「戽斗」是你的困擾嗎?戽斗在臉部外觀上較突出的下巴常影響社交的自信心,齒列上的前牙錯咬也會影響影咬合功能,甚至造成咀嚼上的困難。
那戽斗能單以牙齒矯正來改善嗎?還是需要搭配「正顎手術」才能改變戽斗的狀況呢?本篇將由錢怡雯醫師解析戽斗的成因、戽斗評估牙齒矯正及正顎手術的治療等內容。
戽斗的患者在牙齒咬合方面,常見有前牙錯咬(或合併有後牙錯咬),因此無法有效率的發揮正常的咬合功能。
在流行病學上的盛行率東方人大於西方人,而在戽斗在外觀上,常有較明顯的下巴,中臉部較為凹陷,因此有「月亮臉」的俗稱,使得社交上的自信心難免受到影響。
在正常咬合中,上顎門牙應該覆蓋在下顎門牙的外側。
反之,若下顎門牙咬在上顎門牙的外側,也就是所謂的「前牙錯咬」。
戽斗的成因主要分為以下兩種:
常見為家族遺傳因素,通常為「骨性戽斗」。
因為牙齒干擾的緣故,使下顎被迫必須往前移位才能咬合,呈現出前牙錯咬的情形,也就是所謂的「假性戽斗」,或稱「功能性戽斗」。
一般來說,單純牙齒矯正在外觀上能改善的地方為鼻基底以下,包含上唇至下唇的位置為止。
較明顯和偏長的下巴仍須透過正顎手術修正,才能讓戽斗的外觀可以獲得比較明顯的改善。除此之外,由於牙齒是位於齒槽骨內,因此牙齒的移動有其解剖上及生理上的限制。
若牙齒移動的範圍超出限制,就會影響牙齒及周邊組織的健康,發生例如:牙根吸收、牙髓失去活性、齒槽骨開窗或開裂、牙齦萎縮⋯等的狀況。
因此當牙齒需要移動的量超出極限時,就需要搭配正顎手術,才能在齒列健康的前提下,獲得良好的治療結果。
同場加映:三大牙齒矯正系統「隱適美、戴蒙矯正、傳統矯正」優缺點比較
「錢醫師~我真的很害怕開刀啊😭 請問戽斗有機會單做牙齒矯正獲得改善嗎?」
「戽斗單靠牙齒矯正是有機會的,不過並非所有戽斗的人都合適喔!需經由矯正醫師的評估,綜合分析臉部骨架、臉部外觀、齒列咬合狀況等,才能擬定出適合的治療計劃唷😊」
若為骨性戽斗大多數是需要合併正顎手術治療的。但在某些條件下,仍有機會只做牙齒矯正不用開刀。
戽斗是否需要搭配正顎手術,或能只做牙齒矯正,主要評估兩大面向:
以下表格簡述戽斗建議<只做牙齒矯正>或<搭配正顎手術>的合適對象:
| 適合只做牙齒矯正 | 需要搭配正顎手術 | |
|---|---|---|
| 臉部骨架 | • 輕微的骨性戽斗 • 短臉型或一般臉型 | • 中度或嚴重的骨性戽斗 • 合併有臉部不對稱,或有上下顎骨寬度不協調的問題 • 長臉型 |
| 齒列及咬合 | • 下顎可以咬到比較後退的位置(假性戽斗或稱功能性戽斗) • 下顎齒列有空隙 • 上顎及下顎門牙角度適中 | • 下顎無法咬到比較後退的位置 • 下顎門牙角度過度傾倒,上顎門牙角度過度外展 |
同場加映:牙齒矯正能改變臉型嗎?會瘦臉嗎?暴牙、戽斗矯正案例分析
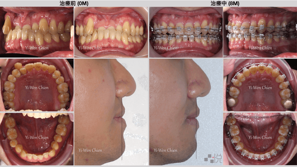
本案例治療前有輕微的「骨性戽斗」,齒列擁擠,上顎及下顎中線偏差,合併有前牙和後牙錯咬,而後牙錯咬造成了咬合干擾,使得下顎往右側歪斜。
採用不拔牙的矯正治療,並且讓下顎順時針旋轉改善戽斗的外觀。牙齒矯正後咬合干擾消失,同時改善臉部歪斜。


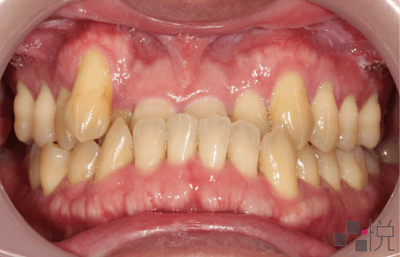
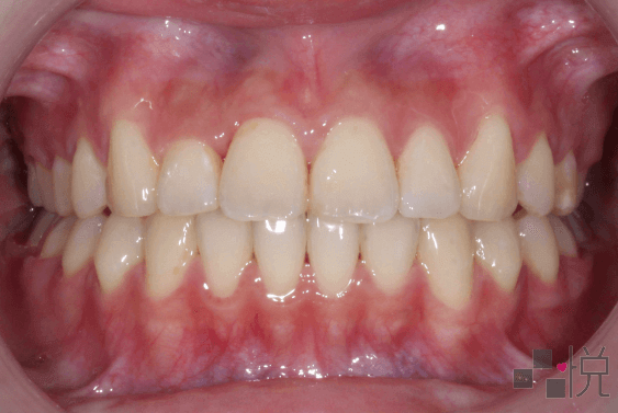
本案例矯正前是「假性戽斗」,齒列擁擠、深咬,還合併有前牙及後牙錯咬。
選擇不開刀(正顎手術)只做牙齒矯正,拔除狀況不好的上顎右側犬齒,以上顎第一小臼齒取代上顎犬齒。
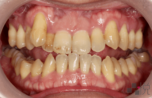
矯正治療後齒列整齊,恢復正常咬合(上排牙齒蓋在下排外側),明顯改善深咬的情形,同時也改善戽斗的臉部外觀。

同場加映:戴牙套要拔牙嗎?牙齒矯正打骨釘會痛嗎?
簡而言之,戽斗能不開刀(正顎手術),主要是輕微性戽斗或假性戽斗較有機會單以牙齒矯正獲得改善。而嚴重的骨性戽斗、或有合併臉部、上下顎骨寬度不協調⋯等其它臉部骨架上的問題,仍須搭配正顎手術才能獲得理想的治療成果。
文末,錢怡雯醫師提醒大家:「每人的條件不同,需經由矯正醫師評估及綜合分析臉部骨架、臉部外觀、齒列咬合狀況⋯等,擬定出最適合的治療計劃唷!」
※聲明:文章為醫師的經驗談,每人口腔情形盡不相同,如有不適儘早就醫檢查才是正解