大家是不是偶爾會看看懷舊的電影呢?
有沒有注意到,以前大明星的牙齒,跟現在電視網路上的常見漂亮笑容比起來,仍是遜色不少呢?
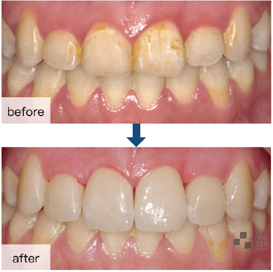
由於牙齒只要稍有不慎蛀牙、撞到,或是先天牙齒的比例排列不好,以往都是難以遮掩的瑕疵。但在牙科技術的進步之下,許多人都踏上了微笑設計及前牙美學之路,裝戴上猶如精品的全瓷貼片,擁有完美自然的笑容,變成普遍又容易的事了呢!
之前提過,科技的演進讓全瓷假牙的製作掀起革命性的改變,從開始製作到裝好假牙,只要一天的時間。
當一日假牙的現代技術,合併前牙美學及微笑設計的概念,便能完成一日前牙假牙/一日貼片,一天就得到嶄新美麗的笑容,且穩定性及強度與傳統治療無異。

當然術前仍需要經過醫師諮詢、擬定治療計劃,術後也需要回診追蹤。通常⾄少需要 4-5 次約診。
牙縫過⼤、牙⿒輕微排列不整、牙⿒長寬比例不對、牙⿒變⾊、牙⿒磨損、撞傷等等,都可以做陶瓷貼片。
同場加映:後悔做陶瓷貼片?牙醫教你分別有品質和劣質美齒貼片的差異
就如同房子漏水、地基不穩,就不能進行裝潢;牙齒有蛀牙、牙周病,是沒辦法製作牙齒貼片貼片或假牙的。
若是排列不整的情況較嚴重,通常會需要修磨很多牙⿒,這樣的情形就較合適諮詢牙齒矯正或是牙齦⼿術,此外還有⼀些較少⾒的因素,也會影響製作,請臨床讓醫師評估囉~
陶瓷貼片的色澤可以選擇要明顯變白的,或是選擇與自己齒色較相近的。


陶瓷塊的顏色、透度,隨著時代進步,有不同廠牌、數百種的選擇,其中還有內建不同漸層顏色的陶瓷塊,可以達到極為自然的效果。
通常電腦製作出來的效果,較適合整排製作或對稱製作,例如前牙 6到8 顆。
同場加映:假牙顏色自然要知道的 7 個Q&A!圖文及影片解說全攻略
但遇到單顆假牙,或是不對稱製作時,預先製作的瓷塊仍無法達到完美與自然,需要由技師一層一層手工鋪上陶瓷粉去模擬跟天然牙一樣的色澤、透度。需要仰賴技師的經驗,較不適合進行一日的製作。
當天通常會上局部麻醉,因此過程中幾乎不會疼痛。
不適主要來自於要長時間張口、躺著不動,所帶來的臉頰及肩頸痠痛。若是特別害怕看牙的人,也可以使用舒眠麻醉。
裝完假牙後,通常牙肉會有輕微腫脹,有時張口太久,嘴唇偶爾也會有破皮、潰瘍等情形,不過幾乎會在數天內會恢復。少部分人會出現牙髓發炎的現象,通常發生率不到 5%,若有這樣的情形建議與診所聯絡。
需要修磨的量,通常要看牙齒本身的排列、形狀、蛀牙大小、以及你想要的設計。
排列越不好,通常需要磨牙齒的量越多,因此排列不整首要選擇仍是矯正。
另外蛀牙越大,為了包覆蛀牙以免再次蛀牙,有時修磨量也會較多。
一般陶瓷貼片僅需 0.3-0.5 毫米的修磨量,就有足夠的強度,並且讓牙齒美白 2-3 個色階,對大部分的人來說都是足夠的。如案例圖中顯示貼片與假牙磨牙齒量的差別,若不特別標出,貼片的磨牙量,乍看之下可能還看不出來呢!
同場加映:牙齒抽神經後,一定要套假牙嗎?假牙像是根管治療後的安全帽
一日貼片可以用多久?做完可以使用多久?要注意什麼呢?
通常貼片及假牙的十年成功率都在 9 成左右,最常發⽣的失敗原因是蛀牙及陶瓷破裂。
使用上當然要仔細清潔,不要啃食過硬過黏的食物,例如用陶瓷貼片啃雞骨頭、啃玉米棒、吃花生糖等,但一般的飯麵菜肉幾乎都是可以食用。
另外若有磨牙的情形,需要配戴咬合板,因為磨牙的⼒道為⼀般咬食物的數⼗⾄數百倍,破壞⼒相當驚⼈。
另一個令人在意的是變色和染色的問題。以前的黏著劑較容易變色,但現在的黏著劑幾乎沒有這個問題。
反而是真牙會隨著年紀變黃、變暗沉,食用的東西也會造成真牙的染色,但陶瓷表面光滑,色素不易附著。因此久了以後,假牙與真牙的色差會加大。
此外陶瓷表⾯是非常光滑,沒有⽑細孔,再怎樣都比真牙不易染⾊,非常容易維持。通常只有極重度的咖啡及茶飲者,或是抽煙者,才有機會染⾊。
牙齒的一日美學前牙設計的眉眉角角實在太多,方法也百百種。
你想要最保守、最不用修磨牙齒的治療,或速戰速決的治療?
想要讓人眼睛一亮、但一下子說不出是改了什麼,或是戲劇性地改頭換面像電視裡的明星?
不管是哪一種,最重要的是要了解自己的問題在哪,以及自己想要的 style。確定一個目標後,就讓我們攜手完成吧~
※聲明:文章為醫師的經驗談,每人口腔情形盡不相同,如有不適儘早就醫檢查才是正解