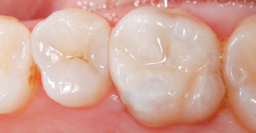
微創齒雕是新式補綴技術,醫師利用口內取模,送至專業技工所雕琢出與牙齒缺損部分大小相同的全瓷修復物。
微創齒雕硬度高,顏色自然美觀,而且可以盡量保留好的牙齒結構,是目前最為理想的牙齒補綴技術。

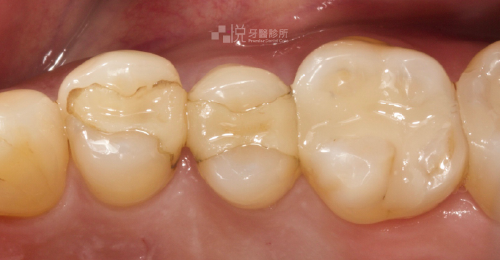
最常見的健保補牙方式是「複合樹脂」,填補顏色較接近牙齒顏色,但複合樹脂在補牙後容易產生縫隙,細菌會侵入先前的蛀洞,若未清潔確實,可能導致二次蛀牙。
早年補牙會使用「銀粉」,銀粉填補後會因為汞離子的釋放,而讓補牙處漸漸變黑,銀粉無法和牙齒真正密合,容易有膨脹問題,可能造成牙齒結構的破壞,並且對於銀粉是否有人體毒性仍未有定論,部分歐洲國家已禁止使用銀粉。
| 微創齒雕 | 複合樹脂 | 銀粉 | |
| 外觀 | 像真牙 | 接近牙齒顏色 | 銀色不美觀 |
| 強度 | 優 | 稍差 | 佳 |
| 密合度 | 優 | 稍差 | 適中 |
| 特性 |
|
|
|
微創齒雕屬全陶瓷材質,不含金屬成分,生物相容性高。
微創齒雕密合度高、耐用度高、穩定性高。
透過電腦設計,將瓷塊切割所需牙齒修復的樣子,對自然牙磨耗程度低,能保留較多齒質,依照缺損處訂製微創齒雕。
色澤自然又美觀,微創齒雕是目前最理想的牙齒補綴技術。
安裝微創齒雕不是完全不蛀牙,但相比傳統補牙方式,蛀牙率已大幅下降,因為微創齒雕使用全陶瓷材質,有密合度高、硬度佳,且表面光滑也不利於細菌附著及生長的特性,能有效降低二次蛀牙的發生。
不過,再好的材料也需要搭配正確潔牙方式(包含使用牙線),並定期回診檢查,使微創齒雕能用得更久更安心喔!
微創齒雕的「微創」兩個字,是指此治療方式可以保存較多牙齒,相較於傳統假牙,微創齒雕最多可以多保存 50% 以上的牙齒結構。
微創齒雕在設計得宜的情況下,十年成功率與假牙差不多,約有 85-90% 的成功率,且牙齒若遭受撞擊,或真的咬到非常硬的東西而裂掉,假牙比較容易往牙根斷裂,變成必須植牙,而微創齒雕比較有機會斷在牙冠,有更高的機會可以再做一次微創齒雕,或進一步做成假牙,比較不會直接變成要拔掉植牙,因此整體而言,可以延長牙齒的總壽命。