這兩年來因為疫情的關係,許多人都趁著口罩不離臉的這段時間,來場牙齒的大改造,也因為這樣我的門診期間來詢問陶瓷貼片的人數整個大暴增。
我其實是很喜歡跟患者聊天抬槓的,但是每天都要不斷重複解釋著同樣的內容,讓我萌生了一個念頭要寫篇陶瓷貼片文章來衛(囉)教(唆)一下,把那些關於陶瓷貼片的各種迷思一次說個明白。
網路上充斥著關於貼片慘痛經驗的各種分享,比如說顏色外型和心裡預期的差很多、牙齒貼片一直脫落、牙齒敏感、咬合不舒服、牙齦發炎、二度蛀牙等等,大概都是你去估狗一下陶瓷貼片就可以查到的問題。
但說穿了,難道陶瓷貼片真的會帶來那麼多問題嗎?還是說這其中有某些誤會呢?密醫、美齒店的牙齒貼片有多可怕?
與其去 Google 或從親朋好友那邊得到一些片面的資訊,倒不如好好的來看一下這篇陶瓷貼片文章 ~
陶瓷貼片在社群網路和媒體娛樂圈的推波助瀾之下,詢問度和普及率大增,儼然成為了美麗微笑或是時尚的指標。然而在這個醫療方式漸漸地被商業化之後,各種亂象也就層出不窮了。
講到密醫,我們立馬浮現一個畫面:一個陰暗的小角落,配上鏽蝕斑駁的器械設備和濃濃的藥水味,典型的電影場景。
但是,現實生活中,一些裝潢的美侖美奐、服務親切的 「牙齒美學館」或者 「美齒 SPA」,也違法提供了所謂的 「美齒貼片」、「水晶牙雕」、「奈米樹脂貼片」等選項。有些甚至會瓢竊正規牙醫診所的陶瓷貼片案例照片,用來騙取民眾信任。
這真的是一件極度恐怖的事,為什麼這樣說?
因為牙科裡正規的陶瓷貼片治療,其實是有許多醫療診斷上的專業考量、咬合力學上的分析判斷、以及對於顏色型態的敏銳感覺。
這些事項對於陶瓷貼片的長期成功率有非常大的影響,連受過專業口腔醫學訓練的牙醫師都需要花很多的時間才能熟悉並精通這些專業技能,那你到底對密醫做的貼片在期待些什麼?
會拉拉操縱桿並不代表很會開飛機。同理,會把一坨東西黏到牙齒上,不代表很會做貼片。(事實上,密醫做的事情,就是黏一坨人造牙結石到你的牙齒上。這樣你也要?)
在我的門診中,看過不少被人造牙結石(密醫貼片)給荼毒的患者,他們抱怨的內容不外乎以下幾項:
拜託 ~~~ 光是陶瓷黏著學都可以在牙醫系開一門一整學年的課程了好嗎?
牙齒表面的備製( surface preparation)、清潔( surface cleaning)、橡皮帳隔濕( rubber dam isolation)、酸蝕處理( etching)、黏著劑選擇及黏著劑聚合方式⋯⋯等等,每一項無一不是充滿細節,對於長期成功率又有著巨大影響。
你怎麼能期待這些密醫精通這些專業學識,並且用這麼低廉的價格提供良好的品質呢?孩子,別傻了。他們不懂,也不會這樣做。
良好的咬合提供我們正常舒適的咀嚼功能,而牙齒型態一旦經過改變以後,就需要再重新檢查咬合模式是否適當。
除了在中心咬合( centric occlusaion,就是上下排牙齒有一個穩定最大咬合的狀況)位置不能有咬合干擾以外,我們更要確認在側方運動( lateral movement,牙齒咬著時下顎左右移動)和前方導引( anterior guidance,牙齒咬著下顎前後移動)的時候,上下牙齒有適當的咬合接觸避免力量過度集中在單一填補物上,造成後續的填補物脫落或破裂。
這些咬合調整的細節可能和美不美無關,但實則對長期穩定性及功能性有著巨大的影響。
為了讓牙齒在修復以後達成和諧一致的顏色,我們牙醫師會將填補物的邊緣放在牙齦齊平( equal gingival)或是牙齦下( subgingival)。
若填補物和牙齒交界的邊緣平順,對於周圍牙齦的健康會是大加分。這個交界要修到平順光滑,同時還不能修磨到旁邊的牙齦,就需要專門的拋光及放大設備。
若沒有處理好,原本為了讓牙齒變美的貼片反而會變成人造牙結石,反覆引起牙齦紅腫流血發炎,嚴重者甚至變成牙周病問題最後變成拔牙的下場。
延伸閱讀:【不想拔牙看這篇!】拔牙與不拔牙的風險評估、缺牙的影響與建議
誒 ⋯⋯ 這個很正常,因為密醫沒有 X 光設備,也不會幫你仔細檢查有沒有蛀牙,更別說妥善地把蛀牙問題先處理好再來進行美齒貼片療程了。
這樣製作的牙齒貼片就像裹著糖衣的爛蘋果,金玉其外敗絮其中。
延伸閱讀:看牙拍X光傷身?乳牙換牙、蛀牙、拔智齒、牙齒矯正X光重要性
非專牙醫團隊做的陶瓷貼片容易顏色不自然,非常不專業。
畢竟要用陶瓷來模擬自然牙的顏色,需要對牙齒的結構和光學效果有一定程度的理解,才能夠以多層次堆築的方式來表現出顏色的深度和變化性。
除了材料本身的品質會影響顏色和表面光滑程度以外,在修整後的拋光也是需要專業的設備按部就班的把每一個步驟做好,才能夠得到閃閃發亮的表面。
很常看到坊間那種白到嚇死人但是表面又很多染色的貼片,就是因為材料品質不佳再加上沒有妥善拋光的結果。
為什麼密醫做的陶瓷貼片型態很奇怪,牙齒很厚,看起來一整個就是大暴牙呢?
很多密醫的免磨牙貼片看準了一般大眾「不喜歡修磨牙齒的心態」,於是標榜著「免磨牙」的名號來吸引民眾。
其實,你可以仔細想想免磨牙代表什麼意思?
陶瓷貼片是一層有厚度的東西。試想如果你今天有著理想的牙齒排列,結果用標榜「不磨牙的貼片」來改善牙齒的顏色問題,那麼術後牙齒的型態一定會比術前的位置要來的突出,變成大家口中的暴牙。
免磨牙陶瓷貼片這件事情,其實是靠牙齒本身的條件和理想的牙齒最終形態來共同決定的,大多數的狀況其實還是需要修磨牙齒。
再者,如果沒有接受過牙齒型態學的專業訓練,很容易就會做出奇形怪狀,長得像磁磚或饅頭的牙齒,我想應該沒有人能夠接受這樣的東西在嘴巴裡面共存吧 ?
延伸閱讀:牙醫為了做假牙,才把蛀牙小黑點磨成大洞?破解磨小牙齒的迷思
面對密醫,我一定是毫不留情的抨擊。因為沒有接受過專業訓練就敢隨意幫人進行牙科治療,不管在法律上或是道德上都是不被允許的,這是在害!人!
所以無論如何,請你絕對不要尋求非正規的醫療行為,那是在傷害自己而已。
那你可能會問「呃,蘇醫師,你說不要找密醫做貼片,但是很多牙醫師也是雷雷的啊?那我踩到雷牙醫的話不是花大錢又傷身嗎?」
很好的問題。所以下面的篇幅,我們要來說明一下「正規的陶瓷貼片治療」應該要有的流程和步驟,希望這些資訊能夠幫助你在尋找醫師的過程中趨吉避凶。
如果你還在茫茫牙醫海中尋尋覓覓,那麼我可以提供以下幾個在貼片內比較重要的治療指標,你可以用有無做到這六項指標做為挑選醫師的依據。
正因為「美」是非常主觀的感受,所以患者本身的想法在治療計畫訂定的過程中,就顯得格外重要。
每個人都有夢想中微笑的樣子,而牙醫師的責任是在完整收集患者的口內外資料(包括患者想法、口內外模型、口內外照片)之後,定出一個醫療上合理且盡量符合患者需求的型態。
在合理的範圍內,我覺得醫師可以適當給予患者關於美觀上的建議,讓患者對於牙科之美有更近一步認識並接受。
但若有時候患者的想法太天馬行空不切實際,醫師也可以基於專業健康考量適時修正患者的想法。
延伸閱讀:為你的自信笑容投資|陶瓷貼片與微笑曲線心得分享【謝小徽的旅行手札】
現在的口腔審美治療重建,已經從以前的以功能為導向逐漸轉變為以美觀為導向的審美重建。這邊提到的以美觀為導向的含義是在恢復口腔健康以及長期穩定性的前提之下,以達成患者美觀的牙齒型態及和諧笑容為最終的目標。

