隱適美(隱形矯正)

最美觀且舒適的矯正方式

隱適美可透過電腦模擬牙齒移動方向與距離,每日配戴 20 至 22 小時的全透明的數位客製化牙托,降低疼痛程度,是目前最為美觀的矯正方式

自鎖式矯正器

金屬滑蓋矯正器

自鎖式矯正器有別於傳統矯正器,不需要用橡皮筋固定矯正線,比較衛生,有內建掀蓋的設計,可減少療程中的操作時間

陶瓷矯正器

矯正器顏色接近白色,較不顯眼

陶瓷矯正器採用陶瓷材質,矯正器的顏色接近白色,相對傳統金屬矯正器較不顯眼、也較美觀。

牙齒矯正系統比較表格

矯正系統 隱適美 自鎖式矯正器 陶瓷矯正器
材質 SmartTrack 專利材質 金屬 陶瓷
美觀 中到高
舒適度
清潔 方便清潔
可於飲食與潔牙時將牙套拿下
較不便利
需搭配潔牙工具與方式
較不便利
需搭配潔牙工具與方式
費用 較高 中到高

牙齒矯正流程

❶ 矯正前資料收集(以口內掃描機建檔或傳統取模、 拍攝口內外照片及X光等) ❶ 矯正前資料收集(以口內掃描機建檔或傳統取模、 拍攝口內外照片及X光等)

❶ 矯正前資料收集(以口內掃描機建檔或傳統取模、 拍攝口內外照片及X光等)

❷ 與醫師討論矯正治療計畫(確認是否拔牙、骨釘、預估時間及費用等) ❷ 與醫師討論矯正治療計畫(確認是否拔牙、骨釘、預估時間及費用等)

❷ 與醫師討論矯正治療計畫(確認是否拔牙、骨釘、預估時間及費用等)

❸ 矯正前治療(如有蛀牙、牙周病需先治療好;如有假牙需評估更換臨時假牙) ❸ 矯正前治療(如有蛀牙、牙周病需先治療好;如有假牙需評估更換臨時假牙)

❸ 矯正前治療(如有蛀牙、牙周病需先治療好;如有假牙需評估更換臨時假牙)

❹ 開始矯正(約每 4 至 6 週回診調整,或每日按時配戴隱適美牙套) ❹ 開始矯正(約每 4 至 6 週回診調整,或每日按時配戴隱適美牙套)

❹ 開始矯正(約每 4 至 6 週回診調整,或每日按時配戴隱適美牙套)

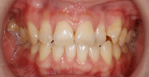
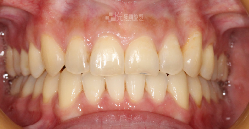
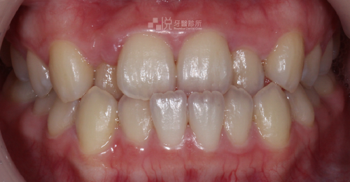
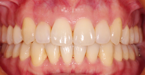
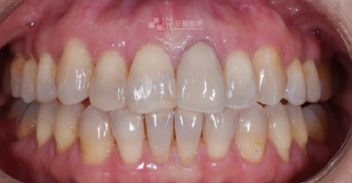
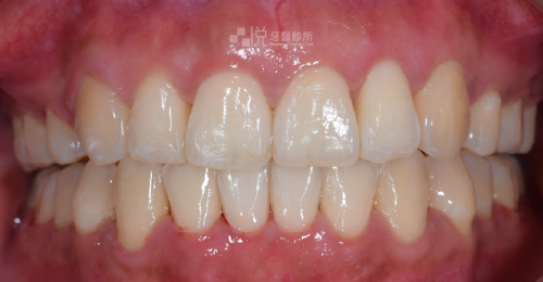
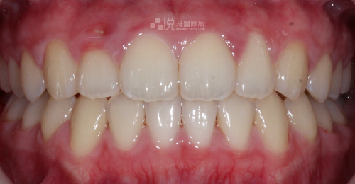
牙齒矯正案例

Before
Before
After
After
案例提供|錢怡雯醫師
Before
Before
After
After
案例提供|錢怡雯醫師
Before
Before
After
After
案例提供|李慧凌醫師
Before
Before
After
After
案例提供|李慧凌醫師

牙齒矯正常見問答

Q:聽說牙齒矯正要拔牙?打骨釘?為什麼要戴橡皮筋呢?

常見需要「矯正拔牙」的情況像是齒列擁擠程度、軟組織外觀、中線偏移許多、原本已經壞掉無法保留的牙齒,但並不是所有的人都一定需要拔牙喔!

  • 「骨釘」的功能是提供施力的固定源,幫忙拉動牙齒,通常骨釘植入點像是上下顎後牙區,牙齒槽間隔等。施打骨釘時位於齒槽骨內分布的同感神經末梢不多,在骨釘植入之前會上少量的麻藥,所以過程中不太會感覺到不適,而多數人在麻藥消退後,也不會有太明顯的疼痛感。
  • 「矯正橡皮筋」主要功用在於關閉間隙、調整中線、調整磨牙和咬合關係等,矯正期間有確實配合醫師指示配戴矯正橡皮筋,通常能加速矯正進度,能有望提早拆矯正器喔!

Q:萬一矯正器掉了、鐵線刺到嘴很痛,怎麼辦?

矯正器脫落建議盡早與診所聯繫,將脫落的矯正器黏回去,以免延誤治療進度。

當有被鐵線刺到造成口腔黏膜的破損不適,可先以「軟蠟」包覆,減少和口腔黏膜摩擦導致的潰瘍狀況,並用口內膏來塗抹口腔黏模破損的位置,能舒緩並加速傷口的復原。

  • 為什麼矯正線會刺出呢?
    矯正過程中牙齒會漸漸排列整齊,拔牙空間也會漸漸關閉,這時矯正線就會從最後一顆牙齒上的矯正器稍微突出去,可使用軟蠟將突出去的線尾包起來,之後再安排回診所做後續處理。

Q:隱形矯正價差大,為什麼隱適美比較貴?誰適合隱適美呢?

  • 隱適美牙套有專利材質製造,較他牌牙套柔軟有彈性,為牙套提供輕柔而持續的力量,以獨家力學系統設計更有效率的牙套(經美國 FDA 認證以及台灣 TFDA 許可,正式登記第二等級醫療器材)。
  • 每副牙套都是配合個人的牙齦線量身定做,提供最佳舒適度,累積超過 1400 萬筆真實使用者數據(全台最多醫師選用)。