在平日牙科門診中,常發現二至五歲的小朋友因牙齒疼痛就診,經檢查幾乎是多顆甚至是全口的牙齒都有嚴重的蛀牙,但乳牙蛀牙不能等換恆牙就好嗎?為什麼需要治療蛀牙?
治療全口嚴重蛀牙,很常需要上四次以上的麻藥,像是根管治療或套上牙套或是拔牙等,當大人聽到要打針都會害怕,何況是小朋友呢?當孩子又哭又鬧,無法配合看牙時,該怎麼辦?
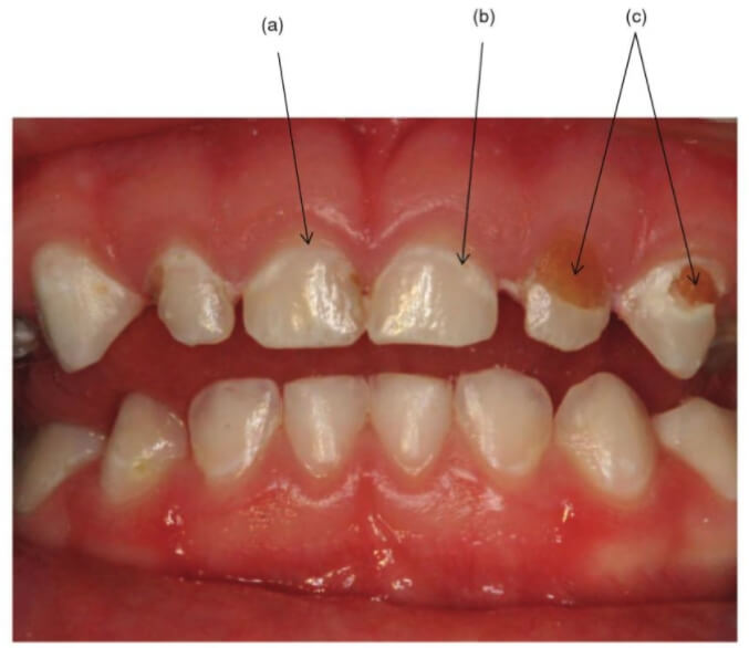
本篇將解析常見的乳牙蛀牙成因與影響、蛀牙的檢查搭配X光的重要性,以及淺談兒童牙科鎮靜搭配牙科治療能帶來的改善及注意事項。
本文也授權刊登於:關鍵評論網
小朋友怎麼這類型的蛀牙稱之為 Early Childhood caries ( ECC ),在高風險族群中其蛀牙進展速度非常的快,所以通常家長發現牙齒上有洞或是因疼痛就診時,大多都已經發展成很深的蛀牙。

現代飲食精緻化,太多精製糖充斥在小朋友的飲食中,像是麵包、餅乾、甜食等,更別說奶瓶喝過夜的小朋友,牙齒常常泡在黏黏的糖水裡,不蛀牙也難。
因此大約在 1 歲時就要開始想辦法戒奶,先將奶瓶換成練習吸管喝再來直接以杯就口,另外在固定的時間進食也是相當重要,減少醣類接觸牙齒的頻次,也可降低家長需要刷牙的頻次。
另外要特別提的是,若是 3 歲以下的小朋友,其牙齒表面就有刷不掉的脫鈣(通常會在門牙靠近牙齦處有帶狀的白斑),這就是一種蛀牙的警訊,這類小朋友屬於隱性的蛀牙高風險族群。通常會建議積極的做口腔清潔,飲食控制,再視情況增加塗氟頻率,降低日後蛀牙快速擴散的機率。
反正乳牙之後換成恆牙,蛀爛掉不治療等換牙?這可能是各位家長會有的疑問。

有時在門診會遇到家長不忍心讓小朋友處裡牙齒,想吃止痛藥讓他暫時不痛就好的,或是想說反正乳牙會換,等他長大就有新牙齒了,但其實這是非常錯誤的觀念。
首先需要了解一顆不處理蛀牙有可能造成的後續狀況。
| 短期影響 | 長期影響 |
| 1. 疼痛和感染(膿包、蜂窩性組織炎) 2. 食慾下降 3. 影響睡眠、降低學習和專注力 4. 原本只需門診治療,變成需要鎮定治療或全身麻醉 5. 乳牙提早脫落影響咬合 | 1. 通常小時候的牙科疾病和口腔健康會持續影響成人階段 2. 單顆蛀牙蔓延至多顆蛀牙 3. 恆牙牙胚在乳牙底下,乳牙蛀牙導致恆牙可能長出來就有蛀牙 4. 影響小朋友的生理發育(尤其是身高體重) 5. 影響咬字發音 6. 發炎嚴重甚至可能會有腦炎等危及生命安全的風險 |
所以千萬不要小看一顆乳牙蛀牙會帶來的後續影響,盡早做積極的介入治療。
乳牙牙根底下就是恆牙牙胚,不積極做細菌控制(根管治療)容易細菌往下傳導到恆牙,影響恆牙的發育。
乳牙的牙套是「套在牙齒本身」,而不是卡在骨頭內,是會隨著小朋友換乳牙一起鬆脫的。


