牙齒壞掉了,聽說植牙是目前最接近真牙的治療方式,也下定決心要做植牙手術了。可是⋯⋯
一個問題解決了,又想到有另一個問題~
人生好難,讓我們來一一解答吧。
植牙手術後多久可以裝植牙假牙呢?
通常分成即刻負載( Immediate Implant Loading )和延遲負載 ( Delayed Implant Loading )。
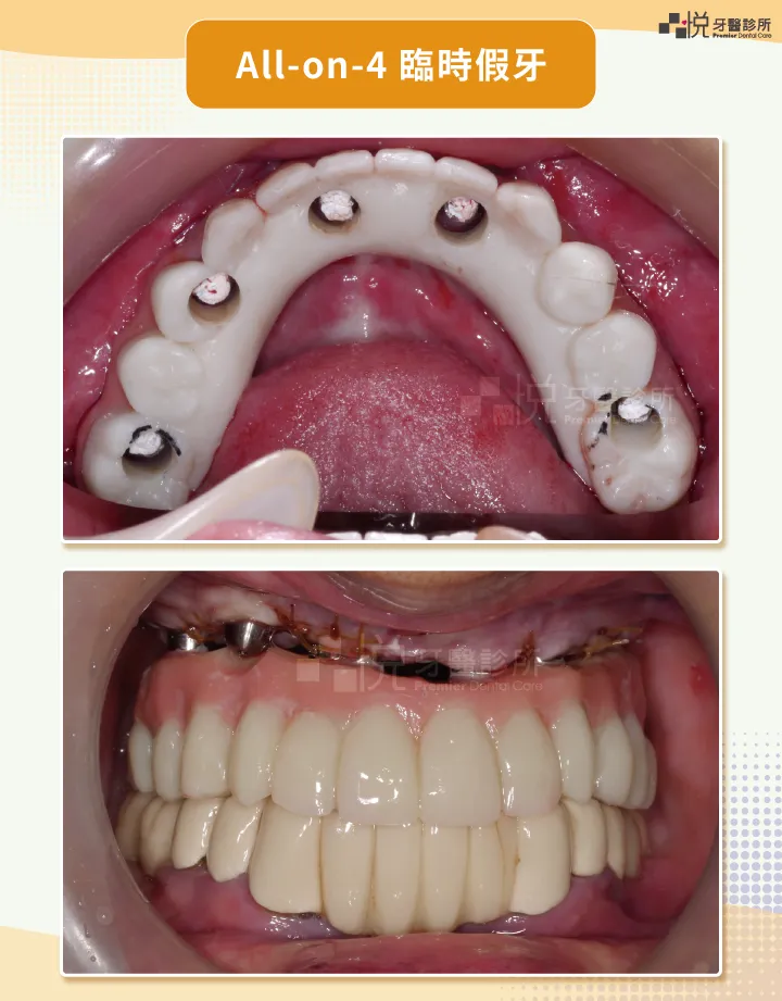
「即刻負載」可立刻裝臨時假牙,「延遲負載」需等 3 到 6 個月後才能裝假牙。
植牙手術當天,植入人工牙根後,立即裝臨時假牙。
不會醜醜,沒有空窗期。


植牙手術完,等待 3 到 6 個月,植體穩定、完成骨整合後,才裝臨時假牙或正式假牙。
只要適合植牙的患者皆適用。
空窗期較長,約 3 到 6 個月。
沒有假牙卡住空間,需配戴「空間維持器」,以免咬合空間跑掉。
以下表格整理兩者的適應症、優缺點、及注意事項:
| 即刻負載 ( Immediate Loading ) | 延遲負載 ( Delayed implant loading ) | |
|---|---|---|
| 定義 | 植完牙立刻裝上臨時假牙 | 等待 3 到 6 月,植體穩定才裝假牙 |
| 所需條件/適用症 | •骨頭條件良好 •人工牙根初始穩定性良好,扭力達30Nm以上 •無急性感染 •有美觀需求 •咬合力道較小 | 只要適合植牙的患者皆適用 |
| 符合條件的機率 | 約 10% | 約 90% |
| 優點 | 不會醜醜,沒有空窗期 | •成功率高( 97% 到 100%) •適用大部分病患療程 •可預期性好,不容易出意外 •傷口不易感染 |
| 缺點 | •符合條件的人少 •成功率略低於延遲負載 •不確定性較高 | 空窗期較長,約 3 到 6 個月 |
| 注意事項 | •通常臨時假牙會做稍微咬不到對面牙齒,美觀有可能受影響 •前 4 到 8 週不建議使用臨時假牙咬東西,以免干擾骨整合 •有時會將多顆植牙綁在一起,更為穩定 •若發生臨時假牙明顯搖晃,應立即回診 •仍須等待 3 到 6 個月,才能更換正式假牙 | 需配戴「空間維持器」,以免咬合空間跑掉 |
不管是什麼時候裝假牙,手術完的共同注意事項:
醫師會依照病患的情況選取適合的治療方式,總之就是:你的條件好,就可以馬上裝,但如果條件不佳,醫師也只能選取較安全的治療方式,不是盧一下醫生,就可以立刻裝的喔。
品悅牙醫的醫師都會想盡辦法,在不傷害旁邊牙齒的情況下,幫你補上缺牙,絕不會讓你門牙缺洞的~
別太擔心,如果門牙缺個洞、有空窗期,通常都會用「臨時馬利蘭牙橋」或「臨時活動假牙」處理喔。


