饒庭伃醫師坦言很多人都會認為,牙齒美白是女人的特權,牙齒好不好看,只有女生在乎。男生的話如果有抽煙或嚼食檳榔,牙齒就是會比較黃,反正男生不會太在意,但真的是這樣嗎?!
其實隨著時代在變,誰說愛美只是女生的專利,在意牙齒美觀的不分性別。尤其在面對客戶的會議,或是正式的交流場合,如果頂著一口黃牙或露出缺牙,的確也不太美觀,部份研究也指出,牙齒的整齊、色澤的確是會影響他人的第一印象。

新竹竹北品悅牙醫的饒庭伃醫師分享,當一個人露出潔白整齊牙齒的笑容,不僅散發出正向的個人魅力,也對他人傳遞著「自我控管能力佳」的印象,進而提升對方的好感。
饒庭伃醫師說,近年也越來越多人到新竹品悅牙醫,諮詢牙齒美白的相關協助,本次她也來和大家分享改善牙齒美觀的方式吧!
牙齒美白屬於比較溫和、非侵入性的方法,通常醫師的評估會以此種治療為第一優先。
新竹品悅牙醫饒庭伃醫師分享,其實牙齒會泛黃,主要是因為牙齒表面有染色的污垢,比較常見的像是咖啡、茶這些色素。
所以饒庭伃醫師建議第一步先清除這些染色污垢,改變這些染色污垢的碳環結構,使牙齒的顏色變白,例如像是常常聽到的噴沙美白、居家美白、冷光美白等等。
相比牙科診所的專業牙齒美白療程,現今許多坊間的美甲店,也標榜兼做美白牙齒。
饒庭伃醫師提醒,這種服務的使用人員和藥劑來源,其實都算是遊走的法規的灰色地帶,若民眾不幸遇上不合適的,嚴重的情況可能導致牙齒內神經壞死或牙齦萎縮。
因此,新竹竹北品悅牙醫饒庭伃醫師建議,民眾在選擇任何口內療程時,還是要選擇有公信力的牙醫診所,以維護牙齒健康和自身保障。
延伸閱讀:牙齒美白懶人包:美白牙膏、美白牙貼有效嗎?冷光美白、居家美白後可以維持多久?
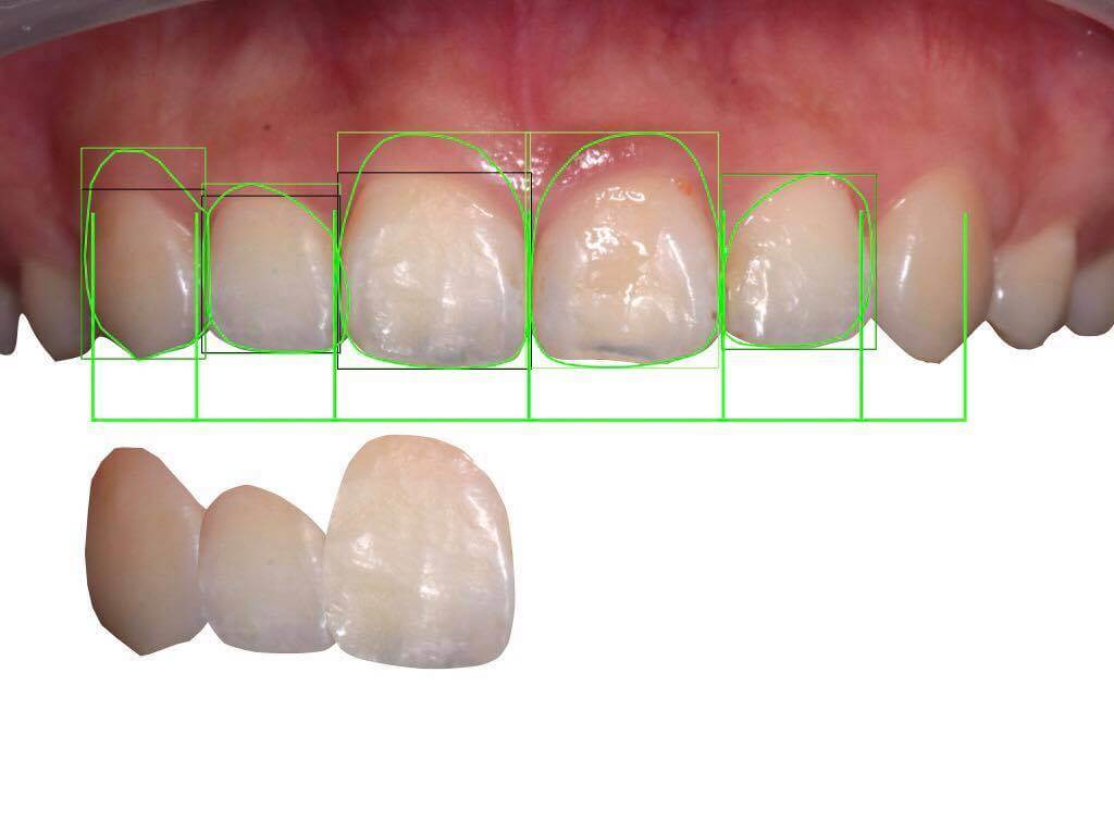
饒庭伃醫師分享,若是遇到病患的牙齒形態不佳,或是蛀牙的範圍較大,沒辦法僅用非侵入的療程進行美白處理的話,下一步就會推薦病患做陶瓷貼片來進行永久性改善。
陶瓷貼片類似微創手術,透過修磨小部分的牙齒表面,將陶瓷製成的薄貼片,黏在牙齒表面,來達到美化牙齒型態、顏色的效果。
延伸閱讀:陶瓷貼片5大優點與限制!合適條件、會痛嗎、注意事項統整篇

