缺牙空間可以用牙齒矯正關閉嗎?智齒能往前拉取代臼齒嗎?

撰文:錢怡雯 醫師

瀏覽次數: 40,729 次瀏覽
兩顆智齒排隊面試補缺牙

臨床上有許多病人因為缺牙問題來諮詢牙齒矯正,希望藉由牙齒矯正關閉缺牙空間,就不需再植牙;亦或是希望能將智齒往前拉,移動至缺牙處取代臼齒不要再植牙。

然而,以矯正的方式關閉缺牙空間,以及智齒是否能夠往前拉當成臼齒用,仍需要考量多方面的條件,綜合評估後才能確認其可行性。

牙齒矯正可以關閉缺牙空間嗎?

缺牙空間是否能夠以牙齒矯正的方式關閉,通常需要同時評估側臉外觀以及口內牙齒狀況。

一、側臉外觀的評估

暴牙、輕微戽斗有機會用矯正關閉缺牙缺域

暴牙或是輕微戽斗的臉型,若存在缺牙區域,則有機會可以利用缺牙空間,或再搭配其他牙位的拔牙,來同時改善側臉的外觀。

反之,若原本的側臉外觀良好,是否能夠直接關閉缺牙空間,則需由專業矯正醫師進一步評估口內牙齒的狀況。

延伸閱讀:牙齒矯正能改變臉型嗎?會瘦臉嗎?暴牙、戽斗矯正案例分析

關閉缺牙空間實際案例

關閉缺牙空間改善前牙錯咬以及戽斗外觀

本案例治療前為輕微的骨性戽斗,側臉輪廓呈現戽斗的外觀,並合併有前牙錯咬的狀狀況。先天缺失 9 顆恆牙,包含 8 顆小臼齒和 1 顆側門牙。

牙齒矯正戽斗和補缺牙案例
戽斗的側臉外觀獲得改善
(案例提供:竹北品悅牙醫 錢怡雯醫師)
傳統牙齒矯正補缺牙案例一
改善前牙錯咬,並關閉缺牙空間減少 4 顆植牙。
(案例提供:竹北品悅牙醫 錢怡雯醫師)