臨時假牙通常會多好幾千塊,那到底能不能省略植牙臨時假牙呢?
首先,我們必須先了解植牙臨時假牙最重要的幾個功能。
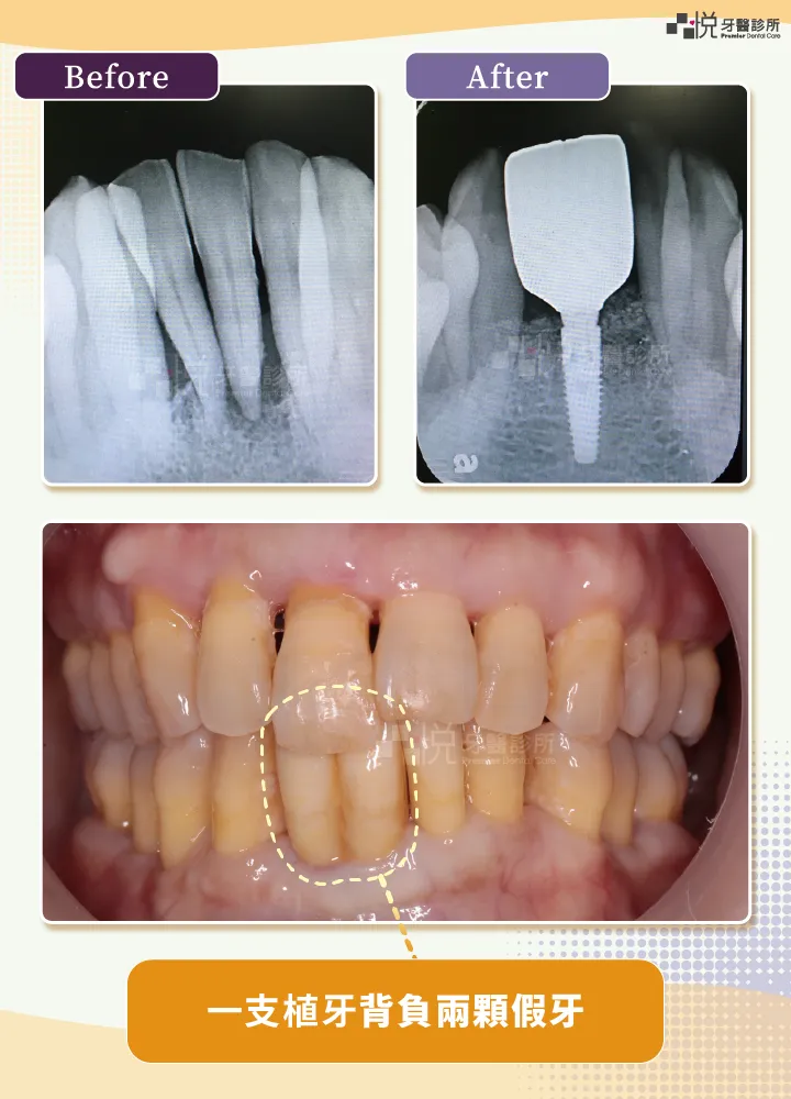
植牙手術完,憑空要從骨頭裡接出一顆假牙,讓假牙穿出牙肉,其實是需要一段時間來讓牙肉生長,觀察牙肉貼合植牙假牙的情況。