所以整體治療計畫的訂定,就需要把患者對於治療結束後的牙齒型態和笑容都預先考慮進去。數位微笑設計的發展,讓醫師可以在術前收集的照片上去設計最終牙齒的外觀,並且依據從原先到設計型態牙齒位置型態的改變來決定「什麼樣的治療才能夠達到這樣的轉變」,並且以此作為和患者討論治療計畫的依據。
光是有數位微笑設計其實還不夠,因為我們的設計都是在平面的照片或是立體模型上,大多數患者其實很難想像將來重建完成之後整體看起來會變成什麼樣子?
如果要讓患者對於最終治療結果有更具體了解的話,我們可以藉由翻模轉印的方式將設計好的「最終牙齒型態」用臨時的材料(一般來說是樹脂)轉移到口內進行口內模擬。
如此一來患者可以在進行治療之前,就預先看到重建後的樣子,患者更可以在這個階段針對型態的大方向來和醫師討論及調整,達到一個合理而且符合患者期待的治療方向。
延伸閱讀:竹北品悅牙醫<陶瓷貼片>諮詢分享:數位微笑設計&試戴模擬全紀錄【珂荷莉 Coralie】
陶瓷貼片的修磨是一門非常細緻的學問,精準的最少量修磨可以最大化的保留牙齒表面的琺瑯質,而琺瑯質的表面越多,對於陶瓷貼片黏著的強度和穩定性會有非常關鍵的影響。
再者,最少量修磨可以減少牙本質露出的情形,可以有效降低陶瓷貼片術後敏感的情形。

