看牙拍X光傷身?乳牙換牙、蛀牙、拔智齒、牙齒矯正X光重要性

撰文:徐逸竹 醫師

瀏覽次數: 63,689 次瀏覽

「看個牙而已,為什麼要拍X光?」你也曾有過這疑問嗎?會不會有輻射量而傷害到身體?還有各式各樣的牙科X光種類,又有什麼不同呢?

其實牙科X光就像是牙醫師的透視眼,藉由X光超越肉眼的「口腔表面」所看不見的問題,常見的X光片被應用於是否有蛀牙、拔智齒、小孩的乳牙換牙、牙齒矯正、植牙手術、牙根發炎、牙周病、裝戴假牙、牙裂檢查等項目。

照牙科X光會傷身體嗎?

牙科X光輻射量

先來說大家最關心的X光劑量,對照行政院原子能委員會製做的醫療用 X 光輻射劑量對照表,在牙科X光都在圖表的最左邊的最低劑量

行政院原子能委員會醫療用輻射
牙科 X 光片輻射量低
(圖片來源:行政院原子能委員會)

另也附上一般人日常生活可能接觸到的輻射劑量,會發現照牙科X光的劑量是比台北往返美國西岸的輻射量還低,所以不用擔心會有照牙科X光輻射過量而有傷身體的問題喔!

行政院原子能委員會日常輻射影響
照牙科 X 光片比搭一趟飛機的輻射量低
(圖片來源:行政院原子能委員會)

降低到他院重複拍攝牙科X光情況

若有短期內常會進出不同的醫療場所,又不想接受過多的輻射考量,可選擇與原醫療院所拷貝X光影像後,帶去其他醫療院所,以利醫師診斷。

檢查牙齒為什麼要拍X光?

在了解牙科X光輻射量不影響身體健康後,牙醫師透過口腔檢查時,常需要搭配拍攝X光的原因是什麼呢?

徐逸竹醫師解答:「當醫師看過口內的狀況、牙科病史、潔牙習慣,懷疑有『肉眼無法確認』的牙科問題,就會需要拍X光來輔助診斷,依患者狀況決定拍攝X光的類型。」

當牙醫師懷疑肉眼無法確認的牙科問題,將會拍攝X光片確認。

不同類型牙科X光有其必要性

各X光各有特性,最常見的就是患者已拍全口X光片,為何牙醫師要再拍攝局部根尖片呢?

「因不同的X光影像範圍及精細度皆不同,視醫師評估所需拍攝喔!」

因為當X光的範圍越小時,精細度會越好,反之X光的範圍越大時,精細度會越差,因此會依狀況及治療需求做不同的拍攝選擇。

常見的牙科X光拍攝時機

常見需要輔助拍攝X光有各式各樣,如:初診全口檢查、兒童乳牙換牙、拔智齒、牙齒矯正、蛀牙、牙根發炎、牙周病、假牙裝戴、牙齒外傷、牙裂檢查、植牙手術等。

接著就一一和大家說明各情況所需拍攝的X光吧~

初診建議拍攝全口X片

常見於患者初次到診所時,除了會透過醫師的口腔檢查,會拍攝全口X光,是為了確認「所有口腔的狀況」,包含是否有缺牙、牙周病、蛀牙、根管治療、假牙牙套、根尖發炎等情況,醫師透過X光片判讀後,與患者討論目前的口內狀況及後續建議的治療方針。

依全口X光片檢查:缺牙、根尖發炎、現蛀牙位置、曾根管治療過、假牙牙套等。

兒童乳牙換牙

孩子在換牙階段時,醫師能透過X光片來了解孩子的恆牙是否有缺牙、萌發的狀況、乳牙牙根吸收狀態、判斷是否有蛀牙等狀況。

兒童換牙階段透過X光能了解乳牙、恆牙生長情況、並檢查是否有蛀牙。

延伸閱讀:【乳牙Q&A】幾歲換牙、恆牙會長歪嗎、乳牙蛀牙、溝隙封填、空間維持器

拔除智齒的評估

智齒可能會於青少年時期至成年開始萌發,會透過拍攝X光來評估是否需要拔除智齒,以及是否為水平智齒需轉由口腔外科醫師拔牙。

透過X光評估智齒生長情況、是否需要拔除智齒。

延伸閱讀:拔智齒後注意事項!傷口照護與膠原蛋白優點

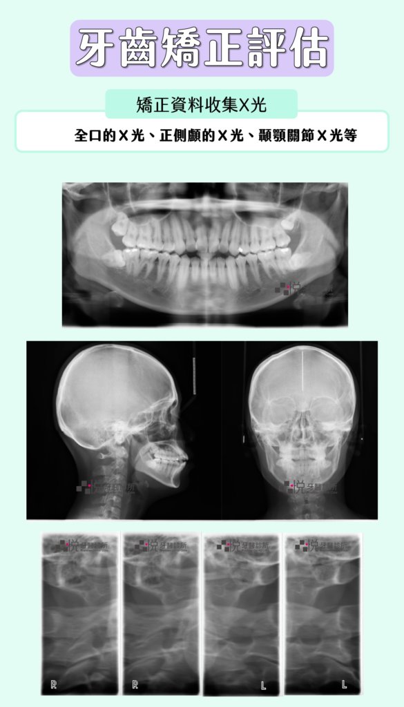
矯正牙齒

牙齒矯正前的資料收集,會拍攝多種類型的X光片,包含全口的X光、正側顱的X光、顳顎關節X光等,讓矯正醫師有充足的數據分析,進而擬定合適的矯正計畫。

矯正資料收集的X光包含:全口的X光、正側顱的X光、顳顎關節X光。

延伸閱讀:牙齒矯正前要知道的事:戴牙套的四大流程報你知!

