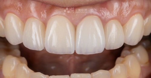
以一句話最簡單來說:「全瓷冠是整顆假牙完全不含有任何金屬成份,全部由陶瓷製成的假牙。」
全瓷冠假牙有分為玻璃陶瓷及二氧化鋯,中間不需要接合金屬材料,具有極高的美觀性。
玻璃陶瓷通常是用壓鑄法(跟金屬鑄造作法類似);二氧化鋯是用電腦切割的,二氧化鋯是人工鑽石的材料,硬度甚至比金屬還硬,適用於大部分的口腔情況。

相對金屬假牙、金屬陶瓷假牙來說,全瓷冠假牙內完全沒有金屬成分、不會有金屬異味、不腐蝕、不因冷熱食物的交替而刺激牙髓神經,全瓷冠假牙不會出現牙齦染黑的痕跡,全瓷冠假牙擁有極佳的生物相容性,若想挑選一顆漂亮又耐用的假牙,近年來全瓷冠逐漸成為民眾挑選假牙材質的理想選擇。
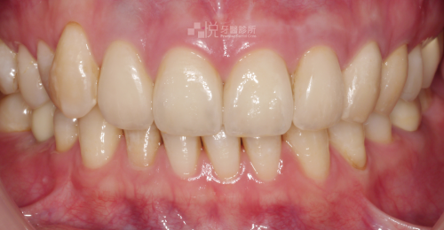
金屬合金通常是使用鉻鈦合金或貴金屬製成。金屬合金的優點包括耐用性強、強度高,可以承受咀嚼壓力;也可以在咬合空間不足,牙齒很短的情況下使用,以及部分金屬假牙製作費用相對全瓷冠假牙更低一些。
但金屬假牙因金屬顏色不美觀外,金屬假牙當中的鎳、鉻成分可能對牙齦造成過敏刺激,並且數年後容易造成牙齦染色,看起來灰灰黑黑的。
為了改善金屬假牙不美觀的缺點,金屬陶瓷假牙是將薄薄一層白色的陶瓷,利用高溫高壓的方式燒附在金屬上,遮住底下金屬的顏色,因為是兩層的結構,也需要修磨較多的牙齒。
雖然比起金屬假牙更為美觀,但由於陶瓷層較薄,長期接受咬合力下,容易導致陶瓷破損的狀況,也可能在使用數年後因牙齦萎縮,而露出金屬的黑色邊緣,以及會有牙齦染色問題,讓牙齦而看起來灰灰黑黑的,現在以多被全瓷冠假牙做取代。
| 全瓷冠假牙 | 金屬假牙 / 金屬陶瓷假牙 | |
| 密合度 | 較佳 | 較差 |
| 硬度 | 較佳 | 較差 |
| 是否過敏 | 極低,生物相容性佳 | 鎳、鉻容易造成過敏 |
| 外觀 | 美觀,接近自然牙 | 金屬假牙不美觀 金屬陶瓷假牙外層較死白 |
| 費用 | 較高 | 較低 |
全陶瓷材質(內無金屬材質),不易造成過敏,生物相容性高。
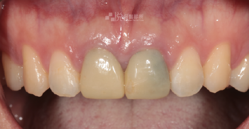
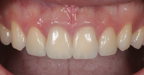
全瓷冠假牙美觀極佳、色澤自然。
全瓷冠假牙長久使用下,即使牙齦萎縮邊緣露出,美觀較不受影響。
全瓷冠假牙清潔與保養相對容易,日常維護也更省心。
提供3年或5年保固方案,全瓷冠假牙保固期間限每半年定期回診檢查。
根管治療後建議配戴假牙的原因主要有三個:
當牙齒在磨小的期間到正式假牙製作完成中會有空窗期,在這段時間為了保護剩下的齒質,再者臨時假牙可以成為醫師、技師、患者之間的溝通橋樑,所以臨時假牙是很重要的。
臨時假牙的重要作用:
臨時假牙脫落是蠻常發生的事,不用太緊張,請妥善保存已脫落的臨時假牙,並與診所聯繫安排回診檢查將臨時假牙黏回。
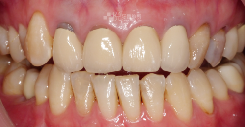
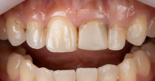
含有金屬的假牙可能因為牙齦萎縮、黑邊外露,也容易因為金屬游離產生牙齦變黑等情形,而會影響美觀,也是大家近年來多半選擇全瓷冠假牙,比較少選金屬瓷牙的原因之一。
目前全瓷冠的十年成功率大約八到九成,也就是一顆假牙,預估是要用十年、二十年,甚至三十年以上。
前提是假牙下方的牙根、牙髓、牙周是健康的,自己更勤於維護口腔良好清潔,就能讓假牙陪你更長久喔!