👨⚕️蘇湖醫師:「 好,拔牙的傷口恢復得很好喔,那我們要準備開始重建缺牙的地方了。」
🙋♀️患者:「 蘇湖醫師,我… 很怕痛,一痛就會血壓高、很怕打麻藥暈針過好幾次、不想修磨牙齒,覺得好好的牙齒為什麼要修成小小的很奇怪,加上最近要報稅了預算沒有那麼多,害怕手術所以不想植牙,最後工作很忙沒有太多時間能夠來處理牙齒問題。醫師,那你覺得我的缺牙要怎麼處裡比較好 ?」
👨⚕️蘇湖醫師:「(回過神)我覺得你可能要再慢慢地說一遍 ⋯」
在我的日常門診裡,以上的眾多理由大概天天都會聽到,我懂。要好要快要不痛要便宜是人的天性,我也很希望有這麼好的事情,但實情就是 …
欸,等等 !
還真的有那麼一種 比較快、比較不痛、費用相對低,而且美觀上也不差的缺牙重建方式,就是所謂的 「黏著式牙橋」。
🙋♀️患者:「甚麼 ~~沒想到現在牙醫的技術水平已經進步到這種地步了~~~」
👨⚕️蘇湖醫師:「 其實這種牙橋的設計,源自於1981 年美國馬里蘭大學的 Dr. Von Thompson 所提出,是一個比我還要 old school 的技術了。」
🙋♀️患者:「蘇湖醫師,你可以幫我說明多一點嗎?我決定要用這種『黏著式牙橋』的方式了! 」

所謂的黏著式牙橋(亦稱「馬利蘭牙橋」),是一種「把缺牙區域的假牙藉由金屬或陶瓷支架黏著在鄰近牙齒的內側」 的牙橋設計。
相較於傳統的牙橋或是懸臂牙橋而言,馬利蘭牙橋對於支撐的牙齒真的是超 ~~~ 級友善的。極少量的修磨(或甚至不修磨牙齒)意味著保留了完整的牙齒結構,因此保留了牙齒的強度也減少牙髓出問題的機率。
不修牙齒?這樣薄薄一片的支撐黏得住嗎?
在很久很久以前,馬利蘭牙橋並非不用修磨牙齒的,只是修磨的量比較少而已。而且為了讓薄薄的支架能夠更穩定的貼合黏著在牙齒表面,在修磨的時候還需要做出一些特殊的溝槽或小窩洞,這樣才能夠降低脫落的機會。
但是,隨著材料學的進展以及陶瓷黏著技術的,現在我們能夠做到最保守的牙齒修磨(甚至不修磨),也能夠牢牢地把馬利蘭牙橋的陶瓷支架固定在牙齒上。
真的那麼神奇?!那為什麼很少聽到這種做法?
正如我前面提到,馬利蘭牙橋是利用「純」黏著劑固定的方式,也就是幾乎不靠任何其他牙齒修磨的設計來增加固位性,所以長時間在口腔環境的摧殘之下,馬利蘭牙橋還是有脫落的風險。
因此在選擇使用的時機時,牙橋放置區域的受力就會是我主要考量。最好是能夠符合以下的條件,我才會選用馬利蘭牙橋。

在我們的口腔裡,前牙僅負責切斷和撕裂食物,真正的咀嚼研磨的工作是由後方的小臼齒和大臼齒來執行。所以上下顎前牙一般來說是咬合力比較輕的區域,馬利蘭牙橋放置在前牙的位置脫落的風險是比較低的。
馬利蘭牙橋僅適合於前牙缺牙的咬合力較輕的位置,若有後牙缺牙無法以馬利蘭牙橋治療。
雖然我們說前牙是咬合力相對小的區域,但那是指正常狀況而言。如果牙齒的排列狀況是上排前牙覆蓋下排前牙超過大約 5mm 的話,我們就會認為這是深咬的情形。
深咬的牙齒受力會比較大,所以如果有這個狀況也不是很適合利用馬利蘭牙橋來重建缺牙。
不良的口腔習慣比深咬的狀況更令人害怕,因為深咬的問題我們還能夠藉由調整牙橋的外型咬合和給予一些保護裝置來保護牙橋,但不良的口腔習慣卻是防不勝防,而且力量之大是每個牙醫師聽了都會嚇到吃手手的那種。
所以不良的口腔習慣,例如:夜間磨牙、咬牙切齒、咬硬物、吃檳榔……等等,這些是 非!常!不!適!合! 以馬利蘭牙橋來重建缺牙的
想像一下,如果今天你的後方大臼齒缺牙很嚴重,你要怎麼吃東西呢?
登登登登登 ~ 答案就是,用前牙咀嚼研磨。沒錯!後牙咬合不健全的狀況,會導致前牙需要負擔更多的咀嚼功能,這樣就是增加了咬合力,讓馬利蘭牙橋脫落的風險大增。
所以遇到這種狀況時,我的建議是前牙先用任何形式的臨時假牙去暫時恢復外觀功能,把治療的重心放在後牙的重建,先求能夠好好的咀嚼,再來修復其他的問題。
如文章開頭提到的,因為馬利蘭牙橋是一種保守的治療方式,對缺牙區域兩側的牙齒相對「友善」。如果兩側的牙齒結構沒有什麼太大的缺損,不需要額外的假牙保護的時候,這時馬利蘭牙橋就是一個適合的方法。
即便今天缺牙區域我將來預計要做植牙,再等待植牙假牙完成之前的階段,也可以利用馬利蘭牙橋的方式來製作臨時假牙,度過那一段尷尬的缺牙時光。
另外順帶一提,因為馬利蘭牙橋「必須」黏著在鄰近牙齒表面的牙釉質,所以如果兩側的牙齒是假牙冠的話,那也是不適合製作的喔。
什麼?!居然還有牙醫會覺得有不適合植牙的地方?一般不是都希望患者植好植滿的嗎?
NONONO,這你就錯了,專業的牙醫師在植牙之前會針對缺牙區做過詳細的分析和檢查。
在上顎側門牙和下額門牙側門牙等區域,因為牙齒的寬度比較小,如果牙齒缺牙空間的寬度小於植牙所需的最低寬度要求時,那植牙是不能進行的。這時候馬利蘭牙橋就是一個替代的治療方式。
以上大概就列舉一些比較適合使用馬利蘭牙橋的時機。即便如此,我還是呼籲各位不要白目到去跟你的牙醫爭論:「那個某某某醫師在網路上的文章寫說我這個是可以用馬利蘭牙橋的」,這樣會害我黑掉 😂。
臨床情況千百種,還是以牙醫師評估過口腔綜合情況以後做出的的專業判斷為主喔。
延伸閱讀:缺牙有影響嗎?人工植牙、傳統牙橋、活動假牙優缺點大評比
以下拿一個案例來跟大家說明
阿婷是我門診的常客,為什麼這樣說呢?
因為他對牙齒治療的想法一直以來都是哪裡出問題了才處理哪邊,口腔內有好多潛藏高風險的狀況,即便我每次看診每次唸,他仍然是一副「我就拖到出問題再來治療,沒出問題我就是賺到」的心態 😂

