常見牙齒美白類型

冷光美白

冷光美白又稱為快速美白,是透過冷光加速過氧化氫釋放自由基,在牙醫診所進行約 1 小時療程,即可立即達到強效美白的成果。

 

居家美白

在診所製作客製化的美白牙托,在家依照醫師指示自行添加美白藥劑至牙托,相對於冷光美白較溫和,並於睡眠時配戴,持續配戴 2 至 3 周會有顯著變化,需定期回診追蹤。

 

噴砂美白

牙醫師透過高壓氣流將碳酸氫鈉噴至牙齒表面,有效快速清除外染性色素分子。尤其適合有檳榔垢茶垢菸垢等表面染色。

 

冷光美白 ✦ 流程

❶ 醫師評估與口腔檢查 ❶ 醫師評估與口腔檢查

❶ 醫師評估與口腔檢查

❷ 牙齒比色、拍攝口內照片、量化美白效果 ❷ 牙齒比色、拍攝口內照片、量化美白效果

❷ 牙齒比色、拍攝口內照片、量化美白效果

❸ 塗牙齦保護劑 ❸ 塗牙齦保護劑

❸ 塗牙齦保護劑

❹ 開始進行冷光美白(約 1 小時) ❹ 開始進行冷光美白(約 1 小時)

❹ 開始進行冷光美白(約 1 小時)

冷光美白 ✦ 特點

冷光美白的優缺點

  • 優點:一次立即見效
  • 缺點:費用相對其他牙齒美白療程較高

冷光美白注意事項

受個人體質影響,某些人可能暫時性牙齒敏感現象,多半數日會好轉。不建議找坊間美齒店進行,冷光美白屬醫療行為,須由醫師親自操作。

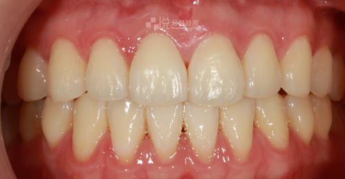
冷光美白 ✦ 案例

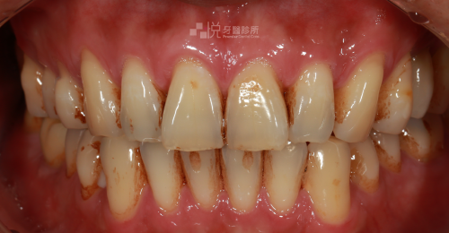
Before
Before
After
After
案例提供|蘇裕隆醫師
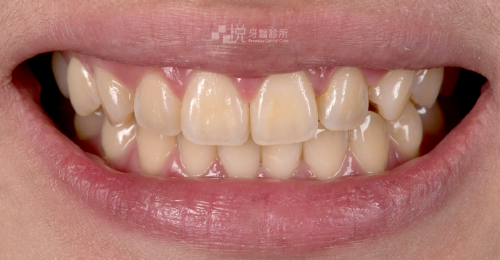
Before
Before
After
After
案例提供|趙子睿醫師

居家美白 ● 流程

❶ 醫師評估,取模製作全客製化個人美白牙托 ❶ 醫師評估,取模製作全客製化個人美白牙托

❶ 醫師評估,取模製作全客製化個人美白牙托

❷ 由醫師親自教學說明美白藥劑、美白牙托的操作 ❷ 由醫師親自教學說明美白藥劑、美白牙托的操作

❷ 由醫師親自教學說明美白藥劑、美白牙托的操作

❸ 搭配醫師指示,自行在家配戴並定期回診追蹤美白成效 ❸ 搭配醫師指示,自行在家配戴並定期回診追蹤美白成效

❸ 搭配醫師指示,自行在家配戴並定期回診追蹤美白成效

居家美白 ● 特點

居家美白的優缺點

  • 優點:屬於較溫和的美白方式、相對冷光美白費用低
  • 缺點:約需 2 到 3 週會有較顯著的美白成效

居家美白注意事項

依照醫師指示自行操作進行,一般會建議於夜間睡眠時配戴美白牙托,若使用期間有牙齒敏感,可暫緩使用,依個人情況適度調整居家美白使用

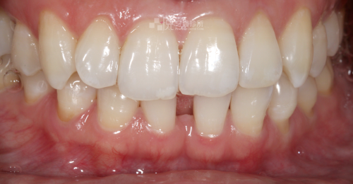
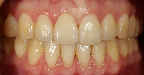
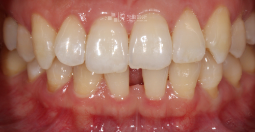
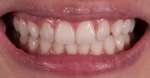
居家美白 ● 案例

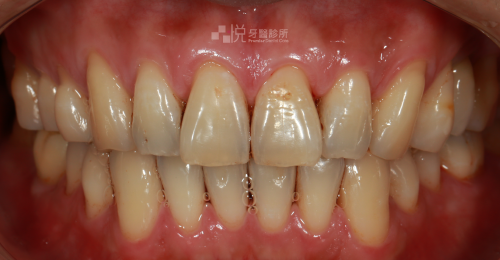
Before
Before
After
After
案例提供|林家丞醫師
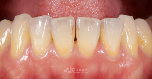
Before
Before
After
After
案例提供|林家丞醫師

