什麼是全口重建?我需要全口重建嗎?通常有多處牙齒有問題、拖了許久,從牙齦發炎、牙痛、牙周病、蛀牙、缺牙、亂牙等等,下定決心要好好整理一番的人,都可以納入「全口重建」的範圍。
但是⋯⋯你害怕看牙嗎?饒醫師教你三招一起克服看牙心魔,並且統整看牙前的準備、如何挑選合適的醫師、實際分享全口重建的案例,就讓我們繼續看下去吧!
許多人因為怕看牙而拖著,結果本來的問題越拖越大,就更害怕了。一想到要看牙,就覺得眼前一片黑,彷彿要掉進深淵裡!其實這幾乎是饒醫師臨床最最常聽到的心聲,你並不孤單。
通常我會按照病患的情況,去選擇以下的方法:
列出害怕的事情,盡可能慢慢克服。
例如比較常見的害怕看牙治療過程中會很痛,那就可以在麻醉前,先敷較久的麻醉藥膏。
害怕未知的事物,我們就在每個步驟前,告知接下來可能會有的感受,院所內也有經驗豐富的各領域專科醫師,可以在最短的時間內給予最完善的治療,比較不會多走冤枉路。
你說你不想或無法克服恐懼?!
那也沒有關係,我們有長期合作的麻醉醫療團隊,直接讓你在接近像是睡著(半夢半醒)的情況下完成重大治療,將不適的情況降到最低。
甚至許多患者試過後,都說相見很晚,早知道就不用那麼害怕看牙了。
同場加映:害怕植牙很痛?搭配導航式植牙與鎮靜麻醉治療帶來安全舒適的植牙體驗
如果對侵入式治療感到害怕,或身體狀況不允許,我們可以盡量想出替代的治療方案。
有些狀況不用勉強做太困難的治療,也能達成全口重建的。
重點是要讓醫師知道你害怕的事情,並且找到能針對你的情況,做出完善的治療計劃的醫師,才能擁有能用得久的一口好牙喔~
當下定決心踏入牙醫診所時,我需要先準備什麼呢?
這是來品悅牙醫的初診患者都必須填寫的表單,很多身體狀況都是會影響口腔治療的!
大家也要隨時掌握好自己的體況,才能讓醫師更精確的判斷喔~
首先要把長期困擾你的問題告訴醫師,除了牙齒問題外,例如看牙會怕、有什麼樣不好的經驗、或是容易想吐、容易暈眩等等,也都要一併告訴醫師。
與醫師諮詢時一併討論:
畢竟再怎樣完美的治療計劃,若不能在雙方的配合下執行,都只是空談。所以一開始就討論好執行面的難易度,是很重要的!
當然若一開始毫無概念,也可以先做諮詢,用最短時間掌握自己的口腔狀況,我們也會提供多種不同的方案,讓選項更明確。
同場加映:【全口重建】三大要點:牙齒好了又壞/回診時間次數/價格很貴嗎?
為什麼做牙齒治療,醫師需要知道全身的健康狀況呢?
饒醫師特別提醒:「口腔健康跟很多全身性疾病相關。」
例如糖尿病患往往有牙周問題、高血壓專用麻藥與一般麻藥不同、計劃懷孕的婦女要特別注意療程安排、洗腎病患常會有流血不止的情形等等。
讓醫師掌握你的全身狀況,對診斷及治療品質都很有幫助喔。
該怎麼找到合適的醫師,什麼醫師適合我呢?
一般來說,若不確定自己的狀況,可以先給家庭牙醫做諮詢。
若不知道要從何選擇,品悅牙醫備有專案管理師,可以在看診前做簡單諮詢,幫你安排適合的醫師。
同場加映:擔心變放心!分享品悅牙醫真實故事,「她」是你看牙的神助手
專業的醫師不會只看你缺了哪些牙齒,還會全方位檢查牙周、牙髓、蛀牙等等的問題,並記錄下來,同時提供多種治療方案讓病患選擇,畢竟每個人的時間、預算、看牙經驗都不一樣,諮詢過後才知道彼此適不適合唷!
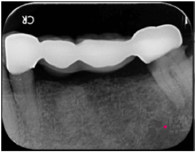
住在離品悅牙醫診所車程 2 小時遠的王老師(化名),一起來看看他的全口重建前後的改變吧!
年輕時,曾給密醫處理蛀牙沒用好,後牙最後全部拔除。
前牙又因車禍撞掉很多顆門牙,因此從二十多歲起就戴了數十年的活動假牙。
八年前將活動假牙換成植牙,一開始覺得很好用,開始大啖美食,但近年來常覺得臉頰關節不舒服。
此外,不管是年輕時的活動假牙,還是八年前的植牙,總覺得笑起來怪怪的、不漂亮,想要趁這次就診改善。
先前活動假牙戴超過二十年,早已磨損,造成咬合高度下降,臉慢慢變形,但活動假牙提供的咬力較小,當時年紀也較輕,因此沒有感到不舒服。
八年前植牙採用一樣的咬合,一開始也沒有問題,但植牙後,享用更多美食,再加上年紀增長,關節開始出現退化現象,日漸出現疼痛。
過低的咬合也讓微笑曲線不好看,臉型變得較扁,嘴角塌陷顯得嚴肅。這些都可以透過改變全口的咬合來做改善。
幸運的是王老師年輕時牙齒不好,反而一直用很高的潔牙標準要求自己,長期努力的結果,牙周狀況非常良好,只要更換部分假牙,就可以得到大幅度改善。
饒醫師先使用咬合板提高咬合高度,王老師配戴後感到關節舒適許多,甚至不敢一日不戴咬合板入睡。
之後依照咬合版的高度製作臨時假牙,試戴兩個月後,確認發音、咀嚼、外觀都沒有問題,便更換為正式假牙完成治療。
整個療程盡可能安排在寒暑假,且使用咬合板或臨時假牙先做觀察,輔以數位微笑曲線設計及數位印模,讓須就診的次數降到最低。

簡單提高咬合,不只改善關節問題,做出了微笑曲線,也讓臉型更漂亮、嘴角的紋路變少。
王老師的同事還問他是不是去做了醫美,怎麼好像整個變年輕了?其實這都是咬合的魔法喔~
全口重建需要勇氣和毅力,願意好好面對口腔問題處理的人,一定可以來到從全口重建治療中「畢業」的那一天!
畢業後也務必好好清潔,每日用牙刷牙線維持這得來不易的一口好牙,希望各位還在苦海中的人可以趕快找到適合的醫師,儘早成為一口爛牙的「畢業生」喔!