你有發現牙齒越來越長、牙縫變大、或是刷牙時覺得特別痠嗎?
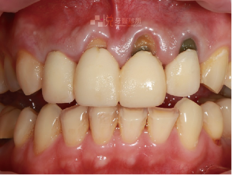
這些都可能是「牙齦萎縮」的警訊。牙齦萎縮不只是外觀問題,還會讓牙根暴露、造成敏感、甚至讓牙周狀況惡化。
這篇文章張真豪醫師會帶你了解牙齦萎縮的成因——從天生牙肉薄、刷牙太大力,到咬合壓力、矯正影響,都可能是關鍵。
也會說明牙齦一旦退縮無法自行長回來,目前唯一能有效改善的方法是「牙根覆蓋術」,讓牙肉恢復厚度與高度。
談論牙齦萎縮之前,我們先瞭解一下正常的牙齦應該覆蓋在什麼樣的位置。
我們的牙齒可以分牙冠及牙根的構造:

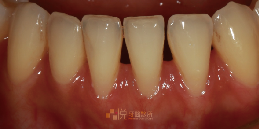
我們定義的正常牙齦覆蓋高度就是包覆範圍不要低於牙根。
因此「牙齦萎縮」可以定義為,牙齦邊緣比琺瑯質及牙骨質的交界(Cemento-Enamel Junction, CEJ)還要下方,導致牙根表面暴露於口腔環境中。

大家聽到牙齦萎縮第一個聯想到的,是不是「牙周炎」引起的呢?
事實上造成牙齦萎縮的原因並非只有牙周炎而已,即使病人本身有著健康的牙周狀況(無牙齦炎),牙齦萎縮還是可能會有的喔!
造成牙齦萎縮的病因非常多,其中代表性的原因如下:
一位牙齦萎縮的病人,通常不是單一因素造成,常是多個因素組合的後果。
如天生牙齦厚度偏薄的病人,與牙齦厚度較厚人相比,在同樣的機械性因素下(如刷牙太大力),就更容易有牙齦萎縮的問題,因此術前需要瞭解導致牙齦萎縮的因素對醫師而言非常重要!


當有牙齦萎縮時病人容易自覺的症狀有
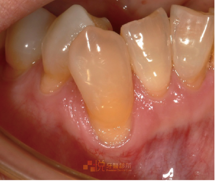
如果笑的時候牙齦露出量較多的患者,如果門牙區牙齦有萎縮時較容易有美觀的影響。

牙根表面本身並未有琺瑯質包覆,因此當有牙齦萎縮時,容易會有敏感性牙齒問題。

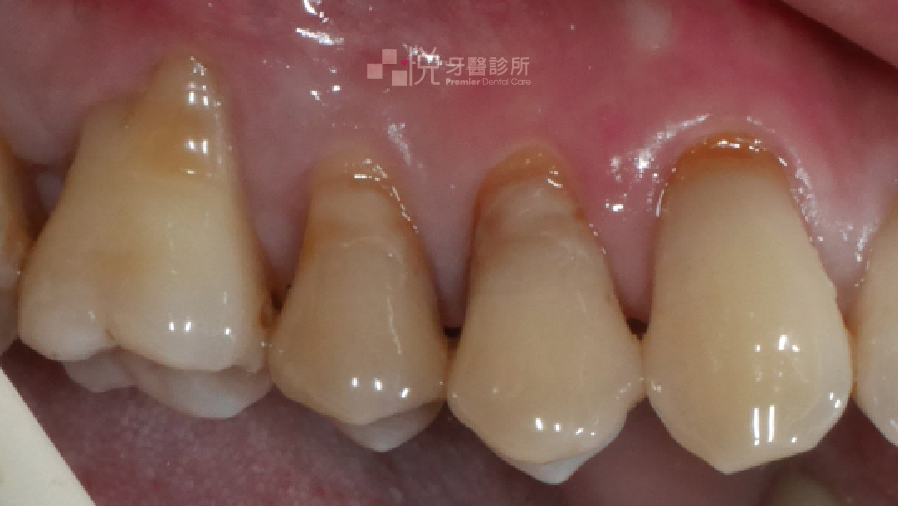
因牙根標面的硬度比琺瑯質軟,當患者有牙根裸露並使用硬毛牙刷或清潔力道過度時,容易磨耗到牙根表面,時間久了容易會有牙刷磨出來的痕跡。

不管是因為牙齦萎縮影響美觀層面、牙齒冷熱敏感、牙根表面有凹陷等以上問題,都是患者容易在日常生活中察覺的症狀,有發現類似以上情況時可以就診詢問醫師喔!
當牙齦有萎縮時,很可惜無法自己長回來,因此牙齦萎縮的治療目前為止只有「手術型治療」的選擇而已。
不過我們來討論牙齦萎縮的手術治療前,先談論一下牙齦萎縮是不是真的需要治療?
當牙齦萎縮發生在後牙的牙根或沒有冷熱敏感的症狀時,大家可能會有個疑問是不是我的情況是不用治療的?
首先目前的知識告訴我們有牙齦萎縮的情況,基本上是建議做治療的!
依照 2016 年 Chambrone 及 Tatakis 的學者的研究( Long-Term Outcomes of Untreated Buccal Gingival Recessions: A Systematic Review and Meta-Analysis” (Chambrone & Tatakis, J Periodontol, July 2016),牙齦萎縮患者有 78% 的機率萎縮的情況會越來越嚴重,並其中79%的病人可能會有新的牙位有牙齦萎縮發生。
有牙齦萎縮的病人,有很高的機會萎縮情況會越來越嚴重。
值得我們注意的是,無論有沒有牙周病或良好清潔習慣,有牙齦萎縮的病人都有很高的機會越來越嚴重,因此即便患者沒有自覺症狀或美觀問題,基本上有牙齦萎縮的患者都是建議做治療的。
目前唯一有機會把萎縮的牙齦恢復的方法就是手術治療,我們稱為牙根覆蓋術。
牙根覆蓋術的手術技巧很多種,因此在本篇把這些手術技巧一一描述有點困難,但所有的牙根覆蓋術可以分成兩個部分:



基本上手術治療的牙根覆蓋術成功率都很高,但如果有齒縫變大的情況覆蓋機率會下降,所以不是所有的牙齦萎縮可以靠手術達到理想效果!
但如果搭配結締組織移植等讓牙齦薄度有改善的措施,雖然不一定可以達到理想的牙根覆蓋,只要牙肉厚度有增加,可以顯著改善日後萎縮惡化的情形,而牙齦厚度改善基本上成功率都很好,因此基本上只要執行手術治療都是非常有意義的。





導致牙齦萎縮的危險因子中,有些先天性條件問題(如牙齦厚度過薄、牙齒位置異常)無法改變,但因清潔習慣不妥(如刷牙太大力)等後天性導致牙齦萎縮的風險是可以預防的喔!
所以大家切記刷牙不能用硬毛牙刷!!而且要搭配正確的清潔習慣喔!
即使不幸有了牙齦萎縮,如果有適當的治療介入還是可以顯著改善牙齦萎縮的情況!因此如果擔心牙齦萎縮的各位,歡迎來諮詢品悅牙醫!
※聲明:文章為醫師的經驗談,每人口腔情形盡不相同,如有不適儘早就醫檢查才是正解