牙周病不會自己好!醫師解析牙結石深度影響牙周病治療方式

撰文:張真豪 醫師

瀏覽次數: 35,151 次瀏覽

慢性牙周病是由口腔清潔不良所累積之細菌(牙菌斑)導致的發炎疾病,這些細菌與口水的鈣質作用,隨著時間就會變成牙結石 。

然而,牙周就像冰山一角,牙結石可能比你想得還要深,所以定時清除牙結石很重要!

本文將解析因牙結石的深度而影響醫師的評估,牙結石由淺至深有不同的牙周病治療方式,如深部牙結石去除術牙周翻瓣手術牙周再生手術微創雷射治療

※本篇有真人口腔牙結石照片

牙結石長期不清除,影響牙周健康

牙周病是因長期口腔清潔不良,累積牙菌斑導致發炎,而細菌及口水的鈣質作用,長時間下來的作用會變成口內的牙結石堆積

牙結石表面因質地粗糙,細菌就更容易黏上去,當沒有定時把這些牙結石與牙菌斑做清除時,就邁入慢性牙周發炎的惡性循環

嚴重牙周病會有牙齒搖晃、咀嚼功能下降、甚至牙齒無法保留

牙周發炎的存在伴隨著齒槽骨的流失,若未能即時治療,隨著病情嚴重帶來牙齒搖晃增加等問題,導致明顯咀嚼功能下降的問題,甚至更嚴重可能導致牙齒無法保留

當有牙裂、蛀牙、牙周病時,牙齒能適當保留?還是非拔牙不可呢?Ft.張真豪醫師【品悅牙醫】

牙結石不同的深度有各自適合的牙周治療

淺層牙結石-洗牙

各位讀者們有定期檢查、洗牙的習慣嗎?
目前健保給付每年定期做洗牙,醫師會去除掉牙齒周邊的牙結石與牙菌斑

靠近牙齦上方的牙結石可以靠洗牙去除
靠近牙齦上方的牙結石,可以靠洗牙去除
(案例提供:品悅牙醫 張真豪醫師)

既然洗牙可以預防牙周病,那牙周病可以單靠洗牙治好嗎?
答案是不行的喔!

因為洗牙本身所清的牙結石基本上是牙齒上看得到的結石而已(如上圖所標示),而導致牙周病的牙結石及細菌常位在牙根更深層的位置。

因此被診斷為牙周病的患者,不是單單靠洗牙就可以治療,而是需要完整的牙周病治療療程!

同場加映:洗牙會痛會流血!?多久洗牙一次才能保持牙齒健康?

牙結石位置稍深-深部牙結石去除術

深部牙結石去除術是醫師會用特殊器械把牙齒周邊做徹底的清潔。

醫師將牙結石用力刮除動畫檔
用牙周刮刀將牙齦上牙結石刮除
(案例提供:品悅牙醫 張真豪醫師)

治療牙周病第一步就是要把牙根周邊附著滿滿細菌的牙結石盡量清乾淨,在這階段醫師會使用牙周刮刀等器械,把牙根周邊的牙結石去除,並讓牙根表面變更平整,讓後續牙結石及牙菌斑不易沾黏上去。

若牙周病病情不嚴重,且牙結石附著的深度不是很深時,配合患者日常執行的正確的口腔清潔,即可達到不錯的治療效果。

同場加映:牙周病及早治療不傷荷包!初期徵兆與治療手段

牙結石位置較深-牙周翻瓣手術、牙周再生手術、微創雷射治療

牙周病有深層 牙結石 常會伴隨更嚴重的發炎腫脹
有深層牙結石,常會伴隨更嚴重的牙周發炎、腫脹
(案例提供:品悅牙醫 張真豪醫師)

隨著牙周病的病情嚴重,牙結石會累積於更深的地方,如此會面臨治療視野受限、牙齒周邊的牙肉擋到,或器械放入深度遇到極限等問題,單單靠牙周刮刀等一般的器械,要做到理想治療其實是有很多限制在的。

因此當牙結石(細菌)位於傳統器械無法清到的位置時,可能需要透過牙周翻瓣等動作,讓牙根周邊做更理想的清潔。

不同支的牙周刮刀器械
牙周治療使用的牙周刮刀
(圖片提供:品悅牙醫 張真豪醫師)
因為牙周刮刀器械頭較大無法全面深入牙齦下方刮除 牙結石
牙周刮刀器械頭較大,放入深度受限
(圖片提供:品悅牙醫 張真豪醫師)

