的治療方案。
或許有的人會看到藝人、網紅的的牙齒都很白,但牙齒並非天生就那麼白,一般亞洲人的牙齒很難跟西方人一樣,而要讓牙齒白得自然好看,需要有一定的漸層與透明感,整體看起來會更和諧與舒服,不會看過去一片死白。
以前的黏著劑較容易變色,但現在的黏著劑幾乎沒有這個問題。反而是真牙會隨著年紀變黃、變暗沉,食用的東西也會造成真牙的染色,但陶瓷表面光滑,色素不易附著,因此久了以後才容易會有色差喔!
此外陶瓷表⾯是非常光滑,沒有⽑細孔,再怎樣都比真牙不易染⾊,非常容易維持,通常只有極重度的咖啡及茶飲者或是抽煙者,才有機會被染⾊。
陶瓷貼片使用特別留意避免陶瓷破裂及蛀牙情況。