而藉由影像放大設備(例如放大鏡或顯微鏡)的輔助,牙醫師才能夠由平常裸視的解析度提升到毫米甚至微米等級的解析度,看到更多的細節,進而達到非常精準的各項操作。
延伸閱讀:【牙科顯微鏡】補牙無痕、假牙密合、陶瓷貼片薄度,治療更提升!
陶瓷貼片和牙齒之間是靠著樹脂類的黏著劑來達到穩固的黏著,而樹脂黏著劑黏著最重要的三件事就是黏著表面處理、黏著表面清潔以及隔離水氣和水分。
用簡單一點的比喻,就像我們要黏貼紙一樣,首先要選擇適合的表面(適合黏粗糙面或光滑面),再來要把東西表面的灰塵髒污清潔乾淨,然後要黏合的時候千萬要注意黏貼的地方不能碰到水,不然整個貼紙的黏著性就會大幅下降。
而水分對於樹脂黏著劑的硬化及聚合又有特別大的影響,所以利用橡皮障去隔離水氣與水分,讓黏著劑達到最佳的效果,就是黏著陶瓷貼片時很重要的步驟。
在進行陶瓷貼片療程之前,首先還是要先把蛀牙的問題給處理好,不然美美的陶瓷貼片只會變成包裹爛蘋果的糖衣,外觀上漂漂亮亮但是任由裡面慢慢腐爛。
所以最理想的順序,應該是先把所有的蛀牙問題、牙齦發炎或牙周病問題或者排列不整齊的問題先處理好之後,再進行陶瓷貼片療程,讓貼片的治療是基於健康的牙齒結構及牙周狀態,這樣才有長期的穩定性可言。
當然以上所提的幾個評估指標並非絕對,但如果醫師的術前評估及準備做得越詳細,就比較能夠避免術中出現一些預期之外的狀況發生,讓治療順順利利的完成。
所以,你可以多聽多看多問多比較,或者是看看醫師呈現出來的案例是否有和諧健康的結果,這些都能夠讓你在陶瓷貼片治療的過程中趨吉避凶。
口說無憑,看案例~~~
實在是太難,這邊就老蘇我賣個瓜,藉由我五年前完成的一個關閉門牙縫的貼片案例,來跟大家說明一下什麼才算是高品質的陶瓷貼片療程。
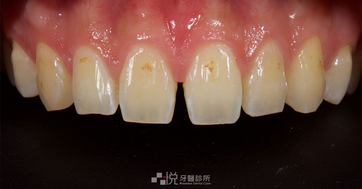
我們今天的主角阿豪(化名)從研究所畢業之後,投入職場勤奮工作也有幾年的時間了。第一次在門診看到他時,我就發現靦腆的他總是不太愛笑,頂多就是淺淺的微笑。
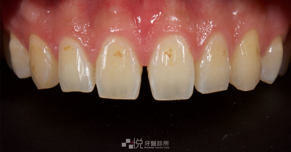
檢查以後我才發現原因:「阿豪的兩顆門牙中間有一個不大不小的牙縫,每次笑起來那邊就會很明顯有一個黑色的洞」,難怪他的笑容總是帶著尷尬。年近三十的他,決定在這次三十歲的生日送給自己一份不一樣的禮物:「一個新的笑容」。
「蘇醫師,我這個牙縫的問題要做牙齒矯正比較好,還是說用陶瓷貼片或者美學樹脂填補?我的牙齒排列和咬合看起來沒有什麼太大問題,上下排中線也沒有偏移太多,是不是可以用不靠矯正的方式?」
阿豪來找我之前顯然已經上網做了一些功課,言談間儼然已經對於之後的治療方向有了一些概念。

