當牙齒矯正來到尾聲,每次的矯正門診中最常聽到之一的對話:「李醫師~我覺得現在牙齒很整齊了,可以拆矯正器了嗎?」
當看著遠比牙齒亂、暴牙、戽斗等情況越來越好,齒顎矯正醫師卻還沒拆矯正器的考量是什麼?
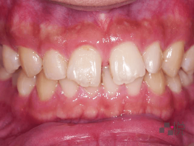
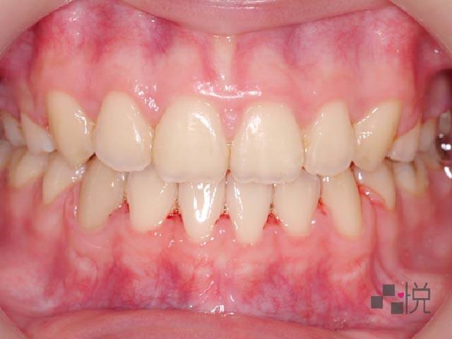
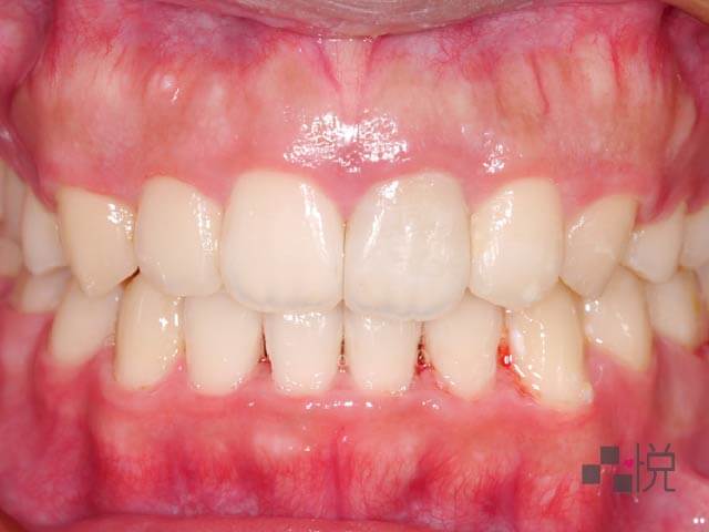
矯正醫師評估牙齒矯正的依據包含咬合型態、牙弓、咀嚼功能、上下排前牙的覆蓋和覆合等等。
矯正醫師會評估牙弓形狀合適,牙齒形態大小正常,排列整齊。
標準的牙弓形態會略像 U 字型(如附圖),所以通常在做矯正的時會把擁擠的齒列逐步做擴張,使牙齒得到改變排列整齊。

而當在齒列擁擠合併外觀前突的情況之下,矯正計畫就必須合併拔牙以提供足夠的空間來排列牙齒,進而同時改善前突的外觀,這時就必須等待拔牙空隙關閉完成才能拆除矯正器。
如果上下顎牙齒大小有明顯的不對稱,矯正時會對牙齒做微量的修磨(Interproximal Reduction)或是將牙齒加大(樹脂填補或貼片等),使上下顎牙齒有正常的咬合排列。
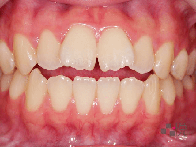
正常的咬合是上顎齒尖要在下顎兩顆齒列牙窩之間,而且牙齒大面積接觸。(如附圖所示)


覆蓋(overbite)是上下排前牙在垂直方向重疊的測量。
覆合(overjet)是上下排前牙在水平方向的距離。
一般上下門牙的覆合和覆蓋大約是 2 mm,過大的覆蓋關係(如:深咬)通常會導致下排牙齒不良磨耗,或是下排門牙咬到上顎牙肉進而造成牙周問題等等。過大的覆蓋關係也會妨礙前牙正常功能,像沒辦法切斷食物,影響發音等,笑起來也較不具吸引力。
若每次都確實依規定時間回診,一般常見是每三到六周為一個回診週期,則會在回診時調整矯正器、矯正線、改變戴橡皮筋的方式等,就有機會提早完成牙齒矯正。
若於矯正期間有確實配合醫師指示配戴矯正橡皮筋,通常會能加速矯正進度,能有望提早拆矯正器。
延伸閱讀:【我的牙套日記】牙齒矯正中想知道的飲食、清潔、嘴破小問答
矯正期間配戴橡皮筋常見會應用的功用在於關閉間隙、調整中線、調整磨牙和咬合關係等。
透過矯正橡皮圈的持續施力,就能把矯正拔牙間隙慢慢關起來。
延伸閱讀:戴牙套要拔牙嗎?牙齒矯正打骨釘會痛嗎?
透過矯正橡皮筋能使中線對齊,上下門牙有正常的覆合和覆蓋關係,橡皮圈可以把牙齒拉到醫師理想好的位置,以防止中線不齊。
延伸閱讀:深咬矯正看這篇!牙醫剖析深咬成因影響、矯正方式比較、常見問答
將牙齒的牙合關係調整到最佳狀態,這也是橡皮筋最重要的功能,使牙齒咀嚼效率達到最高。
在拆除口內矯正器,為了讓牙齒維持在最完美、最理想的位置,就正是戴維持器最大的目的,因為牙齒的排列及咬合關係,會隨著年齡的增加,而有產生微妙的變化。
每位患者異常咬合的嚴重程度不同、維持器的設計與配戴的時間也會因人而異的!
尤其剛拆掉矯正器時,牙齒的排列是最容易變動的,所以剛拆矯正器的半年內,除了飲食及刷牙外其餘的時間都要配戴維持器!半年後牙齒的位置比較穩定之後,就可以改成晚上睡覺時配戴就可以。
相信每位矯正人都是期待帶來更美好的矯正成果,這次淺談矯正醫師評估牙齒矯正的依據、希望大家更了解矯正橡皮筋的功效,也提醒大家能否提早拆除矯正器,都要與自己的主治醫師完整討論~
也祝福大家在牙齒矯正路上,一切順利喔!
※聲明:文章為醫師的經驗談,每人口腔情形盡不相同,如有不適儘早就醫檢查才是正解