在牙齒矯正期間,通常醫師會於矯正的每半年會再拍攝全口的X光片,以檢查肉眼所看不到的牙根的移動狀態,並同步檢查是否有蛀牙或安排家庭牙科醫師進行洗牙。

延伸閱讀:牙套人必知!矯正拔牙/矯正墊高咬合/矯正器掉了/維持器戴多久

牙縫蛀牙

當醫師懷疑有肉眼所看不見的「牙縫蛀牙」,就會安排拍攝根尖X光片的,能更局部放大、檢查牙縫蛀牙的情況。

以X光確認牙縫蛀牙的深度範圍。

延伸閱讀:刀下留牙啊~深度蛀牙除了根管治療還有活髓保存術?

這邊徐醫師也提醒大家~
要降低牙縫蛀牙的情況,記得一定要正確使用牙線,因為牙縫是單單刷牙無法徹底清潔到的唷!

遠離蛀牙、牙周病!牙醫教你不花冤枉錢的用對牙刷、牙膏、漱口水、牙線、牙間刷、沖牙機 Ft.徐逸竹醫師【品悅牙醫】

根尖發炎

在拍攝局部X光片中看見根尖發炎,能清楚了解根尖發炎程度,並且在根管治療(俗稱抽神經)後,以X光追蹤根尖復原情況。

牙根發炎能從X光了解發炎程度。
(案例提供:竹北品悅牙醫 徐逸竹醫師)

牙周病檢查

健康的牙齦(牙肉)在刷牙、牙線,不應該會有流血的情況,如透過醫師口內檢查也評估有牙周病情況,常會安排拍攝X光片,了解目前牙周病情況,使醫師判斷骨頭流失的情形,以及評估牙周病的程度須搭配的治療。

以X光片了解牙周病治療前後變化
(案例提供:竹北品悅牙醫 徐逸竹醫師)

延伸閱讀:牙周病不會自己好!醫師解析牙結石深度影響牙周病治療方式

根管治療(抽神經)過程

在根管治療(俗稱抽神經)的治療前、中、後,會透過拍攝X光片,以確認根管治療的品質

以X光確認根管治療品質。
(案例提供:竹北品悅牙醫 徐逸竹醫師)

延伸閱讀:抽完神經要怎麼選假牙牙套?牙醫師教你挑!

裝戴假牙

透過X光片為給醫師判斷假牙是否有密合、是否有無縫隙時需安排拍攝X片。

透過X光給醫師判斷假牙是否密合、有無縫隙。
(案例提供:竹北品悅牙醫 徐逸竹醫師)

延伸閱讀:牙醫為了做假牙,才把蛀牙小黑點磨成大洞?破解小牙齒的迷思

牙齒外傷

若是因外傷撞到牙齒,會需要拍攝X光片輔助診斷,來決定後續的治療,也常需要作追蹤檢查來觀察受傷後的後續變化。

牙齒外傷以活髓保存術治療,以X光追蹤受傷的後續變化
(案例提供:竹北品悅牙醫 徐逸竹醫師)

延伸閱讀:牙齒抽神經後,一定要套假牙嗎?假牙像是根管治療後的安全帽

牙裂檢查

透光X光可以檢查出一小部分的齒裂,但大多數裂痕較小或是角度因素不一定有辦法從X光檢查到牙裂。

若無法透過單張X片找出裂痕,此時可搭配臨床檢查(例:牙科顯微鏡)問診,加上電腦斷層做輔助診斷。

X光檢查出一小部分的齒列,若是裂痕較小或角度因素則需搭配臨床檢查、點腦斷層做輔助診斷。
(案例提供:竹北品悅牙醫 徐逸竹醫師)

植牙手術

透過3D斷層X光影像,能輔助植牙導航手術、導引手術最佳利器,能更加瞭解預計缺牙/植牙區域、神經管、骨頭厚度偵測、預估合適植體尺寸及位置等。

植牙手術能了解缺牙的植牙區神經管、骨頭厚度、植體尺寸等
(案例提供:竹北品悅牙醫 徐逸竹醫師)
「讓他誠心推薦品悅牙醫導航植牙的原因」Ft.張志嘉醫師、趙子睿醫師【品悅牙醫】

結語-牙科X光是醫師的透視眼

希望這次的分享有讓你更知道拍攝牙科X光片的重要性!破除傳統對於X光片的疑慮,配合醫師指示下適當的拍攝X光,並做好保護(正確穿著鉛衣),能有效的助於醫師臨床診斷。

牙科X光猶如牙醫師的透視眼,能更能早期發現、早期治療,以免於牙齒症狀越拖越嚴重喔!

乳牙蛀牙治療方式?孩子要照牙科X光嗎? Ft.徐逸竹醫師【品悅牙醫】

※聲明:文章為醫師的經驗談,每人口腔情形盡不相同,如有不適儘早就醫檢查才是正解

徐逸竹

徐逸竹

醫師
家庭牙科
  • 台北醫學大學牙醫系
  • 台北榮民總醫院牙科部醫師
  • 台灣國際植牙醫師學會 植牙專科醫師
  • 中華民國植牙全國聯合醫學會植牙專科醫師