矯正關閉缺牙空間改善前牙錯咬,並降低植牙數至 5 顆,在沒有使用骨釘,亦沒有正顎手術的輔助下,擺脫戽斗的外觀,側臉輪廓也變得更加和諧美觀。

延伸閱讀:戽斗要開刀做正顎手術嗎?單以矯正改善戽斗的條件解析

二、口內牙齒狀況的評估

1. 缺牙顆數

若缺牙顆數過多,考量與對咬牙的咬合狀況,仍須配合植牙贗復無法完全只用牙齒矯正的方式關閉所有的缺牙空間。

延伸閱讀:缺牙有影響嗎?人工植牙、傳統牙橋、活動假牙優缺點大評比

2. 缺牙時間長短

牙齒被拔除後,缺牙處的齒槽骨便會開始萎縮,寬度漸漸變窄。

單顎齒槽骨萎縮案例照片
長期缺牙的區域,齒槽骨寬度變窄
(案例照提供:錢怡雯醫師)
缺牙久牙齦萎縮拉不過去繪圖
鄰牙可能無法被拉入齒槽骨萎縮的區域

期缺牙的區域,齒槽骨可能已有相當程度的萎縮。」倘若萎縮得太嚴重,缺牙區旁邊的牙齒就無法被拉入齒槽骨萎縮的區域,因為通道太窄而無法通過。

因此,缺牙的時間愈長,愈難將缺牙空間完全關閉

3. 鄰牙傾倒程度與牙周狀況

缺牙區旁邊的牙齒,受到咬合力以及缺乏鄰牙支撐的情況下,會漸漸往缺牙區傾倒,並且合併有齒槽骨的破壞

傾倒程度太嚴重,牙周狀況太差,則該顆牙可能較難承受扶正以及關閉空間時的矯正力量,而無法保留下來。

延伸閱讀:牙周病不會自己好!醫師解析牙結石深度影響牙周病治療方式

4. 咬合狀況

牙齒需要有另一顎的對咬牙存在,才能發揮其咬合以及咀嚼的功能。

若關閉缺牙空間後可能造成某些牙齒懸空,沒有對咬牙而無法行使咬合功能,則應考慮用植牙贗復,而非用牙齒矯正的方式直接關閉缺牙空間。

缺牙矯正有懸空的側面圖
下顎缺牙,若直接關閉下顎缺牙空間將造成上顎最後一顆大臼齒懸空,沒有對咬牙行使咬合功能

5. 中線與空間分配問題

若是單側缺牙,關閉缺牙空間可能會造成中線偏斜,應綜合考量其他條件,再評估是否只關閉單側缺牙空間。

智齒可以往前拉,替代缺牙的臼齒用嗎?

第一大臼齒是最早萌發的恆牙,而第二大臼齒是牙弓中最末端的牙齒,常常因為疏於照顧以及清潔不好,進而造成嚴重蛀牙,甚至需要拔除。

延伸閱讀:【不想拔牙看這篇!】拔牙與不拔牙的風險評估、缺牙的影響與建議

需多方考量智齒型態是否合適取代臼齒

若是智齒存在,雖然有機會可以將智齒往前拉取代臼齒,但仍需考量智齒的角度、位置、智齒有無阻生長不出來、智齒的型態、大小、健康狀況,還有上一段所提到的口內牙齒狀況綜合評估。

再者,將智齒往前取代臼齒所需花費的治療時間較長,並且由於智齒型態和大小多有變異,因此與對咬牙的咬合功能可能會稍差一些。

牙齒矯正與智齒合併治療實際案例

1.智齒取代嚴重蛀牙臼齒

本案例治療前齒列輕微擁擠,上顎兩側第二大臼齒蛀牙,齒質嚴重缺損並且會疼痛。

智齒補缺牙案例一
在牙齒矯正期間,用上顎左右兩側智齒往前移取代第二大臼齒
(案例提供:竹北品悅牙醫 錢怡雯醫師)

全口 X 光片上智齒牙冠大小與第二大臼齒差不多,於是拔除狀況不好的第二大臼齒,關閉拔牙空間,把智齒往前移到原本第二大臼齒的位置上取代之。

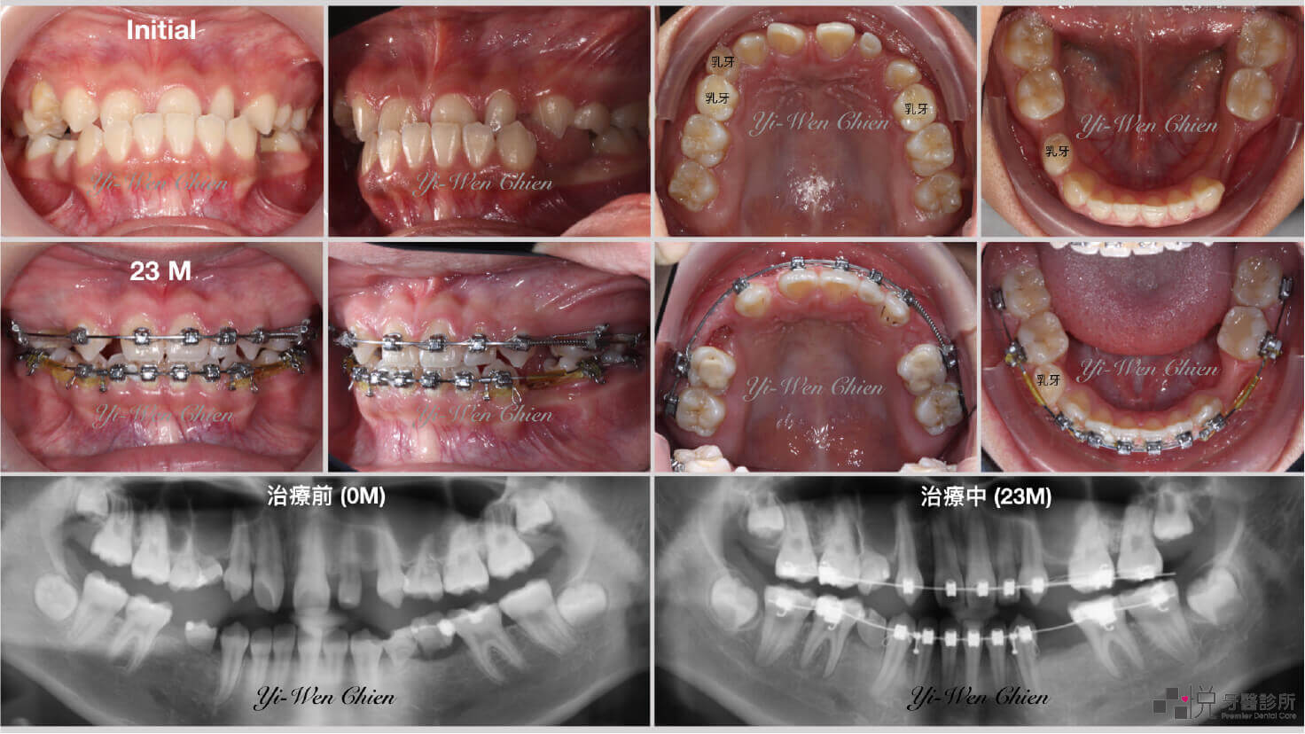
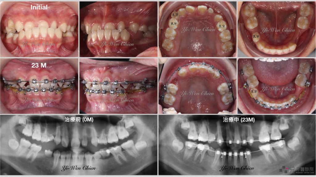
2.扶正傾倒智⿒取代臼齒並搭配植牙