牙周翻瓣手術

牙周翻瓣手術在過程中,會把覆蓋在牙根表面的牙肉翻開,醫師會有更直接的視野看得到牙結石,以及更容易把器械放入牙根深處,可以徹底地把牙根周邊的牙結石及牙菌斑去除掉

不過牙周翻瓣手術治療因過程有切開及縫合等過程,術後不免會有不適感,但患有嚴重牙周病時,往往還是需要手術型治療的介入,才有辦法達到更理想的治療效果。

牙周翻瓣手術
受感染的牙根表面無阻礙,可以更徹底清除牙結石

同場加映:牙周病好恐怖!解析傳統牙周翻瓣手術與微創牙周手術

牙周再生手術

另外,如果牙周缺損形狀剛好適合放入骨粉的話,可以進行「牙周再生手術」,讓填入的骨粉材料變成健康的齒槽骨,病情比較嚴重時,手術型治療往往還是需要考慮在完整的治療計畫之中。

適合牙周再生補骨的牙周病缺損
有陷下去的牙周骨破壞很適合填塞補骨(牙周再生手術)

同場加映:牙醫師解答:關於牙周病的 7 個常見問題!

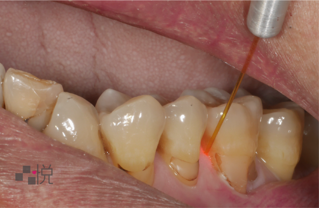
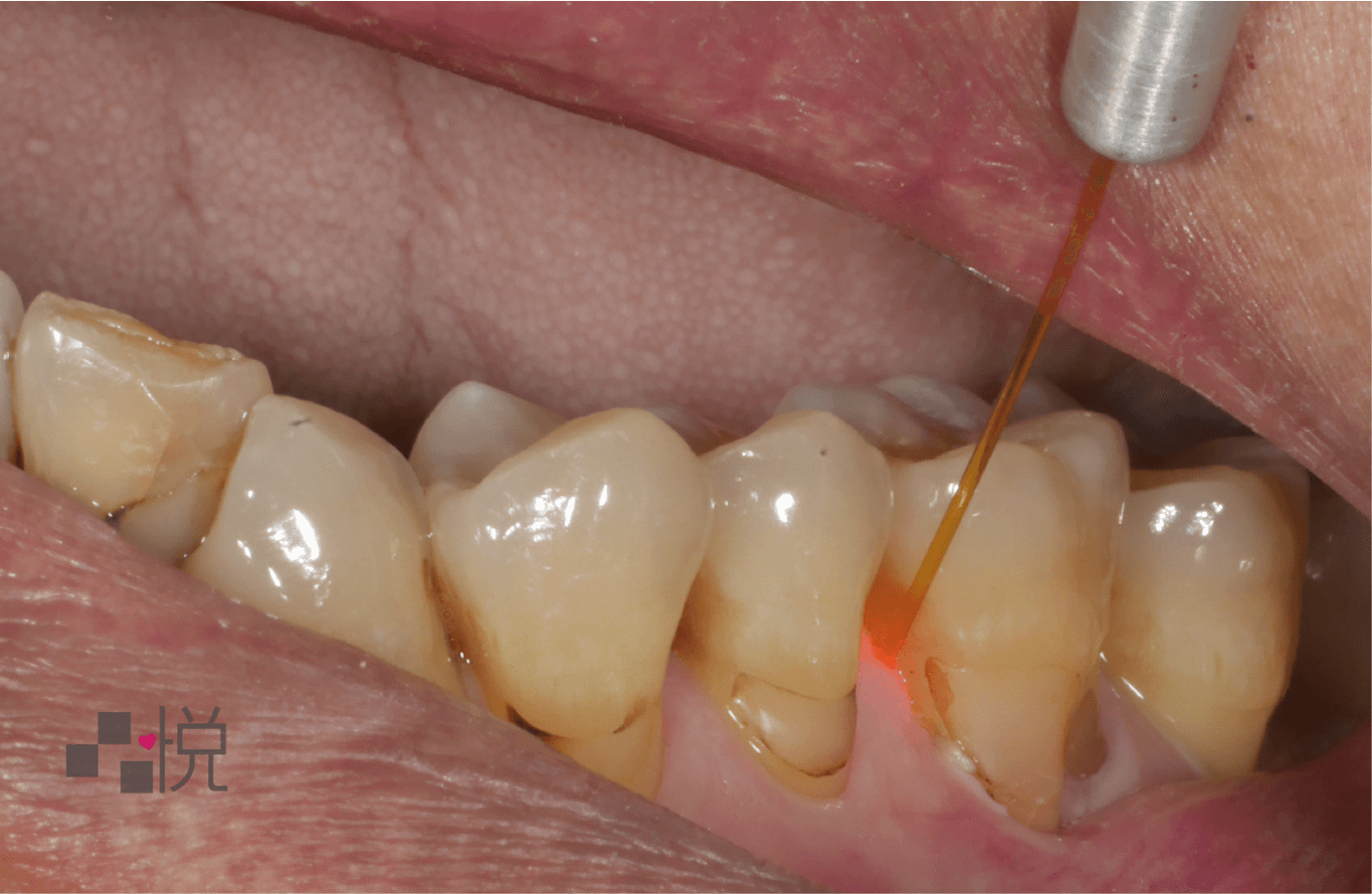
微創雷射牙周病治療