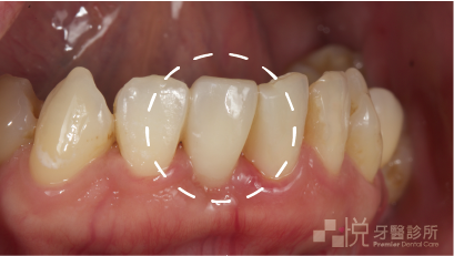
噹噹噹 ~ 沒過多久果然牙齒又出問題了,這次的主角是一顆下顎門牙。和以往不同的事,先前幾次的問題結局都是喜劇,牙齒經過辛苦治療後最終保留下來皆大歡喜,但這次直接悲劇 … 這顆悲慘的下顎門牙咬到鐵筷,X光片上明顯到不行的大裂痕和搖搖欲墜的假牙冠宣布了它提早壽終正寢,只能走向拔牙的大結局。

拔牙了,然後呢?
當然是不能這樣就讓阿婷就這樣回去啊,下顎門牙這麼明顯的一個缺口,沒有一個門面之前阿婷是穩妥妥的黏在我的治療椅上了。
拿出我們在拔牙前就預先準備好的「臨時馬利蘭牙橋」,將兩側牙齒清潔乾淨酸蝕好之後,再將臨時牙橋黏上去就大功告成了。
誒 ~ 怎麼比原本的假牙還好看。

臨時馬利蘭牙橋中看但是不中用,所以我千叮嚀萬交代回去絕!對!不!可!以!用門牙啃東西吃,食物要放到側邊的牙齒咀嚼。阿婷可能這次也嚇到了,所以非常遵守我的醫囑,於是這組臨時牙橋相安無事的度過了拔牙傷口的恢復期。
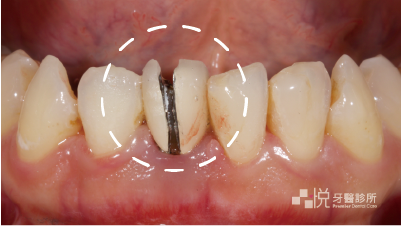
傷口恢復的期間,我們也針對了牙齒狀況重新做了一次討論。因為他未來有要做矯正的打算,所以在這個時候植牙重建不會是一個適合的方式。再考量到兩側的牙齒結構大致上還算完整,我向他建議了馬利蘭牙橋這種相對很保守的缺牙重建方式。
接下來,我開始調整臨時馬利蘭牙橋的型態,結此來引導缺牙區域的牙齦外型恢復得更自然。等到牙齦及牙齒的外型功能健康性都穩定後,就是正式馬利蘭牙橋製作的部分啦。
馬利蘭牙橋黏著上去以後,誒?怎麼感覺好像還差了一點點?
原來是阿婷看了看鏡子,覺得黑三角縫的部分太大了。

沒關係,我們藉由美學樹脂填補的方式,不只縮小了黑三角縫,也修正了舊有填補物顏色稍為沒那麼理想的小缺憾。



治療完成後我再三叮嚀阿婷後續要定期半年按時回來檢查追蹤,然後也要存錢準備矯正了。雖然我這樣一直碎唸他應該覺得很囉唆,但是忠言逆耳是真的,希望這次他是真的有聽進去 😂


總結一下,馬利蘭牙橋是一種很保守的前牙缺牙修復方式,在條件適合的情況下,也可以達到非常棒的重建效果。面對某些條件不適合植牙或做牙橋的缺牙空間,這可能是患者的另外一種治療選擇。
※聲明:文章為醫師的經驗談,每人口腔情形盡不相同,如有不適儘早就醫檢查才是正解