乳牙Q&A:幾歲換牙/恆牙長歪/乳牙蛀牙/溝隙封填/空間維持器

撰文:徐逸竹 醫師

瀏覽次數: 16,638 次瀏覽
兒童換牙順序和幾歲換乳牙

關於乳牙換牙,平均來說大約幼稚園大班到國小一年級的時候會開始長牙換牙,也就是家長可能會發現除了 20 顆乳牙齒列外,後方開始冒出白白的牙齒正在努力地突破牙肉;或是前排的牙齒開始有些微晃動的狀況。

這代表小朋友開始要進入混和齒列階段,同時有乳牙和恆牙於口內,此時會遇到什麼狀況呢?乳牙換牙有什麼地方需要特別注意的呢?

本文同步授權刊登於:關鍵評論網

兒童乳牙換恆齒的順序及潔牙重要性

乳牙換牙時,刷牙不能鬆懈

幼稚園階段,大部分家長都會認真地幫忙小朋友刷,以為升小學乳牙換牙後終於可以不用再做這麼麻煩的事了,但其實蛀牙就是這樣來的,因為小朋友不可能瞬間就學會把牙齒刷乾淨。

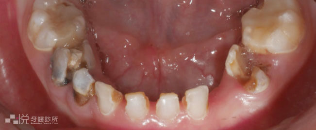
新竹兒童下顎嚴重蛀牙
因未能好好潔牙而有兒童嚴重蛀牙
(案例提供:竹北品悅牙醫 徐逸竹醫師)

家長循序漸進讓孩子自己學會刷牙

乳牙換牙期間,會建議循序漸進地減少家長的工作,在三年級前都還是要小朋友刷一次,家長刷一次;等到三年級後家長才正式退居為監督的角色。

同樣的牙線含氟牙膏,跟定期牙齒檢查一樣不能少

並且需要特別注意小朋友第一大臼齒的清潔,會長在小朋友口腔最後面,常常是被忽略的邊緣族群,恆牙才剛長出來就因為疏於照顧而蛀牙

兒童換牙順序第一顆為第一大臼齒
長在乳牙最後面的恆齒
(案例提供:竹北品悅牙醫 徐逸竹醫師)

乳牙換牙順序和年齡

在診間常會遇到家長詢問說:「同班的誰誰誰已經換好多顆了,為什麼自己的小朋友牙齒一顆都不搖呢?」

先和各位家長說:「兒童換牙順序、年齡每個人不同喔!」

其實各位家長不用太著急,牙醫師會先照環口全景 X 光片 (Panoramic x-ray),確認有無缺牙的狀況,若無,乳牙換牙其實如同身高一般,每個人的生長年齡發育本來就不盡相同

就換牙順序來說,統計上是從下排正中門牙開始換,之後有可能依序往後換,有些乳牙換牙也可能跳著換。

兒童乳牙與恆牙的全口X光片
兒童換牙期間的牙齒檢查全口X光片
(案例提供:竹北品悅牙醫 徐逸竹醫師)

乳牙已經掉了,恆牙怎麼還沒長出來?

另外,家長會詢問的狀況就是:「乳牙掉了好久,恆牙遲遲不長出來?

一般來說乳牙牙根吸收掉落到恆牙萌發長出有可能是需要 6 個月左右的時間。

所以若是超過半年之久,就會建議要評估是否積極介入處理,是否因為牙肉組織纖維太厚,或是有牙根卡住的狀況發生。

延伸閱讀:有學齡前幼兒必看:何時看牙?十字固定法刷牙?牙膏挑選及用量?

雙排牙不用著急與牙齒長歪無關

另一個乳牙換牙期常見的狀況就是有雙排牙的發生,像鯊魚齒一樣,特別容易發生在下排前牙

家長最常問的就是: 「恆牙冒頭了,乳牙需不需要趕快拔掉,會不會造成他牙齒歪掉? 」

但其實牙齒會不會歪掉,七分天註定三分靠努力。牙齒會不會長歪通常基因為主要掌控權。無論空間夠不夠的人都有可能會發生雙排牙的現象,這其實是下顎前牙萌發的自然過程

兒童乳牙換牙過渡期的雙排牙照片,乳牙掉不下來,恆牙長不出來
雙排牙又稱為鯊魚牙,乳牙尚未掉落,恆牙剛冒出頭。
(案例提供:竹北品悅牙醫 徐逸竹醫師)

長期研究指出拔牙或不拔並不會影響日後牙齒的排列,等到乳牙掉了,恆牙會因為舌頭的推擠,再加上顎骨向外生長,自動歸位。

且如果本來乳牙就排列擁擠、空間不夠又因為擔心雙排牙而提早拔掉乳牙,反而是會增加空間流失的機會喔!所以家長們就放過不想要因雙排牙拔牙的小朋友吧,減少對牙科恐懼以及不必要的治療!通常醫生會建議定期追蹤,且多吃一點需要咀嚼的食物,啃啃玉米或芭樂。

但是有些狀況還是會建議帶來診評估處理,像是乳牙完全不搖恆牙已經長得跟乳牙一樣高了或是雙排牙發生在除了下排前牙以外的地方

國小生施作窩溝封填,降低蛀牙風險

國健署為降低我國蛀牙率,預防蛀牙,有補助國小一到六年級(國小一年級且滿 6 歲,國小六年級且未滿12歲)施作第一大臼齒窩溝封填(又稱為溝隙封填),也就是之前所述會長在乳牙後方要特別注意清潔的恆牙。

兒童換牙後施作窩溝封填
溝隙封填(窩溝封填)可有效預防寶貴的恆牙蛀牙
(案例提供:竹北品悅牙醫 徐逸竹醫師)

溝隙封填是什麼?