我跟阿豪說:「我現在還沒辦法馬上給你下結論欸,因為要考慮的事情太多了,我們今天先做資料的收集,包括取口內模型、拍攝口內的照片以及臉部的照片,然後給我一些分析的時間,這樣我才能給你一個比較完整的治療建議喔 ~」
正如我前面提到的,完整的資料收集和分析,才能夠訂出正確的治療計劃。所以只能讓阿豪略帶失望回去了,再等兩個禮拜才能知道答案。
「蘇醫師,所以我需要矯正嗎?還是做陶瓷貼片就好?哪種材質適合我?我查過資料了,陶瓷的強度還是比樹脂好一些,如果要考慮到長期的穩定性的話我還是想選陶瓷貼片。」兩個禮拜後,阿豪一跳上診療椅就連珠砲似的問我,果然是做足了功課。
「根據你上次收集的資料和分析,因為⋯⋯然後⋯⋯再來⋯⋯(以上省略三千字),所以我的建議是利用陶瓷貼片來關閉牙縫就可以了。」阿豪對於我的囉哩八唆絲毫沒有不耐煩,專心的聽到了最後結論以後,他露出了大大的笑容伴隨著那個黑黑的牙縫 —— 真的是超級顯眼。
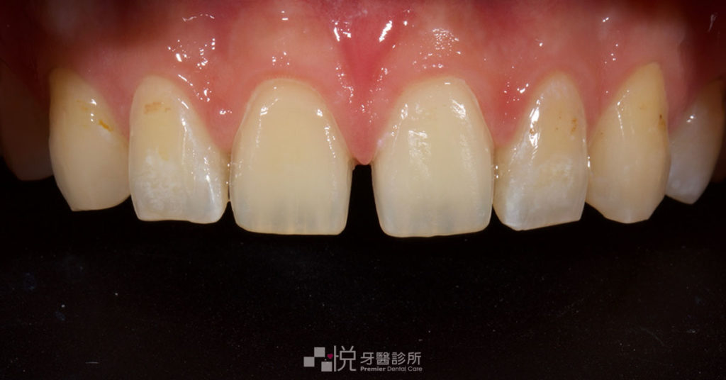
在我們對治療計畫有了共識以後,接下來就是進行口內模擬:用臨時性的樹脂材料來模擬貼片完成後的大致外觀。

阿豪看到鏡子裡的新笑容跟我回饋:「蘇醫師,我想要這兩顆門牙再長一點,然後這裡的角度不要這麼銳利。喔,這個地方我想要做一點牙齒表面的起伏,讓型態再更自然一點。」
在我的門診中,每一位患者都可以在口內模擬或臨時假牙的階段,針對復形物的外觀提出自己的想法並且調整,最後得到專屬於他們的笑容。也只有在外型確定定案以後,陶瓷貼片的治療才能進入到牙齒修磨及印模的階段。
阿豪的牙齒條件是屬於那種不太需要修磨齒質的狀況,他原本的牙齒需要增加一些厚度和寬度才能達到理想的外型,而這些需要的厚度正好符合了陶瓷貼片所需的最小厚度要求。

在這個狀況下,其實是不太需要上麻藥的,甚至是連外觀上都看不出來牙齒有修磨過,阿豪因此體驗了一次前所未有的舒適的牙科體驗,他甚至在治療到一半的時候開始打呼 😅

模型印好之後,就要交給專業的牙科技師來製作陶瓷貼片。技師在放大設備的輔助下,一層一層堆疊瓷粉並且經過燒結修整拋光,才能完成一片高度仿生的陶瓷貼片。
這種手作的擬真陶瓷貼片已經可以稱之為藝術品了,因為它的顏色變化和多層結構並非單一瓷塊切削的貼片可以比擬的。收到技師送回的成品,我小心翼翼地拿著這一對陶瓷貼片細細端詳,薄如蟬翼卻附載著阿豪未來自信帥氣的笑容。
終於!阿豪盼到了他心心念念的陶瓷貼片裝戴日,一早我才剛走進診所,他人已經在候診區坐著等了🤣

在橡皮障隔濕的狀態下,我們仔細的把牙齒表面清潔乾淨並且酸蝕,貼片的黏著面也經過酸蝕和偶合劑的處理,選擇好黏著劑的顏色以後,在一個幾乎完美的狀況下來進行黏著。
「還真的完全看不出來是假牙,有夠逼真,就跟我朋友說的一樣。」阿豪起身後,看著鏡子裡的笑容,得意的說。我也接著答話:「你朋友是哪一位啊?也有給我做過治療嗎?」
「就是你們這邊的助理XXX啊,他還說你很有耐心,我可以挑惕一點沒關係。」
「 …… 」原來我被賣了。
※聲明:文章為醫師的經驗談,每人口腔情形盡不相同,如有不適儘早就醫檢查才是正解