另一種適合牙結石較深處時使用的方法:微創雷射牙周病治療

雷射光深沉清潔牙周病的牙結石
微創雷射深層清潔牙周
(案例提供:品悅牙醫 張真豪醫師)

隨著牙科用雷射的發展,牙周病治療上病患也有了新的治療工具,不同於傳統器械,因雷射儀器較細小,讓醫師在治療中可以不用刀片或翻瓣等動作,達到更深層的牙周清潔,讓治療變得更保守且微創,對患者而言術後的不舒服度低

同場加映:牙周病不治療有影響嗎?微創雷射牙周治療低疼痛、傷口小、恢復佳

牙周病需要耐心治療

牙周病是一種慢性疾病

雖然牙周病無法僅看牙一次就能完成根治,但透過完整的牙周治療、搭配微創雷射治療,臨床上許多患者可以改善本來牙齦腫脹、原來動搖的牙齒也變回穩固,透過耐心、遵照依醫囑都能在牙周病後恢復到理想的牙周狀態喔!

牙周病微創治療後牙齦的腫脹情況改善
透過牙周治療搭配微創雷射,本來牙周腫脹情況消失、動搖的牙齒變穩固
(案例提供:品悅牙醫 張真豪醫師)

牙周病拖延易導致病情嚴重,恐導致拔牙

作為牙醫師一定要特別提醒各位讀者,有牙周病一定要即早治療,因為牙周病沒有即時處理或一直拖延時,牙周病治療會變得很複雜,而且當病情真的很嚴重,恐怕上述的牙周病治療也無法派上用場,就只有拔牙一條路可以選擇了⋯⋯

牙周病不會完全痊癒?!該如何治療牙周病〔牙周雷射篇〕 Ft.張真豪醫師【品悅牙醫】

醫師的話:定期檢查牙齒很重要!

這次解析牙結石從淺層到深層的各牙周病治療方式,最重要的是,希望各位讀者們一定要記得定期每半年洗牙、檢查牙齒,若有牙周病的問題,越早發現越早開始做治療,對牙齒的幫助是很的喔!

如果您是怕看牙齒或怕痛的也不用太擔心,本院醫師們都會很溫柔及專業地講解病情執行治療,也會為各位有牙周病的病友們計畫最理想的治療。

雖然牙周病不是來一次就可以就好,需要花一些時間可以控制病情,但為未來口腔健康考量,大家有牙周問題發現時一定要即時做適當的治療喔!

對付牙周病的專屬光劍?水雷射牙周病治療溫和又精確! Ft.張真豪醫師【品悅牙醫】

※聲明:文章為醫師的經驗談,每人口腔情形盡不相同,如有不適儘早就醫檢查才是正解

張真豪

張真豪

醫師
牙周科
精準數位植牙 水雷射 牙周病治療 牙周再生手術 鼻竇增高術 骨缺損處理 牙周美容手術
  • 國立陽明大學牙醫系
  • 台北榮民總醫院牙科部醫師
  • 台灣植牙醫學會會員
  • 密西根大學牙周病學及植牙進修
  • 行政院衛生福利部部定家庭牙科專科醫師
  • 台灣國際植牙醫師學會 植牙專科醫師
  • 中華民國植牙全國聯合醫學會植牙專科醫師