溝隙封填是在牙齒的型態在咀嚼的那面,也就是咬合面,會有深淺不一的溝,每個人的牙齒型態不同,許多人的溝縫是倒三角形的,也就是食物渣渣或色素粒子很容易卡在倒凹裡面刷牙是刷不出來的,增加蛀牙的風險。

所以在進行溝隙封填前,牙醫師會將牙齒清乾淨,在溝縫內填入特殊材料,降低蛀牙機率

兒童換牙後施作溝隙封填
溝隙封填(窩溝封填)可有效預防蛀牙,乳牙蛀牙也會影響到恆牙的發育喔!
(案例提供:竹北品悅牙醫 徐逸竹醫師)

另外要特別注意的是,許多小朋友的乳臼齒也是有相同的狀況,且這些乳臼齒大部分都要到小學五年級左右才會換牙,所以經牙醫師評估後也可能會建議施作乳臼齒的窩溝封填,但這就不在補助範圍內了。

重要的是做完窩溝封填還是要認真潔牙,定期追蹤,一樣不能馬虎喔!

乳牙換牙期間蛀牙,該怎麼辦?

乳牙嚴重蛀牙不能用補牙的嗎?

「為什麼乳牙蛀牙不能用補的就好?」這應該是許多家長的疑問。
有些小的蛀牙可以用補的,但有些因為範圍延伸較大或是多面蛀牙,補的強度不足以應付小朋友的咬力,經牙醫師評估後會建議做乳牙牙套給予全面性的保護

延伸閱讀:小小年紀嚴重蛀牙!兒童乳牙牙套必要性/種類/優缺點/影響換牙嗎?

小朋友牙套可以減少家長常常煩惱的補了又掉,掉了又補的惱人問題,並降低咬裂的風險,且因為牙套表面較光滑,也可降低牙菌斑附著的能力,方便清潔

兒童乳牙換牙期間用小鋼牙保護
乳牙蛀爛掉不可拖到等換牙,蛀牙治療後以小朋友牙套保護牙齒 。
(案例提供:竹北品悅牙醫 徐逸竹醫師)

抽過神經的牙齒就更不用說了,肯定是要給他大力的保護起來!

要特別強調的是,別擔心換牙怎麼辦,因為乳牙牙套是會隨著小朋友乳牙換牙一起脫落的,不用額外做拆除的動作。

另外在學齡期的小朋友剛好在乳牙換牙階段,若是經牙醫師評估大約半年一年左右就會換的牙齒,有可能會先補起來撐過這段過渡期。

乳牙蛀牙治療方式?孩子要照牙科X光嗎? Ft.徐逸竹醫師【品悅牙醫】

小朋友的乳牙牙套 Can Help

小朋友蛀牙的四種治療保護:

  • 兒童全瓷冠(陶瓷牙套)
  • 小鋼牙(不銹鋼牙套)
  • 兒童樹脂牙冠(樹脂牙套,適合前牙)
  • 兒童鑲面冠(內層金屬,外層高硬樹脂)
兒童乳牙蛀牙戴金屬牙套
兒童不銹鋼牙冠(俗稱小鋼牙)
(案例提供:竹北品悅牙醫 徐逸竹醫師)
兒童蛀牙使用高硬度樹脂補牙
兒童高硬樹脂鑲面冠(屬高硬度樹脂)
(案例提供:竹北品悅牙醫 徐逸竹醫師)
爸媽必看:「乳牙蛀牙影響恆牙!」 乳牙牙套材質、換牙影響、優缺點、注意事項 Ft.徐逸竹醫師【品悅牙醫】

空間維持器,給恆牙一點出路

如果蛀牙拖得太久,只剩下牙根,無法套牙套,就需要拔除爛牙,降低日後感染甚至引發蜂窩性組織炎的機會。

但拔掉嚴重蛀爛的乳牙之後,恆牙還要很久才會萌發,就會建議給予空間維持器,撐住原本乳牙佔據的空間。

兒童乳牙換牙過渡期使用空間維持器
乳牙換牙期間,使用空間維持器為未長出來的恆牙保留空間
(案例照片:竹北品悅牙醫 徐逸竹醫師提供)

不撐住缺牙空間其他牙齒便會往該空間傾倒,造成空間流失,底下的恆牙就容易卡住出不來,而衍生出其他清潔方面的困難或是需要額外的矯正治療。

空間維持器等到恆牙長出後,經醫師評估即可拆除,功成身退。

醫師的話:好牙是一輩子的禮物

小時候好的口腔照護是家長給予小朋友最大的禮物,在成長階段有便於咀嚼進食的牙齒,才能擁有良好的生長發育,乳牙是會影響恆牙的

乳牙換牙是重要的成長期

家長需有正確的觀念,給予適當的清潔幫助,降低小朋友糖分攝取,做好飲食控制,培養定期看牙的好習慣,勿因等到疼痛才就醫。讓牙醫師成為你的助力,陪伴小朋友健康成長。

孩子嚴重蛀牙又抗拒看牙,該怎麼辦? Ft.徐逸竹醫師【品悅牙醫】

※聲明:文章為醫師的經驗談,每人口腔情形盡不相同,如有不適儘早就醫檢查才是正解

徐逸竹

徐逸竹

醫師
家庭牙科
  • 台北醫學大學牙醫系
  • 台北榮民總醫院牙科部醫師
  • 台灣國際植牙醫師學會 植牙專科醫師
  • 中華民國植牙全國聯合醫學會植牙專科醫師