臨時假牙塑形後,牙肉會被撐開,呈現我們想要的樣子,尤其是前牙區域,一點點的牙齦厚度、高度,都是美麗笑容的關鍵。
由於每個人的牙肉狀況也有不同,用臨時假牙才能確保牙肉長成我們要的樣子,若不滿意,臨時假牙也有調整的空間。
有些植牙假牙會從內部過度擠壓牙肉,造成鎖得位置不對,或是牙肉發炎,有些又太瘦,支撐不了牙肉,以後容易從太細的地方斷裂。有了臨時假牙,這些問題都能提前發現並得到解決。
此外,形狀優良的牙肉不只美觀,也可以減少未來植牙感染發炎、塞菜的情況。這也是臨時假牙時期會測試的。
跳過臨時假牙,就跟在不熟的網路店家買鞋一樣,合不合腳有時也是看運氣,但正式假牙不合用的時候,可不像網路那麼方便退貨的。
缺牙好幾個月,甚至牙齒壞掉好幾年。突然長出一顆牙齒,很多人都會不習慣。
植牙本身也沒有神經,使用起來的感覺不會和真牙一模一樣,是需要適應的。而臨時假牙不但有很多的調整空間,也給病患一個適應期,如果有不舒服,還可以請醫師幫忙調整。
牙齒嚴重影響某些發音( 如:「斯」、「發」,這類要用「舌頭+牙齒」或「嘴唇+牙齒」才能發出的聲音 ),臨時假牙能協助患者適應新假牙。
若假牙型態不對,怎樣都無法順利發音,也可以讓醫生提前發現並作調整。
需要用臨時假牙來測試適合臉部的牙齒大小及外型,或是在牙弓中有沒有特別爆牙、特別凹等等的情況。
植牙畢竟和真牙不同,尤其在骨頭萎縮較多的情況,或是牙橋型態的植牙假牙,需要特別的清潔技巧,這都要在臨時假牙階段學習。
基於以上原因,饒醫師目前都會建議病患做臨時假牙。畢竟植牙不便宜,手術又受了皮肉痛,誰也不希望前功盡棄,最後的正式假牙不好用。
如果是植牙完直接裝臨時假牙,因為需要等待植體和骨頭長好,通常需要配戴較久約 3 到 6 個月。如果是骨整合後才配戴臨時假牙,通常試戴 2 週到 2 個月,確定沒有其他問題,就可以更換成正式假牙。
臨時假牙既不會花費很多時間,也不會花掉很多錢,卻能大大確保正式假牙會好用,可說是 CP 值很高。
正式假牙相較臨時假牙,有以下差別:
| 臨時假牙 | 正式假牙 | |
|---|---|---|
| 常見材質 | 壓克力 | 金屬、陶瓷 |
| 優點 | •價格低 •可使用填補材料直接調整外型 | •耐用 •不易破裂 •硬度、韌性高 •不易變色 •不易脫落 •細菌不易附著 •較少引發過敏 |
| 缺點 | •易變色 •易鬆脫 •較不耐用 •易破裂 •細菌容易附著 •少數人會過敏 | 不易調整外型 |
假牙材質主要分為金屬假牙跟陶瓷假牙。而陶瓷有很多種,目前最主流的材料為二氧化鋯,少數會合併玻璃陶瓷處理表面。
金屬由於顏色不美觀、過敏機率較高、導電導冷、易造成敏感、金屬離子長期染黑牙肉等諸多問題,目前較少使用。
不過金屬的彈性較陶瓷好、脆度低,所以在大組的牙橋,如 All-on-4,基於力學的考量,內部常會使用金屬作支撐。



市面上說的「全瓷冠」植牙假牙,有可能是:
延伸閱讀:假牙顏色自然要知道的 7 個Q&A!圖文及影片解說全攻略
若原有的牙肉已經被舊的金屬假牙染黑,金屬離子的沉積很難完全消除。因此就算做新的假牙,通常只能部分改善,讓情況不要再惡化。若很介意,可以考慮補肉手術,拿其他地方未染色的牙肉移植到染色處。