本案例治療前右上、右下、左下第一大臼齒缺失許久,下顎兩側第二大臼齒和智齒往前傾倒。右下第二大臼齒嚴重傾倒,牙周狀況差,拔除後開始矯正治療。

智齒補缺牙案例二
下顎兩側智齒往前取代⾅齒,並合併植牙贋復
案例提供:錢怡雯醫師

在沒有使用骨釘的輔助下,三顆傾倒的大臼齒皆已扶正,關閉右上和左下的缺牙空間,右下預留空間待矯正後植牙贗復。

延伸閱讀:植牙前注意!植體品牌、植牙保固/材質一次看!

結語:矯正醫師的話

一般來說,缺牙區域通常需要以植牙和假牙來做贋復。

用牙齒矯正的方式關閉缺牙空間,或把智齒往前拉當成臼齒用,雖然不失為一種治療方式,但仍需要考量多方面的條件:包含側臉外觀,以及口內牙齒狀況⋯⋯等,綜合評估後才能確認其可行性

然而每個人的條件不同,若您有缺牙的問題,仍需經由專業矯正醫師實際評估,才能擬定出最適合的治療計劃唷~

牙齒矯正畢業學姐分享~猶豫要戴牙套嗎?牙齒矯正系統、醫師與診所的挑選4個眉角?!(上集) Ft.只贏推推‪@onlywin_story‬ 、錢怡雯醫師【品悅牙醫】
牙齒矯正畢業心路歷程~牙齒矯正很痛嗎?有後悔戴牙套嗎?原來用OO來吃東西?(下集) Ft.只贏推推‪@onlywin_story‬ 、錢怡雯醫師【品悅牙醫】

※聲明:文章為醫師的經驗談,每人口腔情形盡不相同,如有不適儘早就醫檢查才是正解

錢怡雯

錢怡雯

醫師
矯正科
牙齒矯正 隱適美隱形矯正 戴蒙金屬矯正器
  • 國立陽明大學牙醫系
  • 行政院衛生福利部部定齒顎矯正科專科醫師
  • 中華民國齒顎矯正學會專科醫師
  • 世界齒顎矯正學會
  • 隱適美(Invisalign)數位隱形矯正認證醫師
  • 高雄醫學大學附設醫院齒顎矯正科醫師
  • 台北榮總醫院口腔醫學院部醫師