除了牙齒美白和陶瓷貼片外,牙齒和牙齦的比例也是牙齒門面很重要的一環,因此新竹竹北的品悅牙醫,除了有牙齒美白的療程以外,也有執行搭配牙肉調整、修改牙齒與牙肉外型的牙冠增長術。
竹北品悅牙醫饒庭伃醫師分享,有些病患在開口笑的時候會露出過多的牙齦,透過牙冠增長術,將牙齦比例進行調整,使讓露在牙齦外的牙齒增加,達到視覺上美觀的效果。
延伸閱讀:一笑就露牙齦?「牙冠增長術」費用、恢復期多久、照護須知、案例
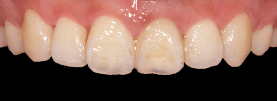
以下由饒庭伃醫師提供真實案例:




饒庭伃醫師分享,有些人因為齒列不整齊,影響下顎的生長、發音,或是因為難以刷乾淨,而容易造成蛀牙,此類患者會推薦進行齒顎矯正,齒顎矯正也就是我們常聽到的「戴牙套」。
齒顎矯正是讓牙齒恢復正確的排列的方式,將矯正線放在矯正器上,牙齒受力後即可進行移動,達到矯正的功效。同時也借此改善牙周的狀況,並降低蛀牙的可能。
延伸閱讀:隱形 vs. 傳統!選擇最適合你的牙齒矯正方式指南

饒庭伃醫師親切表示,新竹品悅牙醫很重視整體性的全方位治療,一開始就會先幫患者做整體性的評估,並且依照每個人的牙口狀況,提供一份完整的計劃及建議。

竹北品悅牙醫饒庭伃醫師舉例,像是會先推薦患者做基本的牙齒美白,先讓牙齒全口色澤達到一定的和諧狀況,再製作陶瓷貼片;針對某些病患,也會先建議可以先透過齒顎矯正調整牙位,等到完成之後,再以陶瓷貼片微調牙周形狀,這樣才不會修磨過多牙齒、想矯正時才發現貼片需要全拆的窘境。
延伸閱讀:假牙顏色自然要知道的 7 個Q&A!圖文及影片解說全攻略
品悅牙醫饒庭伃醫師貼心提醒,之所以建議患者以整體性作為評估,都是為了讓效果達到更完美,也避免患者走到冤枉路,重覆負擔費用。
饒庭伃醫師也提醒大家不論想要做哪一種療程,還是都要與醫生充分溝通。推薦在新竹或是竹北的朋友,若是有類似需求,可以到品悅牙醫諮詢,讓您有一口美麗的牙齒。
※本站聲明:文章為轉載好醫師採訪的經驗談,每人口腔情形盡不相同,如有不適儘早就醫檢查才是正解