如果你牙齒有多處問題,不論是牙齦發炎、牙痛、牙周病、蛀牙、缺牙、亂牙⋯⋯等,痛下決心想好好整理牙齒問題的人都可以算是「全口重建」治療的範圍喔~
這次就來來聊聊大家常在意的三件事:「牙齒好了又壞」、「回診時間」、「價格」。
總覺得牙齒老出問題,修了又修,沒完沒了,怎麼會這樣呢?
此圖為下顎活動假牙剛完成一年多的X光片,陳阿姨左側腫痛不已,原來是當時沒發現左側牙橋下的蛀牙,為了治療蛀牙,剛做好一年多的活動假牙也得重新製作,金錢跟時間都浪費了。

「口腔問題」不只是「牙齒」的問題,通常還有牙周、關節肌肉、神經、飲食習慣⋯⋯等。
我們不只要解決單一顆牙現有的疼痛,還要找出問題形成的原因,並檢查整個口腔,做出周全的治療計劃,將未來其他問題發生的風險降到最低,才不會陷入才「剛做好假牙,怎麼又出問題」的惡性循環。
同場加映:假牙顏色自然要知道的 7 個Q&A!圖文及影片解說全攻略
例如一顆蛀牙抽了神經,必須做假牙,此時要一併檢查牙周、咬合、牙齒排列等等。
若檢查有牙周病則須先做牙周治療,若牙齒排列不整則需先做矯正評估,此外還要檢視刷牙或飲食習慣,否則花錢做好的假牙,可能會舊疾復發,或因其他問題,而很快又必須拆除。
忙碌的你,會不會也有這樣的心聲:「在家庭、工作與自己的健康間,一直將牙科治療的順位往後推遲,到了覺得不得不整理口腔問題的時候,卻還有好多手邊的事情放不下?!拜託給我最快速有效的治療啊!!!」
針對蠟燭兩頭燒的受苦者,可以採用以下方式降低回診的次數:
會先做仔細的檢查,找出所有問題,在前面一到兩次看診,就將確定的療程及時間盡可能列出,並選擇最能配合現階段生活模式的治療方式。
同場加映:擔心變放心!分享品悅牙醫真實故事,「她」是你看牙的神助手
全口重建的病患,品悅牙醫將會指派經驗豐富的專任管理師量身安排診次,將看診次數和時間做有效安排,就像有牙科秘書一般,處理好各種周邊事務。

醫療的的發展,也讓很多傳統費時的治療,可以在短時間完成。
品悅牙醫目前有提供的一日假牙、一日陶瓷貼片、一日微創齒雕,經由醫師評估符合條件,有別於傳統的假牙、貼片、齒雕,經由現在的口掃印模的數位技術,都是有機會能在一日內就完成裝戴的喔!
若有單顆缺牙則可經由評估,可考慮進行導引式植牙或式導航式植牙,以縮短缺牙重建的時間。
同場加映:人工植牙大比較:徒手植牙、導引式植牙、導航式植牙,哪個好?