每位小朋友能不能正常換牙,其實是不一定,但原因跟牙套無關,是因為恆牙可能被細菌影響過喔!
但是要特別注意的是,通常戴牙套的乳牙都是做過根管治療的,表示牙髓神經曾被蛀牙細菌侵犯過,所以跟一般乳牙的換牙時間可能不太一樣,有可能提早或延後脫落。
延伸閱讀:小朋友乳牙換牙年齡?乳牙換牙懶人包!兒童口腔保健學齡篇
其實肉眼能看到的蛀牙是有限的,所以除去 3 歲半以下的小朋友(考量心智年齡未成熟)或是張口度較小,有嚴重噁心嘔度反應的小朋友以外,都建議要藉由 X 光來確認蛀牙大小及深度。
這也是和家長最常問的:「為什麼看起來小小的蛀牙一下就要抽神經(根管治療呢)?」
因為蛀牙比你肉眼看到的要大上許多,一個小小的洞,底下很可能早已經蛀光光了。
拿水果來比喻,被蟲子叮咬過的水果,雖然表面看起來只有一個洞,但其實你能預想到它周邊顏色透透不太對勁的都是壞掉的。
同理,蛀牙也是這樣的,所以照 X 光就有其必要性存在,雖然會有一些些不舒服,這是小朋友需要面對的門檻之一。


另外大部分牙縫的蛀牙,肉眼看起來牙齒並無缺損,是需要照 X 光才能發現其蹤跡的,早期發現,更能早期治療。
普遍家長會擔心的X光劑量問題,其實牙科的 X 光劑量很低,對照行政院原子能委原會製做的醫療用 X 光輻射劑量對照表,可以發現牙科單齒或是全口 X 光攝影都是在圖表的最左邊的低劑量。

另外也提供生活中會接觸到的輻射劑量,會發現換算下來帶小朋友坐飛機來回美國,才等於照 18 張牙科 X 光,所以家長可以放心面對,小朋友不會有牙科X光輻射過量的問題。
大家都希望降低拍攝 X 光次數,降低輻射暴露,但其實幫小朋友照 X 光片很辛苦的,有時候還會被咬到手指頭,若需要多次拍攝時,請家長給我們兒童牙科醫師和放射師多一點耐心和鼓勵唷!
若是小朋友無法在清醒的狀態下,施予局部麻藥在門診順利完成治療,為了避免小朋友留下被壓制約束治療的陰影,牙科醫師通常會提出另外兩種麻醉方式:「鎮靜治療」或是「全身麻醉」來協助治療。
鎮靜治療是可以在牙科門診搭配麻醉團隊來進行,全身麻醉則可能需要去有兒童牙科部門的醫院執行。
以下是鎮靜治療和全身麻醉的比較:
| 鎮靜治療 | 全身麻醉 |
| 1. 不需住院、不需插管可自行維持心肺功能 | 1. 可能需要醫院住院及插管 |
| 2. 甦醒後較少噁心嘔吐反應 | 2. 術後恢復噁心感較大,或有喉嚨痛等問題 |
| 3. 甦醒的時間較為可以預測且較短, 病人恢復期心情較佳 | 3. 術後恢復時間較長 |
| 4. 有時需要 1-2 次才能完成治療 | 4. 因為麻醉時間較長,可 1 次完成療程 |
無論是做鎮靜治療還是全身麻醉,只要是麻醉都有其風險存在,像是對麻醉藥或生素過敏產生的過敏反應或是惡性高熱,所以提供小朋友的身體數值正確數據,以及是否有在服用什麼藥物,或是有過什麼疾病等,是家長能協助專業麻醉醫療團隊降低風險的最大幫助。
兒童牙科鎮靜麻醉程度為中度至深度鎮靜,使小朋友在放鬆的氛圍下進入麻醉狀態。配合4合1生理監視器、呼吸音電子聽診器、標靶輸注幫浦等專業麻醉儀器交互使用,由麻醉專科醫師、麻醉護理師協同牙醫師共同為小朋友的牙齒與麻醉安全嚴密把關,減少小朋友從小對牙科治療之恐懼,於成長的過程中能逐步接受牙科治療至往後執行牙科治療不需要鎮靜麻醉,定期回診,常保牙齒健康。
考量到鎮靜治療的安全限制,會盡量控制時間在4小時左右,若小朋友的治療較複雜且多顆牙位,可能會需要兩次以上的鎮靜治療。
加上有需要安排鎮靜治療的小朋友,通常無法配合拍攝術前的X光,會增加醫師預估手術時間的不確定性,通常要等鎮靜治療後才有辦法拍出清楚的X光,才能精準擬定治療計畫,所以有時醫師無法和家長保證一次舒眠就好,這部分可能要請家長見諒。
總結來說藉由鎮靜治療的搭配下讓小朋友完成治療,家長在日後的口腔清潔一樣不能馬虎,定期在門診讓小朋友練習簡單的刷牙檢查、認識牙科治療所需要的器械、培養孩子定期檢查,別等牙齒出狀況才治療。
延伸閱讀:孩子遠離蛀牙的不二法門,刷牙方式正確嗎?【學齡前幼兒牙齒保健篇】
本篇參考專業文獻:
[1]Early childhood caries update: A review of causes, diagnoses, and treatments /Hakan Çolak, Çoruh T. Dülgergil, Mehmet Dalli,1 and Mehmet Mustafa Hamidi /J Nat Sci Biol Med. 2013 Jan-Jun
[2]Absalom AR, Glen JB, Zwart GJC, Schnider TW, Struys MMRF. Target-controlled infusion: a mature technology. Anesth Analg. 2016;122:70–8
[3]The Safety of Target-Controlled Infusions /Schnider, Thomas W. Prof. Dr. med.*†; Minto, Charles F. MBChB, PhD, FANZCA‡; Struys, Michel M. R. F. MD, PhD, FRCA (Hon)§‖; Absalom, Anthony R. MBChB, FRCA, MD (UCT) Anesthesia & Analgesia: January 2016 – Volume 122 – Issue 1 – p 79-85
[4]Early Childhood Oral Health /Joel H. Berg, Rebecca L. Slayton
※聲明:文章為醫師的經驗談,每人口腔情形盡不相同,如有不適儘早就醫檢查才是正解