| 金屬假牙 | 陶瓷假牙( 二氧化鋯 ) | |
|---|---|---|
| 優點 | •早期沒有堅硬的陶瓷時,常會使用金屬 •彈性較陶瓷佳,會用在長牙橋,例如 All-on-4的假牙核心 | •硬度高 •美觀 •價格較穩定 •生物相容性佳(不易過敏發炎) •不利細菌附著生長 •適用大部分的情況 |
| 缺點 | •較易造成牙肉染色變黑黑的 •價格波動大 •不美觀 •過敏機會較高 •導電導熱,敏感體質易不舒服 | •彈性較差,在極長牙橋時,容錯率較低 •若表面處理不佳,易耗損對咬真牙 |
先說結論,大約一半的人感受跟真牙一樣,但仍有一半的人會覺得不如年輕時的真牙好用,但通常都在可接受範圍。
到底植牙和真牙差別在哪裡呢?
真牙和骨頭之間會有一層薄薄的「牙周韌帶」及牙周神經,因此真牙在受力時,會有非常輕微的緩衝,且會有「咬到」的感覺。
而植牙假牙則比較沒有這種感受。有些較敏感的人,會覺得咬起來感覺就是不一樣。
植牙和骨頭、牙肉的結合力就是不如真牙,一旦細菌入侵了,惡化比真牙更快更嚴重,可以想成是發生在植牙周圍的牙周病,名稱是「植體周圍炎」。
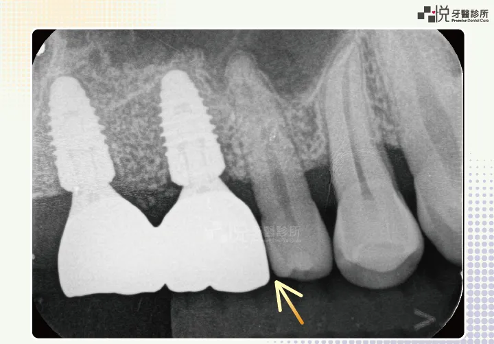
不論門牙、小臼齒、大臼齒,人工植牙就是只有一個圓柱形牙根。這是沒辦法跟真牙一樣的,因此牙齒跟牙齒間比較容易有「三角縫」,有時容易塞菜。醫師就算再怎麼盡力,也不一定能達到 100 分。

若植牙假牙下方地基凹陷,雖能植牙能正常使用,但還是較容易在地基凹陷處塞菜。
若植牙前就很擔心此問題,非常希望達到完美,也可以和醫師討論,事前補骨補肉要做到極致,只是有時會需要補更多次,手術的時間、費用、手術次數及手術後疼痛腫脹感,都會高出許多。

因為植體中心的螺絲很細,為了增加植牙假牙的壽命,在咬力大或是會磨牙的病患身上,會特別把假牙的咬合面設計的較平坦、面積較小,研究顯示可大幅增加假牙壽命,但是可能會覺得咬合力道稍差。

隨著我們成長、變老,真牙其實一直在移動,否則牙齒咬久了、磨損了,上下牙齒就咬不到、咬不好了。但植牙沒辦法像真牙一樣移動,因此久了可能會局部咬太重。有時也會發生真牙移動,但植牙不動,慢慢就出現一個牙縫。以上大多是臨床調整咬合跟修補假牙就能解決。

三角縫跟植牙假牙下方地基凹陷是較常見的困擾,大約有兩三成的人有感。通常困擾程度並不嚴重,在使用牙間刷後可以大幅改善。
如果真的還是很困擾於塞菜,可以後續進行手術二次補肉,來減少三角縫或地基凹陷的問題。
延伸閱讀:缺牙人必看!植牙補骨手術、補肉手術解析與術後照護一次看
延伸閱讀:
抽菸/吃檳榔/高低血壓/糖尿病可以植牙嗎?會影響植牙成功率嗎?
植牙手術後能大吃大喝嗎?醫師統整人工植牙術後照顧10個重點注意事項
植牙跟買車一樣,初始設計好,未來問題少。定時檢修很重要,出問題時要找的到人、維修快,不要亂收費。
品悅牙醫在地服務超過 15 年,提供植體終身有限責任保固、 兩年的植牙假牙保固,及後續終身假牙的維修服務。並選用有信譽的植體及植牙假牙品牌,降低廠商斷貨、出包的機率。
品悅牙醫的硬體設備包含高階電腦斷層、手術藍光植牙導航機、水雷射、3 Shape 3D 口腔掃描機等等,皆為最新最好的設備。
品悅牙醫的約診系統能備註所有植牙病人的牙齒位置,每半年會以 APP 或官方LINE訊息提醒病患。
醫師接到植牙病患也能立刻查看牙位,並依固定流程測試植牙假牙狀況,若有問題立即調整,大幅減少假牙壞掉的機率。此外,每個零件更換都有固定的價格,因為選用的廠牌市佔率高,零件也都很容易取得,不必等太久喔!
已經植牙的,快刷牙!快回診!不要偷懶知道嗎~
想要植牙卻還有疑問的,如果在這篇沒找到解答,可以先找找以下這些文章,或是來品悅牙醫約診諮詢喔!
品悅牙醫植牙相關文章:
※聲明:文章為醫師的經驗談,每人口腔情形盡不相同,如有不適儘早就醫檢查才是正解