全口無牙、少牙的患者,可以經由All-on-4全口重建,在一日內無中生有的全口的固定假牙,這些都是數年前壓根不敢想像的。
大家可以先試想~這就跟選擇交通工具一樣,從甲地移動到乙地,有人習慣每天搭公車,也有人希望開勞斯萊斯代步。
每天要陪伴你的牙齒也是一樣的道理,以全口無牙來說,不同的治療方式,從數萬元開始,到百萬以上不等,都可恢復咀嚼及美觀功能。
沒有哪種治療一定是最好的,只有最適合你、讓你做完覺得最開心、最值得的治療。
以下是從饒醫師這裡畢業的全口重建案例:
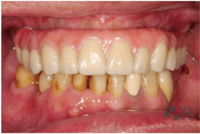
住在附近的張女士(化名)以前覺得牙齒痛了再處理就好,不過隨著年紀大,牙齒位置越來越歪,甚至會嚇到人,且不時有腫痛情形。
缺牙也讓生活品質下降、身體狀況惡化更快,於是決定來找饒醫師好好治療整理一番。
經由診斷,張女士多年的牙周病造成牙齒「病理性位移」,不只是外觀完全改變,還會發出臭味、到處不時流膿發炎。牙周病發病前期都不大會痛,發現時往往已經非常嚴重。
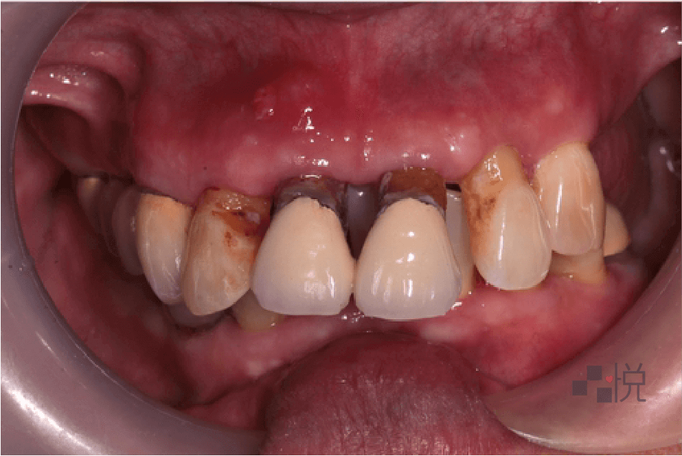
由於牙周問題嚴重,先由牙周醫師做全口牙周雷射治療,並拔除沒有救的牙齒。
同場加映:水雷射牙周病治療:水雷射與牙周病療程術後的正確保養技巧
由於長期發炎造成骨頭都被侵蝕,外觀嚴重塌陷,缺牙區採用兩階段補骨及植牙。
同場加映:當天拔牙就植牙!搭配X-Guide藍光3D導航植牙機的優勢
中間過程怕會沒有門牙、不但不美觀且無法進食,因此使用臨時活動假牙,大大提升過程中的生活品質。
同場加映:缺牙有影響嗎?人工植牙、傳統牙橋、活動假牙優缺點大評比
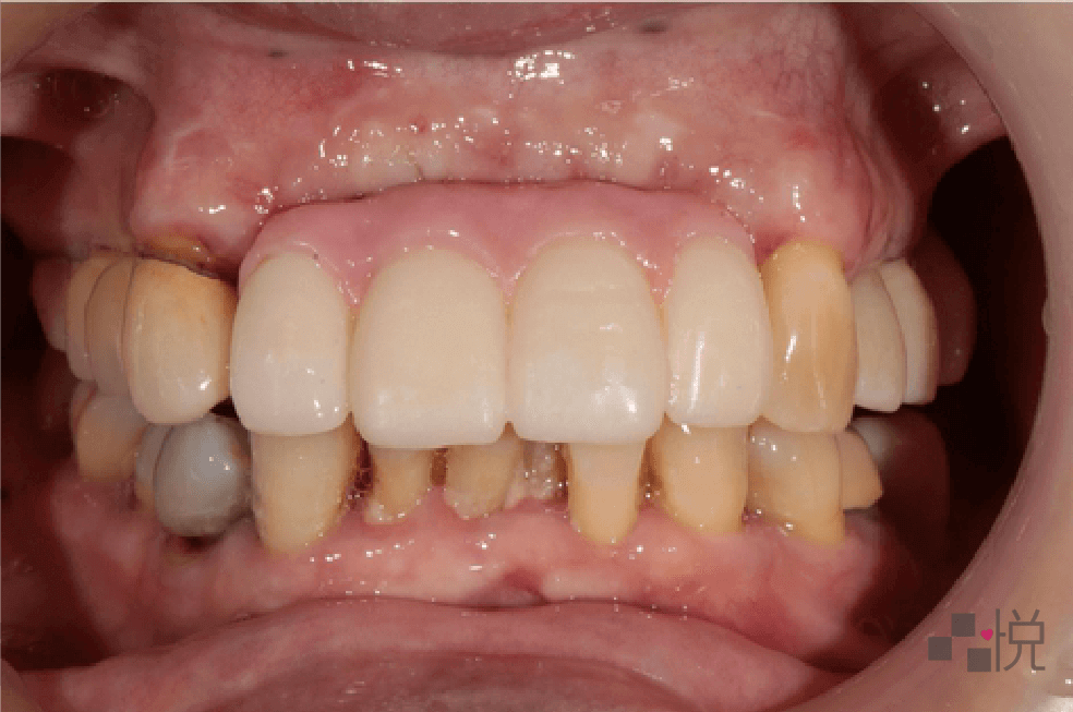
由於本來的缺損太嚴重,最終假牙部分則採用陶瓷假牙肉來模擬真牙,並搭配多種不同的假牙形式,歷時一年多,終於重建進食功能及笑容,讓全院所的醫護都相當欣慰。
饒醫師最後想提醒讀者們,定期檢查很重要,小問題及時處理是最好的,如果想著牙齒痛了再處理,往往問題已經很嚴重了。
如果會怕看牙醫,可以跟牙醫提出你會害怕的點,讓牙醫成為你的神隊友,一起打怪守護口腔健康吧~
※聲明:文章為醫師的經驗談,每人口腔情形盡不相同,如有不適儘早就醫檢查才是正解