牙科美學樹脂並非是單一的一種材料,或者技術的專有名稱。所謂的高階美學樹脂補牙是基於恢復缺損牙齒的健康、功能以及外觀而發展出的概念。
相對於傳統填補只是把填滿缺損,高階美學樹脂補牙是在補牙材料的選擇上會盡量利用生物相容性良好的材料,減少對周邊組織的不良影響。
形態上則力求恢復牙齒原本應有的樣貌,來獲得好的咀嚼及運動導引功能,也避免不良外型造成清潔的困難。顏色上則選用多種不同透明度和色彩的樹脂,分層堆築來模擬自然牙應有的色彩多樣性。

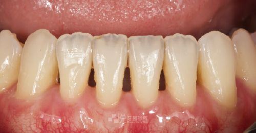
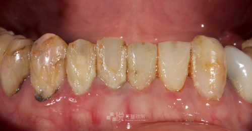
當蛀牙或舊有填補因老化、染色或滲漏而需要移除時,若剩餘牙齒結構還足夠,高階美學樹脂補牙是個良好的方式。
牙縫過⼤的情況,透過高階美學樹脂補牙是非常適合的適應症。
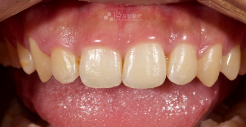
會考量到牙齒正常的長寬比例,所以有可能針對牙齒的長度做改變,例如修整牙齦或切端增長。
牙縫黑三角以高階美學樹脂補牙的方式,相較於陶瓷貼片或全瓷冠假牙來說,可以做得非常保守,幾乎不⽤修磨牙齒。
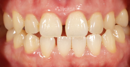
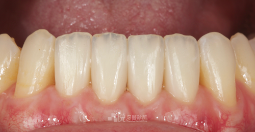
透過高階美學樹脂補牙後,會讓牙齒整體型態變得比較方正。
變色脫鈣的牙齒在修復上有兩種建議處理⽅法:
牙齒因外傷斷裂時,高階美學樹脂補牙可以快速的恢復牙齒型態,重建基本的美觀和發⾳咀嚼功能。
這類案例因為牙髓活性需要追蹤一段時間,有時高階美學樹脂補牙會當作暫時性的修復物。
完整移除蛀牙、表面徹底清潔,以確保高階美學樹脂補牙的黏著成功率。
能模擬出自然牙的特殊光學效果,並且延長高階美學樹脂補牙使用的時間。
當有破裂或缺損時,高階美學樹脂補牙可直接在口內做局部修復。
提供半年保固方案,保固期間每三個月定期回診拋光不收取費用。
一般的健保補牙主要是移除蛀牙和恢復功能,就像修補破掉的衣服讓衣服能繼續使用。相較之下,高階美學樹脂補牙更像是量身訂做的高級服裝,不只是修補,更還原了牙齒應有的外型和顏色。
而高階美學樹脂補牙的材料性質優秀,像是使用高檔的布料,所以耐用度和美觀度自然大幅提升。在嚴謹完整的步驟及醫師巧手的精心處理之後,高階美學樹脂補牙的成果可以做到讓人完全看不出破綻,令人驚豔。
高階美學樹脂是否變色,是因人而異,主要的因素是「口內清潔與保養」,做到正確的牙齒保養與清潔是影響維持高階美學樹脂的關鍵喔!
保養高階美學樹脂補牙的重點: