蛀牙不會痛就不用治療吧?!醫提醒恐釀蜂窩性組織炎和鼻竇炎、真實案例解析

撰文:黃莞婷 醫師

瀏覽次數: 12,160 次瀏覽

「醫生~我牙齒都蛀牙都蛀空了,可是不會痛欸,這樣還要處理嗎?」
「被醫生檢查說蛀牙,可是我不會痛也不會不舒服啊,應該蛀牙放著也不會怎麼樣吧?」

一定要提醒大家蛀牙應該要儘早處理!常見大家都覺得不會痛也不會影響到日常生活,往往就選擇忽略。但是不會痛不代表沒有問題,因為蛀牙持續進行,可能會產生蜂窩性組織炎或是鼻竇炎等,就不是單純補牙或是拔牙可以解決的

蛀牙的產生

蛀牙需要一些條件產生,分別是牙齒、時間、食物跟細菌。造成蛀牙的細菌會經由分解牙齒表面的食物殘渣,使牙齒的硬組織(珐瑯質、象牙質)分解破壞。

蛀牙隨時間變化的進程
蛀牙的進程

初期蛀牙:不易察覺

蛀牙的初期並沒特別的感受,牙齒最外層的珐瑯質常常是完整或者有輕微的脫鈣變白,有時憑著肉眼不一定可以看到蛀洞;牙齒鄰接面的蛀牙更難察覺,大多需要照 X 光幫忙確認檢查

延伸閱讀:看牙拍X光傷身?乳牙換牙、蛀牙、拔智齒、牙齒矯正X光重要性

中期蛀牙:牙齒敏感

當蛀牙持續進展,會到下方的象牙層,此時有的人會感覺到吃冰的、甜的、酸的很敏感

延伸閱讀:牙醫為了做假牙,才把蛀牙小黑點磨成大洞?破解磨小牙齒的迷思

嚴重蛀牙:牙髓腔感染

如果不處理接下來就會到達下方的牙髓腔,牙髓會因為細菌感染而導致壞死

同時,細菌可以從牙髓腔的空間往下到牙根尖,進而擴散至四旁的牙周組織或骨頭導致發炎,可能會有比較劇烈的疼痛不適,甚至鄰近牙肉臉頰腫脹或化膿

延伸閱讀:不拔牙還有救嗎?「牙裂、嚴重蛀牙、牙周病」拔牙因素及長久考量

蜂窩性組織炎

大量細菌出現在有問題的牙齒附近,加上身體免疫力較差或是有糖尿病等系統性,會讓細菌可以在短時間大量繁殖,但又找不到一個合適的出路,細菌便會找最鬆散的區域宣洩,也就是牙齒臨近的臉頰肉或是脖子喉嚨等區域。

牙科蜂窩性組織炎切開引流
蜂窩性組織炎口腔外科治療
(案例提供:黃莞婷醫師)

因此牙齒臨近的臉頰肉或是脖子喉嚨等區域,便會在短時間內快速腫脹可能合併有腫脹區域發熱、變紅、會痛,更嚴重的會壓迫呼吸道,導致張口困難吞口水會痛呼吸困難,此時就是所謂的蜂窩性組織炎

嚴重的患者也可能會有發燒畏寒的症狀,甚至需要住院及手術介入治療。

延伸閱讀:牙齦膿包自己破掉會好嗎?牙醫解析細菌感染成因與治療方式

鼻竇炎

鼻竇的位置

 上顎後方牙齒的上方有個空間稱之為鼻竇(上顎竇),牙齒跟鼻竇之間有一層骨頭來分界,一般來說牙根尖最靠近鼻竇的是上顎第一大臼齒。

嚴重蛀牙感染鼻竇腔剖面圖
因蛀牙造成的鼻竇感染

口鼻竇相通

細菌順著牙髓腔出了牙根尖產生反覆的發炎,慢慢會侵蝕掉鄰近的骨頭,逐漸讓這層骨頭被破壞,最後有一天可能會讓這個天花板破洞,而讓鼻竇跟口腔產生穿通,稱之為口鼻竇相通,可能會有喝水漱口覺得鼻子濕濕涼涼,甚至有水流出

鼻竇炎

而細菌進出鼻竇也會產生反覆的發炎轉變成為鼻竇炎。鼻竇炎常見的症狀包含有黃鼻涕鼻塞鼻子兩側臉頰悶痛、合併口臭嗅覺異常等,嚴重者也會有發燒頭痛等症狀。

此時,可能會需要口腔外科醫師及耳鼻喉科醫師一同介入治療,方能有效解決口鼻竇相通及鼻竇炎的問題。

鼻竇炎真實案例

沒有做定期牙齒檢查

黃小姐(化名)是忙碌的家庭主婦,平常要照顧兩個年幼的小孩而沒有定期做牙齒定期檢查。
但一個月前開始會覺得漱口有水從鼻子流出,也有明顯的口臭產生,右邊鼻子很容易鼻塞,擤鼻涕時都是黃黃的濃稠鼻涕,可是因為忙所以就沒放在心上,直到突然發燒才到急診就診。

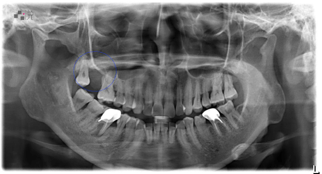
鼻竇炎嚴重蛀牙術前
黃小姐術前 X 光,藍色圈起處為有問題的牙齒。
(案例提供:黃莞婷醫師)
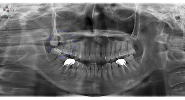
鼻竇炎嚴重蛀牙術後
黃小姐術前 X 光,藍色圈起處為手術完的區域。
(案例提供:黃莞婷醫師)

延伸閱讀:洗牙會痛會流血!?多久洗牙一次才能保持牙齒健康?

鼻竇清創手術

透過 X 光跟電腦斷層發現,右邊的鼻竇裡充滿了液體,因此耳鼻喉科醫師在進行鼻竇清創手術後發現整個上顎竇充滿了膿,同時也會診了口腔外科醫師,懷疑是口腔牙齒的感染造成的。

鼻竇炎電腦斷層
黃小姐術前電腦斷層,藍色圈起處為牙齒下方鼻竇穿孔處。
(案例提供:黃莞婷醫師)

拔牙與填入膠原蛋白

在口腔檢查後發現右上的第二大臼齒蛀了個大洞,牙齒很晃,口內有嚴重的異味。在 X 光跟電腦斷層也能發現,這顆牙齒的上方交界骨頭完全破壞,產生了口鼻竇相通。

嚴重蛀牙穿通鼻子拔牙
手術照片經淡色處理,箭頭所指處為鼻竇粘膜,術中拔除牙齒後發現,牙齒下方完全沒有骨頭,直接可以看到鼻竇發炎粘膜。
(案例提供:黃莞婷醫師)
傷口填入膠原蛋白,頰側牙齦及部分臉頰肉做缺損的修補,術後一個月表面都被健康的牙肉覆蓋,沒有口鼻相通的區域了。
(案例提供:黃莞婷醫師)

由於這顆牙齒蛀太大沒辦法補救,只能在局部麻醉下拔除,同時將下方發炎爛肉清除後,填入膠原蛋白促進傷口癒合,以及頰側牙齦部分臉頰肉做缺損的修補。

延伸閱讀:【拔智齒後注意事項】拔智齒會很腫、很痛嗎?傷口照護須知與膠原蛋白優點

手術後的復原狀況

手術完一個月後,終於沒有黃鼻涕、鼻塞或是口臭的問題了,生活也能回歸正常。

結語:小蛀牙不要放著不管!

蛀牙的過程中,因為每個人的體質不同,確實不一定會有疼痛感,也不一定會產生上述的蜂窩性組織炎或是口鼻竇相通合併鼻竇炎等問題。

但是一旦發生了上述的情況,往往都不是光靠補蛀牙就能解決的,拔牙或是進一步的手術介入都有可能需要,甚至更嚴重的還要長時間住院治療。

每半年的定期洗牙檢查,可以及早發現小蛀牙、及早治療,也能避免後面冗長且辛苦的治療過程喔!

深度蛀牙的救星!活髓保存術與微創齒雕給牙齒根管治療(抽神經)前多一次的機會 Ft.林家丞醫師【品悅牙醫】

※聲明:文章為醫師的經驗談,每人口腔情形盡不相同,如有不適儘早就醫檢查才是正解

黃莞婷

黃莞婷

醫師
精準數位植牙 智齒、阻生齒及贅生齒拔除 口腔囊腫白斑病變治療
  • 衛福部定口腔顎面外科專科醫師
  • 台灣植牙學會會員
  • 前新竹國泰醫院兼任口腔顎面外科主治醫師
  • 前汐止國泰醫院口腔顎面外科主治醫師
  • 長庚醫療財團法人台北長庚紀念醫院住院醫師
  • 中山醫學大學附設醫院口腔顎面外科訓練醫師
  • 中山大學牙醫學士