噴砂美白 ▲ 流程

❶ 醫師評估是否符合噴砂美白的條件 ❶ 醫師評估是否符合噴砂美白的條件

❶ 醫師評估是否符合噴砂美白的條件

❷ 進行噴砂美白,透過高壓氣流將碳酸氫鈉噴至牙齒表面 ❷ 進行噴砂美白,透過高壓氣流將碳酸氫鈉噴至牙齒表面

❷ 進行噴砂美白,透過高壓氣流將碳酸氫鈉噴至牙齒表面

❸ 完成後進行牙齒拋光,建議保持良好口腔習慣,能維持更久的效果 ❸ 完成後進行牙齒拋光,建議保持良好口腔習慣,能維持更久的效果

❸ 完成後進行牙齒拋光,建議保持良好口腔習慣,能維持更久的效果

噴砂美白 ▲ 特點

噴砂美白優缺點

  • 優點:費用相對更便宜,當次立即見效
  • 缺點:僅恢復牙齒表面顏色,較無明顯提升牙齒美白效果,僅限於清除菸垢、檳榔垢、茶垢

噴砂美白注意事項

噴砂美白後避免持續性抽菸、吃檳榔等,噴砂美白效果並非永久性效果,容易因個人飲食或生活習慣而影響,建議有需求的人定期進行噴砂美白。

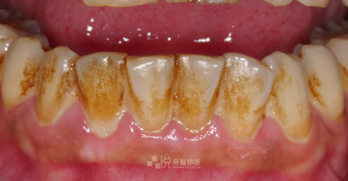
噴砂美白 ▲ 案例

Before
Before
After
After
案例提供|徐逸竹醫師
Before
Before
After
After
案例提供|林家丞醫師

先進行噴砂美白去除菸垢後,再進行冷光美白。

牙齒美白方案比較表格

冷光美白 居家美白 噴砂美白
療程時間

約 1 到 1.5 小時

約 1 到 2 月

約 30 分鐘

提升色階

約 5-7 階

約 5-7 階

清除表面染色

特色

美白快速立即見效

美白簡單溫和有效

適合表面有菸垢、檳榔垢、茶垢等表面染色

牙齒美白常見問答

Q:為什麼牙齒會變黃?

牙齒會變黃的主要是「外因性」、「內因性」兩個成因。

  • 外因性:指色素分子沉積在牙齒表面,像是咖啡、茶、菸等等,這些色素分子,一開始可以透過刷牙清除,但隨著時間累積,這些色素分子會越來越黑、且越來越難移除,甚至需要透過牙齒美白才能清除。
  • ​內因性:主要是色素分子造成較深層的內部染色、或是牙齒缺陷,屬於牙齒內部染色,沒辦法透過潔牙改善,像是四環黴素染色、過多氟的攝取、齲齒等,必須透過牙齒美白療程來改善。

Q:牙齒美白後可以維持多久?

一般來說,冷光美白與居家美白的療程,能維持 2 到 3 年的牙齒美白效果,若能維持良好的口腔衛生,減少咖啡、茶、菸、深色食物的使用,能夠更加延長時效。

Q:為什麼牙齒美白要在牙醫診所?

  • 醫師評估評估與追蹤
    由醫師評估患者狀況(如有牙齦發炎、敏感性牙齒、美觀區有假牙或補牙等是否能進行牙齒美白),並診斷牙齒染色原因,訂出合適的美白療程,透過專業比色機,可量化美白效果
  • 提升美白牙齒的效果、副作用降到最低
    在診所進行客製化療程,提升美白效果,更能將美白副作用降到最低。
    冷光美白透過橡皮隔障,可以降低牙齒美白對牙齦的刺激居家美白製作客製化美白牙托,有助於牙齒均勻染色,減少牙齒美白藥劑對牙齦的刺激。
  • 市售美白牙齒商品疑慮
    長期使用美白牙膏、美白牙粉,容易磨耗牙齒,造成牙齒表面磨損,導致容易產生永久性牙齒敏感;美白牙貼、美白筆無法完整包覆牙齦與保護牙齦,容易有美白不均勻,並刺激牙齦發炎

Q:什麼人不適合牙齒美白嗎?

較不適合牙齒美白的情況:

  • 牙齦發炎
    若原先牙齦不健康,會先建議維持好口腔健康,避免因美白藥劑影響,刺激牙齦而造成牙齦灼傷與牙齦漂白。
  • 敏感性牙齒
    牙齒美白可能會併發短暫牙齒敏感,若本身有嚴重牙齒敏感患者,建議要由醫師評估牙齒美白的時機與方法,以減少後續美白藥劑對牙齒的刺激。
  • 懷孕或哺乳期間
    目前沒有研究能夠證實懷孕與哺乳期間進行牙齒美是否安全,過氧化物可能透過循環系統影響胎兒或乳汁,可能有不可預期的風險,因此美國牙醫學會建議在懷孕或哺乳期盡量避免進行牙齒美白
  • 許多補牙
    由於美白藥劑對補牙材料的美白效果不佳,若本身有許多補牙,容易在牙齒美白後將補牙顯得特別明顯。另有研究指出,美白藥劑可能會影響補牙材料,會增加補牙周邊再次蛀牙的機會發生。
  • 美觀區有許多贋復牙冠(假牙)
    美白藥劑對贋復牙冠(假牙)的美白效果不佳,因此在美觀區有贋復牙冠(假牙),容易在美白牙齒後顯得特別明顯。